ARG67117
anti-SLK antibody
anti-SLK antibody for ICC/IF,IHC-Formalin-fixed paraffin-embedded sections,Western blot and Human,Mouse,Rat
Overview
| Product Description | Rabbit Polyclonal antibody recognizes SLK |
|---|---|
| Tested Reactivity | Hu, Ms, Rat |
| Tested Application | ICC/IF, IHC-P, WB |
| Host | Rabbit |
| Clonality | Polyclonal |
| Isotype | IgG |
| Target Name | SLK |
| Antigen Species | Human |
| Immunogen | Human PLEKHG4 Synthesized peptide |
| Conjugation | Un-conjugated |
| Alternate Names | SLK; STE20 Like Kinase; STK2; KIAA0204; Se20-9; STE20-Related Serine/Threonine-Protein Kinase; STE20-Like Serine/Threonine-Protein Kinase; Serine/Threonine-Protein Kinase 2; CTCL Tumor Antigen Se20-9; STE20-Related Kinase; STE20-Like Kinase; EC 2.7.11.1; HSLK; SNF1 (Sucrose Nonfermenting, Yeast, Homolog)-Like Kinase, SNF1 Sucrose Nonfermenting Like Kinase (Yeast); SNF1 (Sucrose Nonfermenting, Yeast, Homolog)-Like Kinase, SNF1 Sucrose Nonfermenting Like Kinase; SNF1 Sucrose Nonfermenting Like Kinase; Ste20-Related Serine/Threonine Kinase; STE20-Like Kinase (Yeast); Long Ste20-Like Kinase; BA16H23.1; EC 2.7.11; LOSK |
Application Instructions
| Application Suggestion |
|
||||||||
|---|---|---|---|---|---|---|---|---|---|
| Application Note | * The dilutions indicate recommended starting dilutions and the optimal dilutions or concentrations should be determined by the scientist. |
Properties
| Form | Liquid |
|---|---|
| Purification | Affinity purification with immunogen. |
| Buffer | PBS (pH 7.4), 0.02% Sodium azide, 50% Glycerol and 0.5% BSA. |
| Preservative | 0.02% Sodium azide |
| Stabilizer | 50% Glycerol and 0.5% BSA |
| Storage Instruction | For continuous use, store undiluted antibody at 2-8°C for up to a week. For long-term storage, aliquot and store at -20°C. Storage in frost free freezers is not recommended. Avoid repeated freeze/thaw cycles. Suggest spin the vial prior to opening. The antibody solution should be gently mixed before use. |
| Note | For laboratory research only, not for drug, diagnostic or other use. |
Bioinformation
| Database Links | |
|---|---|
| Gene Symbol | SLK |
| Gene Full Name | STE20 Like Kinase |
| Background | Enables protein homodimerization activity and protein serine/threonine kinase activity. Involved in several processes, including cytoplasmic microtubule organization; protein autophosphorylation; and regulation of focal adhesion assembly. Located in perinuclear region of cytoplasm. |
| Function | Mediates apoptosis and actin stress fiber dissolution. |
| Cellular Localization | Cytoplasm |
| Calculated MW | 143 kDa |
| PTM | Phosphoprotein |
Images (3) Click the Picture to Zoom In
-
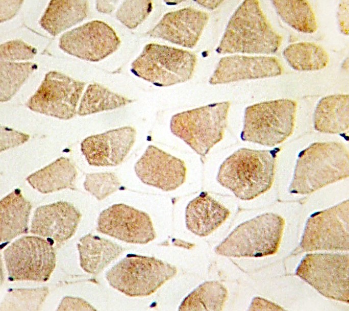
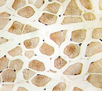
ARG67117 anti-SLK antibody IHC-P image
Immunohistochemistry: Human skeletal muscle stained with ARG67117 anti-SLK antibody.
-
ARG67117 anti-SLK antibody ICC/IF image
Immunofluorescence: HepG2 stained with ARG67117 anti-SLK antibody.
-
ARG67117 anti-SLK antibody WB image
Western blot: COLO 205 stained with ARG67117 anti-SLK antibody at 1:1000 dilution.
