ARG59119
anti-SLC22A2 / OCT2 antibody
anti-SLC22A2 / OCT2 antibody for IHC-Formalin-fixed paraffin-embedded sections,Western blot and Mouse,Rat
Overview
| Product Description | Rabbit Polyclonal antibody recognizes SLC22A2 / OCT2 |
|---|---|
| Tested Reactivity | Ms, Rat |
| Predict Reactivity | Hu |
| Tested Application | IHC-P, WB |
| Host | Rabbit |
| Clonality | Polyclonal |
| Isotype | IgG |
| Target Name | SLC22A2 / OCT2 |
| Antigen Species | Human |
| Immunogen | Synthetic peptide corresponding to aa. 524-555 of Human SLC22A2 / OCT2. (ETIEEAENMQRPRKNKEKMIYLQVQKLDIPLN) |
| Conjugation | Un-conjugated |
| Alternate Names | Organic cation transporter 2; OCT2; hOCT2; Solute carrier family 22 member 2 |
Application Instructions
| Application Suggestion |
|
||||||
|---|---|---|---|---|---|---|---|
| Application Note | * The dilutions indicate recommended starting dilutions and the optimal dilutions or concentrations should be determined by the scientist. |
Properties
| Form | Liquid |
|---|---|
| Purification | Affinity purification with immunogen. |
| Buffer | 0.9% NaCl, 0.2% Na2HPO4, 0.05% Sodium azide and 5% BSA. |
| Preservative | 0.05% Sodium azide |
| Stabilizer | 5% BSA |
| Concentration | 0.5 mg/ml |
| Storage Instruction | For continuous use, store undiluted antibody at 2-8°C for up to a week. For long-term storage, aliquot and store at -20°C or below. Storage in frost free freezers is not recommended. Avoid repeated freeze/thaw cycles. Suggest spin the vial prior to opening. The antibody solution should be gently mixed before use. |
| Note | For laboratory research only, not for drug, diagnostic or other use. |
Bioinformation
| Database Links | |
|---|---|
| Gene Symbol | SLC22A2 |
| Gene Full Name | solute carrier family 22 (organic cation transporter), member 2 |
| Background | Polyspecific organic cation transporters in the liver, kidney, intestine, and other organs are critical for elimination of many endogenous small organic cations as well as a wide array of drugs and environmental toxins. This gene is one of three similar cation transporter genes located in a cluster on chromosome 6. The encoded protein contains twelve putative transmembrane domains and is a plasma integral membrane protein. It is found primarily in the kidney, where it may mediate the first step in cation reabsorption. [provided by RefSeq, Jul 2008] |
| Function | Mediates tubular uptake of organic compounds from circulation. Mediates the influx of agmatine, dopamine, noradrenaline (norepinephrine), serotonin, choline, famotidine, ranitidine, histamin, creatinine, amantadine, memantine, acriflavine, 4-[4-(dimethylamino)-styryl]-N-methylpyridinium ASP, amiloride, metformin, N-1-methylnicotinamide (NMN), tetraethylammonium (TEA), 1-methyl-4-phenylpyridinium (MPP), cimetidine, cisplatin and oxaliplatin. Cisplatin may develop a nephrotoxic action. Transport of creatinine is inhibited by fluoroquinolones such as DX-619 and LVFX. This transporter is a major determinant of the anticancer activity of oxaliplatin and may contribute to antitumor specificity. [UniProt] |
| Cellular Localization | Membrane; Multi-pass membrane protein. [UniProt] |
| Calculated MW | 63 kDa |
Images (3) Click the Picture to Zoom In
-
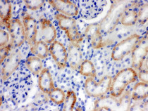
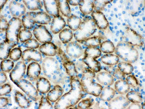
ARG59119 anti-SLC22A2 / OCT2 antibody IHC-P image
Immunohistochemistry: Paraffin-embedded Mouse kidney stained with ARG59119 anti-SLC22A2 / OCT2 antibody.
-
ARG59119 anti-SLC22A2 / OCT2 antibody WB image
Western blot: 50 µg of Rat brain and Mouse brain lysates stained with ARG59119 anti-SLC22A2 / OCT2 antibody at 0.5 µg/ml dilution.
