ARG42737
anti-SOCS3 antibody
anti-SOCS3 antibody for IHC-Formalin-fixed paraffin-embedded sections,Western blot and Human
Overview
| Product Description | Rabbit Polyclonal antibody recognizes SOCS3 |
|---|---|
| Tested Reactivity | Hu |
| Predict Reactivity | Ms |
| Tested Application | IHC-P, WB |
| Host | Rabbit |
| Clonality | Polyclonal |
| Isotype | IgG |
| Target Name | SOCS3 |
| Antigen Species | Human |
| Immunogen | Synthetic peptide corresponding to aa. 71-85 of Human SOCS3. (RDSSDQRHFFTLSVK) |
| Conjugation | Un-conjugated |
| Alternate Names | SOCS-3; Cish3; CIS-3; Suppressor of cytokine signaling 3; SSI-3; SSI3; CIS3; Cytokine-inducible SH2 protein 3; STAT-induced STAT inhibitor 3; ATOD4 |
Application Instructions
| Application Suggestion |
|
||||||
|---|---|---|---|---|---|---|---|
| Application Note | IHC-P: Antigen Retrieval: Heat mediation was performed in Citrate buffer (pH 6.0) for 20 min. * The dilutions indicate recommended starting dilutions and the optimal dilutions or concentrations should be determined by the scientist. |
||||||
| Observed Size | ~ 30 kDa |
Properties
| Form | Liquid |
|---|---|
| Purification | Affinity purification with immunogen. |
| Buffer | 0.2% Na2HPO4, 0.9% NaCl, 0.05% Thimerosal, 0.05% Sodium azide and 5% BSA. |
| Preservative | 0.05% Thimerosal and 0.05% Sodium azide |
| Stabilizer | 5% BSA |
| Concentration | 0.5 mg/ml |
| Storage Instruction | For continuous use, store undiluted antibody at 2-8°C for up to a week. For long-term storage, aliquot and store at -20°C or below. Storage in frost free freezers is not recommended. Avoid repeated freeze/thaw cycles. Suggest spin the vial prior to opening. The antibody solution should be gently mixed before use. |
| Note | For laboratory research only, not for drug, diagnostic or other use. |
Bioinformation
| Database Links |
Swiss-port # O14543 Human Suppressor of cytokine signaling 3 |
|---|---|
| Gene Symbol | SOCS3 |
| Gene Full Name | suppressor of cytokine signaling 3 |
| Background | This gene encodes a member of the STAT-induced STAT inhibitor (SSI), also known as suppressor of cytokine signaling (SOCS), family. SSI family members are cytokine-inducible negative regulators of cytokine signaling. The expression of this gene is induced by various cytokines, including IL6, IL10, and interferon (IFN)-gamma. The protein encoded by this gene can bind to JAK2 kinase, and inhibit the activity of JAK2 kinase. Studies of the mouse counterpart of this gene suggested the roles of this gene in the negative regulation of fetal liver hematopoiesis, and placental development. [provided by RefSeq, Jul 2008] |
| Function | SOCS family proteins form part of a classical negative feedback system that regulates cytokine signal transduction. SOCS3 is involved in negative regulation of cytokines that signal through the JAK/STAT pathway. Inhibits cytokine signal transduction by binding to tyrosine kinase receptors including gp130, LIF, erythropoietin, insulin, IL12, GCSF and leptin receptors. Binding to JAK2 inhibits its kinase activity. Suppresses fetal liver erythropoiesis. Regulates onset and maintenance of allergic responses mediated by T-helper type 2 cells. Regulates IL-6 signaling in vivo (By similarity). Probable substrate recognition component of a SCF-like ECS (Elongin BC-CUL2/5-SOCS-box protein) E3 ubiquitin-protein ligase complex which mediates the ubiquitination and subsequent proteasomal degradation of target proteins. Seems to recognize IL6ST (By similarity). [UniProt] |
| Calculated MW | 25 kDa |
| PTM | Phosphorylated on tyrosine residues after stimulation by the cytokines, IL-2, EPO or IGF1. [UniProt] |
Images (2) Click the Picture to Zoom In
-
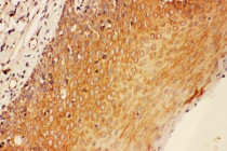
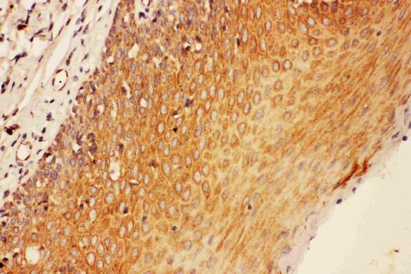
ARG42737 anti-SOCS3 antibody IHC-P image
Immunohistochemistry: Paraffin-embedded Human tonsil tissue. Antigen Retrieval: Heat mediation was performed in Citrate buffer (pH 6.0) for 20 min. The tissue section was blocked with 10% goat serum. The tissue section was then stained with ARG42737 anti-SOCS3 antibody at 1 µg/ml dilution, overnight at 4°C.
-
ARG42737 anti-SOCS3 antibody WB image
Western blot: 50 µg of samples under reducing conditions. HeLa, A549 and A431 whole cell lysates stained with ARG42737 anti-SOCS3 antibody at 0.5 µg/ml dilution, overnight at 4°C.
