ARG65084
anti-SLC4A11 / BTR1 antibody
anti-SLC4A11 / BTR1 antibody for IHC-Formalin-fixed paraffin-embedded sections,Western blot and Human
Metabolism antibody; Neuroscience antibody; Signaling Transduction antibody
Overview
| Product Description | Goat Polyclonal antibody recognizes SLC4A11 / BTR1 |
|---|---|
| Tested Reactivity | Hu |
| Predict Reactivity | Ms, Rat, Cow, Dog |
| Tested Application | IHC-P, WB |
| Host | Goat |
| Clonality | Polyclonal |
| Isotype | IgG |
| Target Name | SLC4A11 / BTR1 |
| Antigen Species | Human |
| Immunogen | C-HTSRKYLKLKNFKEE |
| Conjugation | Un-conjugated |
| Alternate Names | Sodium borate cotransporter 1; NaBC1; Sodium bicarbonate transporter-like protein 11; NABC1; Solute carrier family 4 member 11; CHED2; CDPD1; BTR1; dJ794I6.2; Bicarbonate transporter-related protein 1 |
Application Instructions
| Application Suggestion |
|
||||||
|---|---|---|---|---|---|---|---|
| Application Note | WB: Recommend incubate at RT for 1h. IHC-P: Antigen Retrieval: Steam tissue section in Citrate buffer (pH 6.0). * The dilutions indicate recommended starting dilutions and the optimal dilutions or concentrations should be determined by the scientist. |
Properties
| Form | Liquid |
|---|---|
| Purification | Purified from goat serum by antigen affinity chromatography. |
| Buffer | Tris saline (pH 7.3), 0.02% Sodium azide and 0.5% BSA. |
| Preservative | 0.02% Sodium azide |
| Stabilizer | 0.5% BSA |
| Concentration | 0.5 mg/ml |
| Storage Instruction | For continuous use, store undiluted antibody at 2-8°C for up to a week. For long-term storage, aliquot and store at -20°C or below. Storage in frost free freezers is not recommended. Avoid repeated freeze/thaw cycles. Suggest spin the vial prior to opening. The antibody solution should be gently mixed before use. |
| Note | For laboratory research only, not for drug, diagnostic or other use. |
Bioinformation
| Database Links |
Swiss-port # Q8NBS3 Human Sodium bicarbonate transporter-like protein 11 |
|---|---|
| Background | This gene encodes a voltage-regulated, electrogenic sodium-coupled borate cotransporter that is essential for borate homeostasis, cell growth and cell proliferation. Mutations in this gene have been associated with a number of endothelial corneal dystrophies including recessive corneal endothelial dystrophy 2, corneal dystrophy and perceptive deafness, and Fuchs endothelial corneal dystrophy. Multiple transcript variants encoding different isoforms have been described. [provided by RefSeq, Mar 2010] |
| Research Area | Metabolism antibody; Neuroscience antibody; Signaling Transduction antibody |
| Calculated MW | 100 kDa |
| PTM | Glycosylated. |
Images (2) Click the Picture to Zoom In
-
ARG65084 anti-SLC4A11 / BTR1 antibody WB image
Western Blot: Human Kidney lysate (35 µg protein in RIPA buffer) stained with ARG65084 anti-SLC4A11 / BTR1 antibody at 0.3 µg/ml dilution.
-
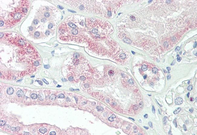
ARG65084 anti-SLC4A11 / BTR1 antibody IHC-P image
Immunohistochemistry: Paraffin-embedded Human kidney tissue. Antigen Retrieval: Steam tissue section in Citrate buffer (pH 6.0). The tissue section was stained with ARG65084 anti-SLC4A11 / BTR1 antibody at 3.75 µg/ml dilution followed by AP-staining.