-
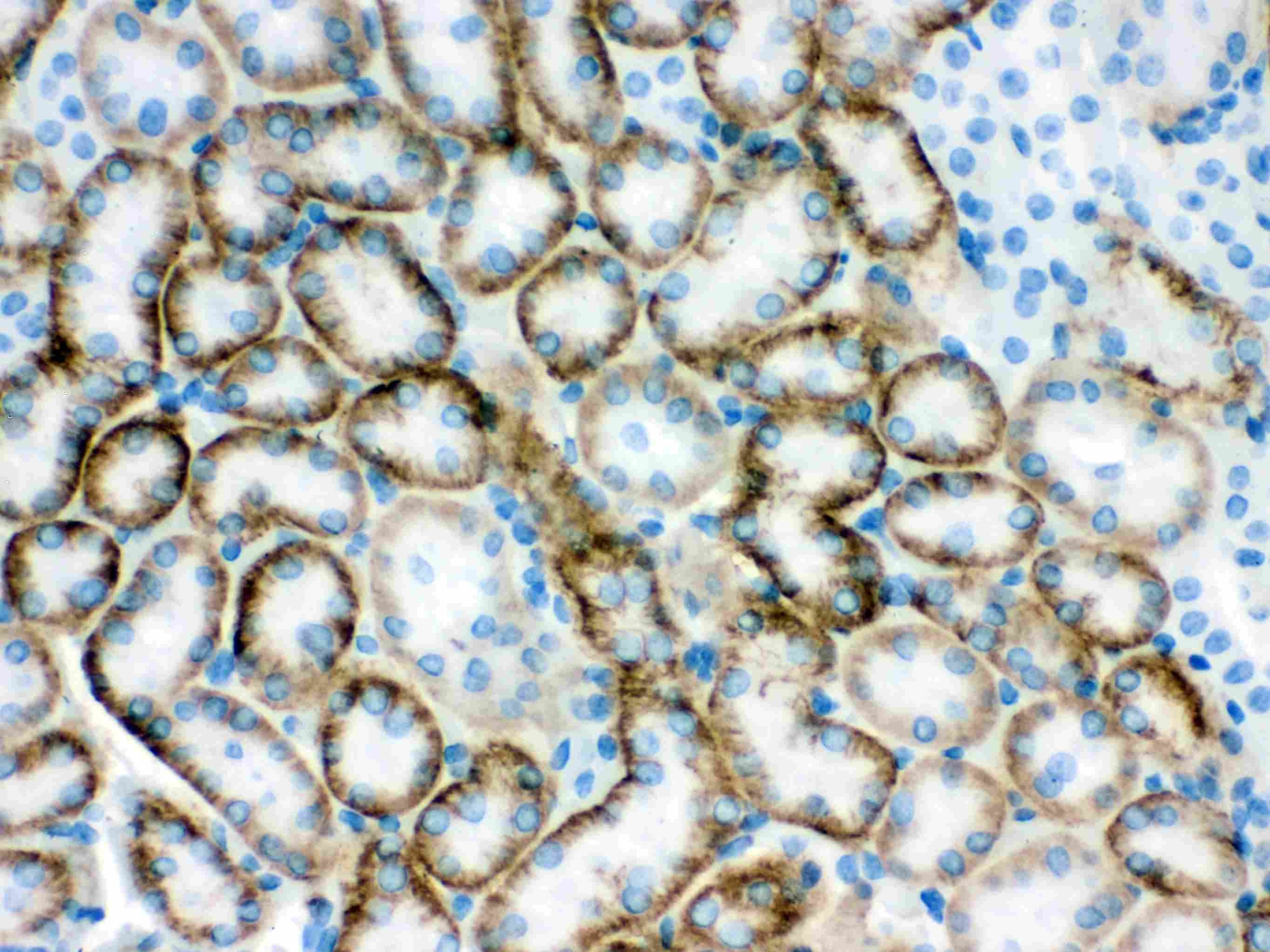
ARG59119 anti-SLC22A2 / OCT2 antibody IHC-P image
Immunohistochemistry: Paraffin-embedded Rat kidney stained with ARG59119 anti-SLC22A2 / OCT2 antibody.
