ARG67299
anti-SLC34A2 antibody [SQab30394]
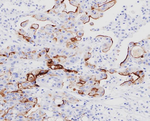
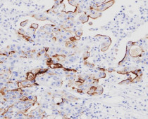
anti-SLC34A2 antibody [SQab30394] for IHC-Formalin-fixed paraffin-embedded sections and Human
Overview
| Product Description | Recombinant Rabbit Monoclonal antibody [SQab30394] recognizes SLC34A2 |
|---|---|
| Tested Reactivity | Hu |
| Tested Application | IHC-P |
| Host | Rabbit |
| Clonality | Monoclonal |
| Clone | SQab30394 |
| Isotype | IgG |
| Target Name | SLC34A2 |
| Immunogen | Synthetic peptide |
| Conjugation | Un-conjugated |
| Alternate Names | Sodium/phosphate cotransporter 2B; Na; NAPI-3B; NPTIIb; NAPI-IIb; Sodium-dependent phosphate transport protein 2B; NaPi3b; NaPi-2b; Sodium-phosphate transport protein 2B; Solute carrier family 34 member 2 |
Application Instructions
| Application Suggestion |
|
||||
|---|---|---|---|---|---|
| Application Note | IHC-P: Antigen Retrieval: Heat mediation was performed in Tris/EDTA buffer (pH 9.0). * The dilutions indicate recommended starting dilutions and the optimal dilutions or concentrations should be determined by the scientist. |
Properties
| Form | Liquid |
|---|---|
| Purification | Affinity chromatography purified |
| Buffer | PBS, 0.01% Sodium azide, 40% Glycerol and 0.05% BSA. |
| Preservative | 0.01% Sodium azide |
| Stabilizer | 40% Glycerol and 0.05% BSA |
| Storage Instruction | For continuous use, store undiluted antibody at 2-8°C for up to a week. For long-term storage, aliquot and store at -20°C or below. Storage in frost free freezers is not recommended. Avoid repeated freeze/thaw cycles. Suggest spin the vial prior to opening. The antibody solution should be gently mixed before use. |
| Note | For laboratory research only, not for drug, diagnostic or other use. |
Bioinformation
| Database Links |
Swiss-port # O95436 Human Sodium-dependent phosphate transport protein 2B |
|---|---|
| Gene Symbol | SLC34A2 |
| Gene Full Name | solute carrier family 34 (type II sodium/phosphate cotransporter), member 2 |
| Background | The protein encoded by this gene is a pH-sensitive sodium-dependent phosphate transporter. Phosphate uptake is increased at lower pH. Defects in this gene are a cause of pulmonary alveolar microlithiasis. Three transcript variants encoding two different isoforms have been found for this gene. [provided by RefSeq, May 2010] |
| Function | May be involved in actively transporting phosphate into cells via Na(+) cotransport. It may be the main phosphate transport protein in the intestinal brush border membrane. May have a role in the synthesis of surfactant in lungs' alveoli. [UniProt] |
| Cellular Localization | Membrane; Multi-pass membrane protein. [UniProt] |
| Calculated MW | 76 kDa |
Images (1) Click the Picture to Zoom In
