ARG63140
anti-SOCS1 antibody
anti-SOCS1 antibody for Flow cytometry,ICC/IF,IHC-Formalin-fixed paraffin-embedded sections and Human,Mouse
Gene Regulation antibody; Immune System antibody; Signaling Transduction antibody
Overview
| Product Description | Goat Polyclonal antibody recognizes SOCS1 |
|---|---|
| Tested Reactivity | Hu, Ms |
| Predict Reactivity | Cow, Rat, Dog, Pig |
| Tested Application | FACS, ICC/IF, IHC-P |
| Host | Goat |
| Clonality | Polyclonal |
| Isotype | IgG |
| Target Name | SOCS1 |
| Antigen Species | Human |
| Immunogen | C-VLRDYLSSFPFQI |
| Conjugation | Un-conjugated |
| Alternate Names | SOCS-1; Suppressor of cytokine signaling 1; TIP-3; CISH1; SSI-1; JAK-binding protein; CIS1; SSI1; Tec-interacting protein 3; TIP3; JAB; STAT-induced STAT inhibitor 1 |
Application Instructions
| Application Suggestion |
|
||||||||
|---|---|---|---|---|---|---|---|---|---|
| Application Note | IHC-P: Antigen Retrieval: Heat mediation was performed in Citrate buffer (pH 6.0). * The dilutions indicate recommended starting dilutions and the optimal dilutions or concentrations should be determined by the scientist. |
Properties
| Form | Liquid |
|---|---|
| Purification | Purified from goat serum by antigen affinity chromatography. |
| Buffer | Tris saline (pH 7.3), 0.02% Sodium azide and 0.5% BSA. |
| Preservative | 0.02% Sodium azide |
| Stabilizer | 0.5% BSA |
| Concentration | 0.5 mg/ml |
| Storage Instruction | For continuous use, store undiluted antibody at 2-8°C for up to a week. For long-term storage, aliquot and store at -20°C or below. Storage in frost free freezers is not recommended. Avoid repeated freeze/thaw cycles. Suggest spin the vial prior to opening. The antibody solution should be gently mixed before use. |
| Note | For laboratory research only, not for drug, diagnostic or other use. |
Bioinformation
| Database Links |
Swiss-port # O15524 Human Suppressor of cytokine signaling 1 Swiss-port # O35716 Mouse Suppressor of cytokine signaling 1 |
|---|---|
| Background | This gene encodes a member of the STAT-induced STAT inhibitor (SSI), also known as suppressor of cytokine signaling (SOCS), family. SSI family members are cytokine-inducible negative regulators of cytokine signaling. The expression of this gene can be induced by a subset of cytokines, including IL2, IL3 erythropoietin (EPO), CSF2/GM-CSF, and interferon (IFN)-gamma. The protein encoded by this gene functions downstream of cytokine receptors, and takes part in a negative feedback loop to attenuate cytokine signaling. Knockout studies in mice suggested the role of this gene as a modulator of IFN-gamma action, which is required for normal postnatal growth and survival. [provided by RefSeq, Jul 2008] |
| Research Area | Gene Regulation antibody; Immune System antibody; Signaling Transduction antibody |
| Calculated MW | 24 kDa |
Images (5) Click the Picture to Zoom In
-
ARG63140 anti-SOCS1 antibody ICC/IF image
Immunofluorescence: Paraformaldehyde fixed MCF7 cells permeabilized with 0.15% Triton. Cells were stained with ARG63140 anti-SOCS1 antibody (green) at 10 µg/ml dilution for 1 hour. DAPI (blue) for nuclear staining. Negative control: Unimmunized goat IgG (green) at 10 µg/ml dilution.
-
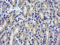
ARG63140 anti-SOCS1 antibody IHC-P image
Immunohistochemistry: Paraffin-embedded Human kidney tissue. Antigen Retrieval: Heat mediation was performed in Citrate buffer (pH 6.0). The tissue section was stained with ARG63140 anti-SOCS1 antibody at 8 µg/ml dilution followed by HRP-staining.
