ARG46680
anti-SLC39A10 antibody
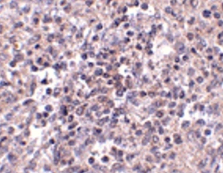
anti-SLC39A10 antibody for Western blot,IHC-Formalin-fixed paraffin-embedded sections and Human,Mouse,Rat
Overview
| Product Description | Rabbit Polyclonal antibody recognizes SLC39A10 |
|---|---|
| Tested Reactivity | Hu, Ms, Rat |
| Tested Application | IHC-P, WB |
| Host | Rabbit |
| Clonality | Polyclonal |
| Isotype | IgG |
| Target Name | SLC39A10 |
| Antigen Species | Human |
| Immunogen | A 17 amino acid synthetic peptide within the last 50 amino acids of human SLC39A10. |
| Conjugation | Un-conjugated |
| Alternate Names | SLC39A10; Solute Carrier Family 39 Member 10; ZIP10; KIAA1265; Solute Carrier Family 39 (Metal Ion Transporter), Member 10; Solute Carrier Family 39 (Zinc Transporter), Member 10; Zrt- And Irt-Like Protein 10; ZRT/IRT-Like Protein 10; Zinc Transporter ZIP10; Zinc Transporter 10; DKFZp564L2123; FLJ90515; ZIP-10; LZT-Hs2 |
Application Instructions
| Application Suggestion |
|
||||||
|---|---|---|---|---|---|---|---|
| Application Note | * The dilutions indicate recommended starting dilutions and the optimal dilutions or concentrations should be determined by the scientist. |
Properties
| Purification | Affinity chromatography purified |
|---|---|
| Buffer | PBS and 0.02% Sodium azide. |
| Preservative | 0.02% Sodium azide |
| Concentration | 1 mg/ml |
| Storage Instruction | For continuous use, store undiluted antibody at 2-8°C for up to a week. For long-term storage, aliquot and store at -20°C. Storage in frost free freezers is not recommended. Avoid repeated freeze/thaw cycles. Suggest spin the vial prior to opening. The antibody solution should be gently mixed before use. |
| Note | For laboratory research only, not for drug, diagnostic or other use. |
Bioinformation
| Gene Symbol | Slc39a10 |
|---|---|
| Gene Full Name | Solute Carrier Family 39 Member 10 |
| Background | Zinc is an essential cofactor for hundreds of enzymes. It is involved in protein, nucleic acid, carbohydrate, and lipid metabolism, as well as in the control of gene transcription, growth, development, and differentiation. SLC39A10 belongs to a subfamily of proteins that show structural characteristics of zinc transporters (Taylor and Nicholson, 2003 [PubMed 12659941]). |
| Function | When associated with SLC39A10, the heterodimer controls NCAM1 phosphorylation and integration into focal adhesion complexes during EMT. |
| Cellular Localization | Cell membrane, Membrane |
| Calculated MW | 94 kDa |
| PTM | Glycoprotein, Phosphoprotein |
Images (2) Click the Picture to Zoom In
