ARG59143
anti-SLC22A2 / OCT2 antibody
anti-SLC22A2 / OCT2 antibody for Flow cytometry,IHC-Formalin-fixed paraffin-embedded sections and Human
Overview
| Product Description | Rabbit Polyclonal antibody recognizes SLC22A2 / OCT2 |
|---|---|
| Tested Reactivity | Hu |
| Tested Application | FACS, IHC-P |
| Host | Rabbit |
| Clonality | Polyclonal |
| Isotype | IgG |
| Target Name | SLC22A2 / OCT2 |
| Antigen Species | Human |
| Immunogen | KLH-conjugated synthetic peptide corresponding to aa. 57-89 of Human SLC22A2 / OCT2. |
| Conjugation | Un-conjugated |
| Alternate Names | Organic cation transporter 2; OCT2; hOCT2; Solute carrier family 22 member 2 |
Application Instructions
| Application Suggestion |
|
||||||
|---|---|---|---|---|---|---|---|
| Application Note | IHC-P: Antigen Retrieval: Heat mediated was performed in Citrate buffer (pH 6.0). * The dilutions indicate recommended starting dilutions and the optimal dilutions or concentrations should be determined by the scientist. |
Properties
| Form | Liquid |
|---|---|
| Purification | Purification with Protein A and immunogen peptide. |
| Buffer | PBS and 0.09% (W/V) Sodium azide. |
| Preservative | 0.09% (W/V) Sodium azide |
| Storage Instruction | For continuous use, store undiluted antibody at 2-8°C for up to a week. For long-term storage, aliquot and store at -20°C or below. Storage in frost free freezers is not recommended. Avoid repeated freeze/thaw cycles. Suggest spin the vial prior to opening. The antibody solution should be gently mixed before use. |
| Note | For laboratory research only, not for drug, diagnostic or other use. |
Bioinformation
| Database Links | |
|---|---|
| Gene Symbol | SLC22A2 |
| Gene Full Name | solute carrier family 22 (organic cation transporter), member 2 |
| Background | Polyspecific organic cation transporters in the liver, kidney, intestine, and other organs are critical for elimination of many endogenous small organic cations as well as a wide array of drugs and environmental toxins. This gene is one of three similar cation transporter genes located in a cluster on chromosome 6. The encoded protein contains twelve putative transmembrane domains and is a plasma integral membrane protein. It is found primarily in the kidney, where it may mediate the first step in cation reabsorption. [provided by RefSeq, Jul 2008] |
| Function | Mediates tubular uptake of organic compounds from circulation. Mediates the influx of agmatine, dopamine, noradrenaline (norepinephrine), serotonin, choline, famotidine, ranitidine, histamin, creatinine, amantadine, memantine, acriflavine, 4-[4-(dimethylamino)-styryl]-N-methylpyridinium ASP, amiloride, metformin, N-1-methylnicotinamide (NMN), tetraethylammonium (TEA), 1-methyl-4-phenylpyridinium (MPP), cimetidine, cisplatin and oxaliplatin. Cisplatin may develop a nephrotoxic action. Transport of creatinine is inhibited by fluoroquinolones such as DX-619 and LVFX. This transporter is a major determinant of the anticancer activity of oxaliplatin and may contribute to antitumor specificity. [UniProt] |
| Cellular Localization | Membrane; Multi-pass membrane protein. [UniProt] |
| Calculated MW | 63 kDa |
Images (2) Click the Picture to Zoom In
-
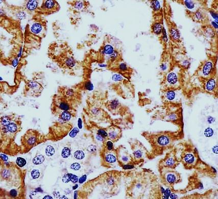
ARG59143 anti-SLC22A2 / OCT2 antibody IHC-P image
Immunohistochemistry: Paraformaldehyde-fixed and paraffin-embedded Human kidney tissue. Tissue was fixed with formaldehyde and blocked with 3% BSA for 0.5 hour at RT. Antigen Retrieval: Heat mediated was performed in Citrate buffer (pH 6.0). Samples were stained with ARG59143 anti-SLC22A2 / OCT2 antibody at 1:25, 37°C for 1 hour.
-
ARG59143 anti-SLC22A2 / OCT2 antibody FACS image
Flow Cytometry: A431 cells were fixed with 2% paraformaldehyde (10 min). The cells were then incubated in 2% BSA to block non-specific protein-protein interactions followed by ARG59143 anti-SLC22A2 / OCT2 antibody (right histogram) at 1:25, 37°C for 60 min, followed by DyLight®488 labelled secondary antibody. Isotype control antibody (left histogram) was Rabbit IgG (1 µg/10^6 cells) used under the same conditions. Acquisition of > 10000 events was performed.
