ARG41680
anti-SNAP25 antibody
anti-SNAP25 antibody for Flow cytometry,ICC/IF,IHC-Formalin-fixed paraffin-embedded sections,Western blot and Human,Mouse,Rat
Overview
| Product Description | Rabbit Polyclonal antibody recognizes SNAP25 |
|---|---|
| Tested Reactivity | Hu, Ms, Rat |
| Tested Application | FACS, ICC/IF, IHC-P, WB |
| Host | Rabbit |
| Clonality | Polyclonal |
| Isotype | IgG |
| Target Name | SNAP25 |
| Antigen Species | Human |
| Immunogen | Recombinant protein corresponding to M1-L203 of Human SNAP25. |
| Conjugation | Un-conjugated |
| Alternate Names | Super protein; Synaptosomal-associated 25 kDa protein; bA416N4.2; RIC4; SUP; dJ1068F16.2; SNAP; RIC-4; CMS18; SEC9; SNAP-25; Synaptosomal-associated protein 25 |
Application Instructions
| Application Suggestion |
|
||||||||||
|---|---|---|---|---|---|---|---|---|---|---|---|
| Application Note | IHC-P: Antigen Retrieval: Heat mediation was performed in Citrate buffer (pH 6.0) for 20 min. * The dilutions indicate recommended starting dilutions and the optimal dilutions or concentrations should be determined by the scientist. |
||||||||||
| Observed Size | ~ 25 kDa |
Properties
| Form | Liquid |
|---|---|
| Purification | Affinity purification with immunogen. |
| Buffer | 0.2% Na2HPO4, 0.9% NaCl, 0.05% Sodium azide and 4% Trehalose. |
| Preservative | 0.05% Sodium azide |
| Stabilizer | 4% Trehalose |
| Concentration | 0.5 mg/ml |
| Storage Instruction | For continuous use, store undiluted antibody at 2-8°C for up to a week. For long-term storage, aliquot and store at -20°C or below. Storage in frost free freezers is not recommended. Avoid repeated freeze/thaw cycles. Suggest spin the vial prior to opening. The antibody solution should be gently mixed before use. |
| Note | For laboratory research only, not for drug, diagnostic or other use. |
Bioinformation
| Database Links | |
|---|---|
| Gene Symbol | SNAP25 |
| Gene Full Name | synaptosomal-associated protein, 25kDa |
| Background | Synaptic vesicle membrane docking and fusion is mediated by SNAREs (soluble N-ethylmaleimide-sensitive factor attachment protein receptors) located on the vesicle membrane (v-SNAREs) and the target membrane (t-SNAREs). The assembled v-SNARE/t-SNARE complex consists of a bundle of four helices, one of which is supplied by v-SNARE and the other three by t-SNARE. For t-SNAREs on the plasma membrane, the protein syntaxin supplies one helix and the protein encoded by this gene contributes the other two. Therefore, this gene product is a presynaptic plasma membrane protein involved in the regulation of neurotransmitter release. Two alternative transcript variants encoding different protein isoforms have been described for this gene. [provided by RefSeq, Jul 2008] |
| Function | t-SNARE involved in the molecular regulation of neurotransmitter release. May play an important role in the synaptic function of specific neuronal systems. Associates with proteins involved in vesicle docking and membrane fusion. Regulates plasma membrane recycling through its interaction with CENPF. Modulates the gating characteristics of the delayed rectifier voltage-dependent potassium channel KCNB1 in pancreatic beta cells. [UniProt] |
| Cellular Localization | Cytoplasm, perinuclear region. Cell membrane; Lipid-anchor. Cell junction, synapse, synaptosome. Note=Membrane association requires palmitoylation. Expressed throughout cytoplasm, concentrating at the perinuclear region. Colocalizes with KCNB1 at the cell membrane. [UniProt] |
| Calculated MW | 23 kDa |
| PTM | Palmitoylated. Cys-85 appears to be the main site, and palmitoylation is required for membrane association (By similarity). [UniProt] |
Images (8) Click the Picture to Zoom In
-
ARG41680 anti-SNAP25 antibody ICC/IF image
Immunofluorescence: SH-SY5Y cells were blocked with 10% goat serum and then stained with ARG41680 anti-SNAP25 antibody (green) at 5 µg/ml dilution, overnight at 4°C. DAPI (blue) for nuclear staining.
-
ARG41680 anti-SNAP25 antibody IHC-P image
Immunohistochemistry: Paraffin-embedded Rat brain tissue. Antigen Retrieval: Heat mediation was performed in Citrate buffer (pH 6.0, epitope retrieval solution) for 20 min. The tissue section was blocked with 10% goat serum. The tissue section was then stained with ARG41680 anti-SNAP25 antibody at 2 µg/ml dilution, overnight at 4°C.
-
ARG41680 anti-SNAP25 antibody WB image
Western blot: 50 µg of samples under reducing conditions. HeLa, U-87MG, Rat brain and Mouse brain lysates stained with ARG41680 anti-SNAP25 antibody at 0.5 µg/ml dilution, overnight at 4°C.
-
ARG41680 anti-SNAP25 antibody FACS image
Flow Cytometry: U87 cells were blocked with 10% normal goat serum and then stained with ARG41680 anti-SNAP25 antibody (blue) at 1 µg/10^6 cells for 30 min at 20°C, followed by incubation with DyLight®488 labelled secondary antibody. Isotype control antibody (green) was Rabbit IgG (1 µg/10^6 cells) used under the same conditions. Unlabelled sample (red) was also used as a control.
-
ARG41680 anti-SNAP25 antibody IHC-P image
Immunohistochemistry: Paraffin-embedded Rat brain tissue. Antigen Retrieval: Heat mediation was performed in Citrate buffer (pH 6.0, epitope retrieval solution) for 20 min. The tissue section was blocked with 10% goat serum. The tissue section was then stained with ARG41680 anti-SNAP25 antibody at 2 µg/ml dilution, overnight at 4°C.
-
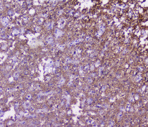
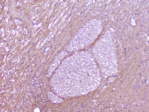
ARG41680 anti-SNAP25 antibody IHC-P image
Immunohistochemistry: Paraffin-embedded Human glioma tissue. Antigen Retrieval: Heat mediation was performed in Citrate buffer (pH 6.0, epitope retrieval solution) for 20 min. The tissue section was blocked with 10% goat serum. The tissue section was then stained with ARG41680 anti-SNAP25 antibody at 2 µg/ml dilution, overnight at 4°C.
-
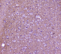
ARG41680 anti-SNAP25 antibody IHC-P image
Immunohistochemistry: Paraffin-embedded Mouse brain tissue. Antigen Retrieval: Heat mediation was performed in Citrate buffer (pH 6.0, epitope retrieval solution) for 20 min. The tissue section was blocked with 10% goat serum. The tissue section was then stained with ARG41680 anti-SNAP25 antibody at 2 µg/ml dilution, overnight at 4°C.
-
ARG41680 anti-SNAP25 antibody FACS image
Flow Cytometry: U2OS cells were blocked with 10% normal goat serum and then stained with ARG41680 anti-SNAP25 antibody (blue) at 1 µg/10^6 cells for 30 min at 20°C, followed by incubation with DyLight®488 labelled secondary antibody. Isotype control antibody (green) was Rabbit IgG (1 µg/10^6 cells) used under the same conditions. Unlabelled sample (red) was also used as a control.