-
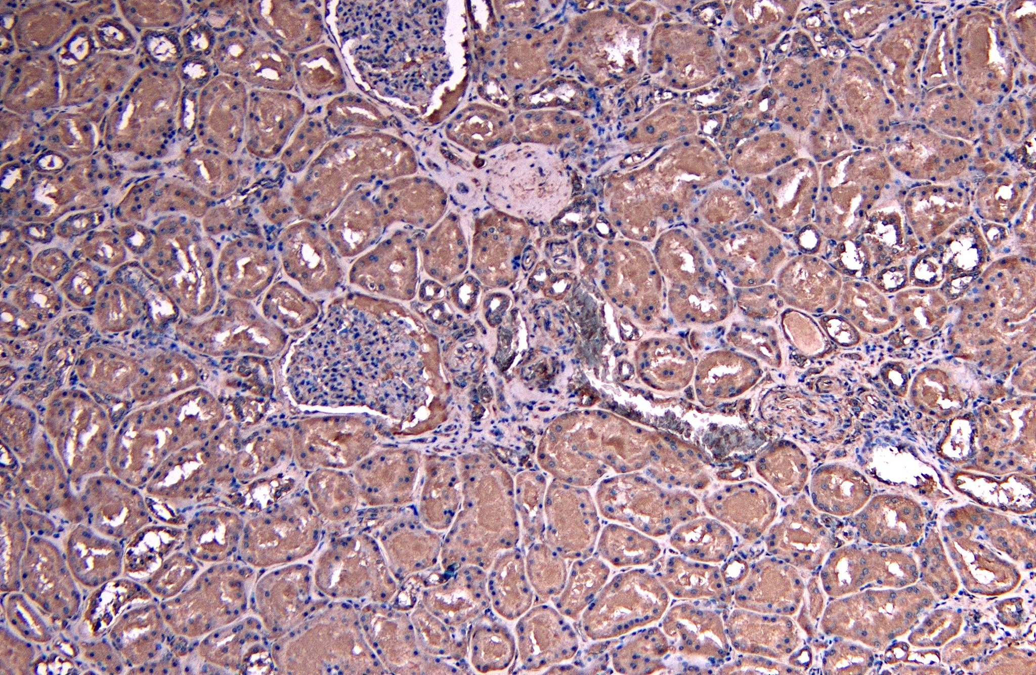
ARG63140 anti-SOCS1 antibody IHC-P image
Immunohistochemistry: paraffin embedded Human Kidney. (Steamed antigen retrieval with citrate buffer pH 6) stained with ARG63140 anti-SOCS1 antibody at 2.5 µg/ml dilution followed by AP-staining.
-
ARG63140 anti-SOCS1 antibody FACS image
Flow Cytometry: Paraformaldehyde-fixed HEK293 cells permeabilized with 0.5% Triton. Cells were stained with ARG63140 anti-SOCS1 antibody (blue line) at 10 µg/ml dilution for 1 hour, followed by incubation with Alexa Fluor® 488 labelled secondary antibody. IgG control: Unimmunized goat IgG (black line).
-
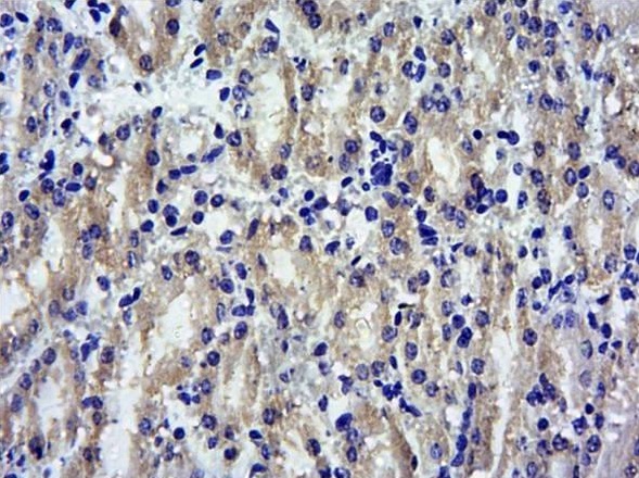
ARG63140 anti-SOCS1 antibody IHC-P image
Immunohistochemistry: Paraffin-embedded Mouse kidney tissue. Antigen Retrieval: Heat mediation was performed in Citrate buffer (pH 6.0). The tissue section was stained with ARG63140 anti-SOCS1 antibody at 10 µg/ml dilution followed by HRP-staining.
