ARG44584
anti-SLC7A7 antibody
anti-SLC7A7 antibody for IHC-Formalin-fixed paraffin-embedded sections,Western blot and Human,Mouse,Rat
Overview
| Product Description | Rabbit Polyclonal antibody recognizes SLC7A7 |
|---|---|
| Tested Reactivity | Hu, Ms, Rat |
| Tested Application | IHC-P, WB |
| Host | Rabbit |
| Clonality | Polyclonal |
| Isotype | IgG |
| Target Name | SLC7A7 |
| Antigen Species | Human |
| Immunogen | Human SLC7A7 recombinant protein (aa. sequence: M1-D498). |
| Conjugation | Un-conjugated |
| Alternate Names | SLC7A7; Solute Carrier Family 7 Member 7; Y+LAT-1; Y+LAT1; Y+L Amino Acid Transporter 1; Solute Carrier Family 7 (Amino Acid Transporter Light Chain, Y+L System), Member 7; Lysinuric Protein Intolerance (Dibasicaminoaciduria II); Y(+)L-Type Amino Acid Transporter 1; Monocyte Amino Acid Permease 2; MOP-2; LPI; Solute Carrier Family 7 (Cationic Amino Acid Transporter, Y+ System), Member 7; LAT3 |
Application Instructions
| Application Suggestion |
|
||||||
|---|---|---|---|---|---|---|---|
| Application Note | * The dilutions indicate recommended starting dilutions and the optimal dilutions or concentrations should be determined by the scientist. |
Properties
| Form | Liquid |
|---|---|
| Purification | Affinity purified. |
| Buffer | 0.2% Na2HPO4, 0.9% NaCl and 4% Trehalose. |
| Preservative | 4% Trehalose |
| Storage Instruction | For continuous use, store undiluted antibody at 2-8°C for up to a week. For long-term storage, aliquot and store at -20°C or below. Storage in frost free freezers is not recommended. Avoid repeated freeze/thaw cycles. Suggest spin the vial prior to opening. The antibody solution should be gently mixed before use. |
| Note | For laboratory research only, not for drug, diagnostic or other use. |
Bioinformation
| Database Links | |
|---|---|
| Gene Symbol | SLC7A7 |
| Gene Full Name | Solute Carrier Family 7 Member 7 |
| Background | The protein encoded by this gene is the light subunit of a cationic amino acid transporter. This sodium-independent transporter is formed when the light subunit encoded by this gene dimerizes with the heavy subunit transporter protein SLC3A2. This transporter is found in epithelial cell membranes where it transfers cationic and large neutral amino acids from the cell to the extracellular space. Defects in this gene are a cause of lysinuric protein intolerance (LPI). Alternative splicing results in multiple transcript variants. [provided by RefSeq, Jul 2011] |
| Function | The transport mechanism is electroneutral and operates with a stoichiometry of 1:1. In vitro, Na+ and Li+, but also H+, are cotransported with the neutral amino acids.[Uniprot] |
| Cellular Localization | Cell membrane, Membrane. [Uniprot] |
| Calculated MW | 56 kDa |
| PTM | Disulfide bond, Glycoprotein, Phosphoprotein. [Uniprot] |
Images (5) Click the Picture to Zoom In
-
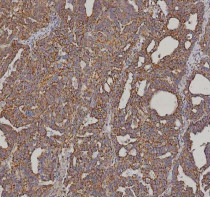
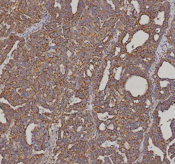
ARG44584 anti-SLC7A7 antibody IHC-P image
Immunohistochemistry: Human ovarian cancer stained with ARG44584 anti-SLC7A7 antibody at 2 μg/ml dilution.
-
ARG44584 anti-SLC7A7 antibody WB image
Western blot: HeLa and HepG2 stained with ARG44584 anti-SLC7A7 antibody at 0.5 μg/mL dilution.
-
ARG44584 anti-SLC7A7 antibody WB image
Western blot: Rat brain stained with ARG44584 anti-SLC7A7 antibody at 0.5 μg/mL dilution.
-
ARG44584 anti-SLC7A7 antibody WB image
Western blot: Mouse brain stained with ARG44584 anti-SLC7A7 antibody at 0.5 μg/mL dilution.
-
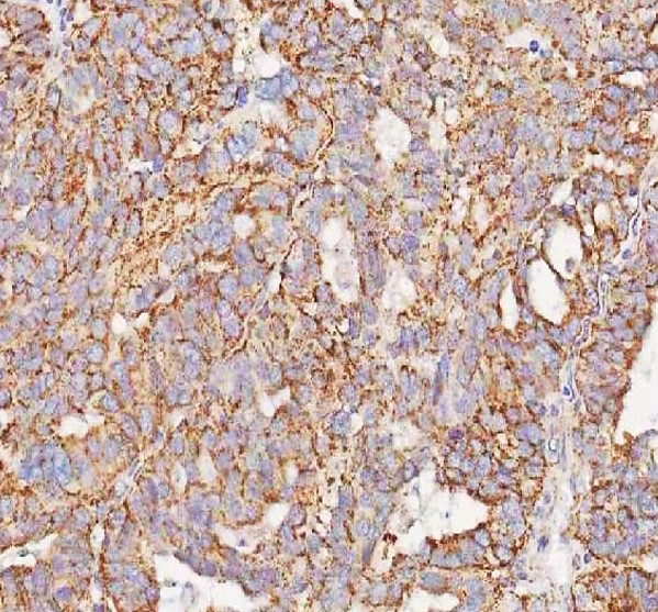
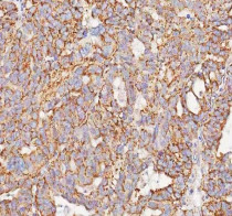
ARG44584 anti-SLC7A7 antibody IHC-P image
Immunohistochemistry: Human ovarian cancer stained with ARG44584 anti-SLC7A7 antibody at 2 μg/ml dilution.
