ARG55607
anti-SOCS1 antibody
anti-SOCS1 antibody for Flow cytometry,ICC/IF,IHC-Formalin-fixed paraffin-embedded sections,Western blot and Human,Mouse,Rat
Gene Regulation antibody; Immune System antibody; Signaling Transduction antibody
Overview
| Product Description | Rabbit Polyclonal antibody recognizes SOCS1 |
|---|---|
| Tested Reactivity | Hu, Ms, Rat |
| Tested Application | FACS, ICC/IF, IHC-P, WB |
| Host | Rabbit |
| Clonality | Polyclonal |
| Isotype | IgG |
| Target Name | SOCS1 |
| Antigen Species | Human |
| Immunogen | KLH-conjugated synthetic peptide corresponding to aa. 35-66 (N-terminus) of Human SOCS1. |
| Conjugation | Un-conjugated |
| Alternate Names | SOCS-1; Suppressor of cytokine signaling 1; TIP-3; CISH1; SSI-1; JAK-binding protein; CIS1; SSI1; Tec-interacting protein 3; TIP3; JAB; STAT-induced STAT inhibitor 1 |
Application Instructions
| Application Suggestion |
|
||||||||||
|---|---|---|---|---|---|---|---|---|---|---|---|
| Application Note | * The dilutions indicate recommended starting dilutions and the optimal dilutions or concentrations should be determined by the scientist. | ||||||||||
| Positive Control | Mouse kidney |
Properties
| Form | Liquid |
|---|---|
| Purification | This antibody is prepared by Saturated Ammonium Sulfate (SAS) precipitation followed by dialysis against PBS. |
| Buffer | PBS and 0.09% (W/V) Sodium azide |
| Preservative | 0.09% (W/V) Sodium azide |
| Storage Instruction | For continuous use, store undiluted antibody at 2-8°C for up to a week. For long-term storage, aliquot and store at -20°C or below. Storage in frost free freezers is not recommended. Avoid repeated freeze/thaw cycles. Suggest spin the vial prior to opening. The antibody solution should be gently mixed before use. |
| Note | For laboratory research only, not for drug, diagnostic or other use. |
Bioinformation
| Database Links |
Swiss-port # O15524 Human Suppressor of cytokine signaling 1 Swiss-port # O35716 Mouse Suppressor of cytokine signaling 1 |
|---|---|
| Gene Symbol | SOCS1 |
| Gene Full Name | suppressor of cytokine signaling 1 |
| Background | This gene encodes a member of the STAT-induced STAT inhibitor (SSI), also known as suppressor of cytokine signaling (SOCS), family. SSI family members are cytokine-inducible negative regulators of cytokine signaling. The expression of this gene can be induced by a subset of cytokines, including IL2, IL3 erythropoietin (EPO), CSF2/GM-CSF, and interferon (IFN)-gamma. The protein encoded by this gene functions downstream of cytokine receptors, and takes part in a negative feedback loop to attenuate cytokine signaling. Knockout studies in mice suggested the role of this gene as a modulator of IFN-gamma action, which is required for normal postnatal growth and survival. [provided by RefSeq, Jul 2008] |
| Function | SOCS family proteins form part of a classical negative feedback system that regulates cytokine signal transduction. SOCS1 is involved in negative regulation of cytokines that signal through the JAK/STAT3 pathway. Through binding to JAKs, inhibits their kinase activity. In vitro, also suppresses Tec protein-tyrosine activity. Appears to be a major regulator of signaling by interleukin 6 (IL6) and leukemia inhibitory factor (LIF). Regulates interferon-gamma mediated sensory neuron survival (By similarity). Probable substrate recognition component of an ECS (Elongin BC-CUL2/5-SOCS-box protein) E3 ubiquitin ligase complex which mediates the ubiquitination and subsequent proteasomal degradation of target proteins. Seems to recognize JAK2. SOCS1 appears to be a negative regulator in IGF1R signaling pathway. [UniProt] |
| Research Area | Gene Regulation antibody; Immune System antibody; Signaling Transduction antibody |
| Calculated MW | 24 kDa |
Images (4) Click the Picture to Zoom In
-
ARG55607 anti-SOCS1 antibody ICC/IF image
Immunofluorescence: 293 cells stained with ARG55607 anti-SOCS1 antibody.
-
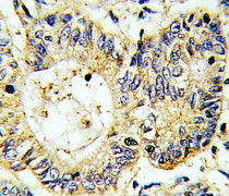
ARG55607 anti-SOCS1 antibody IHC-P image
Immunohistochemistry: Formalin-fixed and paraffin-embedded Human colon carcinoma stained with ARG55607 anti-SOCS1 antibody.
-
ARG55607 anti-SOCS1 antibody WB image
Western blot: 35 µg of Mouse kidney lysate stained with ARG55607 anti-SOCS1 antibody.
-
ARG55607 anti-SOCS1 antibody FACS image
Flow Cytometry: WiDr cells stained with ARG55607 anti-SOCS1 antibody (right histogram) or without primary antibody as control (left histogram), followed by incubation with FITC labelled secondary antibody.

