ARG63237
anti-SOCS4 antibody
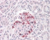
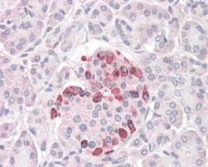
anti-SOCS4 antibody for IHC-Formalin-fixed paraffin-embedded sections and Human
Signaling Transduction antibody
Overview
| Product Description | Goat Polyclonal antibody recognizes SOCS4 |
|---|---|
| Tested Reactivity | Hu |
| Predict Reactivity | Cow, Pig |
| Tested Application | IHC-P |
| Specificity | Both variants represent identical protein (NP_543143.1 and NP_955453.1). |
| Host | Goat |
| Clonality | Polyclonal |
| Isotype | IgG |
| Target Name | SOCS4 |
| Antigen Species | Human |
| Immunogen | C-SKVRVLRIDAPEQQ |
| Conjugation | Un-conjugated |
| Alternate Names | SOCS7; SOCS-7; Suppressor of cytokine signaling 4; Suppressor of cytokine signaling 7; SOCS-4 |
Application Instructions
| Application Suggestion |
|
||||
|---|---|---|---|---|---|
| Application Note | IHC-P: Antigen Retrieval: Steam tissue section in Citrate buffer (pH 6.0). * The dilutions indicate recommended starting dilutions and the optimal dilutions or concentrations should be determined by the scientist. |
Properties
| Form | Liquid |
|---|---|
| Purification | Purified from goat serum by antigen affinity chromatography. |
| Buffer | Tris saline (pH 7.3), 0.02% Sodium azide and 0.5% BSA. |
| Preservative | 0.02% Sodium azide |
| Stabilizer | 0.5% BSA |
| Concentration | 0.5 mg/ml |
| Storage Instruction | For continuous use, store undiluted antibody at 2-8°C for up to a week. For long-term storage, aliquot and store at -20°C or below. Storage in frost free freezers is not recommended. Avoid repeated freeze/thaw cycles. Suggest spin the vial prior to opening. The antibody solution should be gently mixed before use. |
| Note | For laboratory research only, not for drug, diagnostic or other use. |
Bioinformation
| Database Links |
Swiss-port # Q8WXH5 Human Suppressor of cytokine signaling 4 |
|---|---|
| Background | The protein encoded by this gene contains a SH2 domain and a SOCS BOX domain. The protein thus belongs to the suppressor of cytokine signaling (SOCS), also known as STAT-induced STAT inhibitor (SSI), protein family. SOCS family members are known to be cytokine-inducible negative regulators of cytokine signaling. Two alternatively spliced transcript variants encoding the same protein have been found for this gene. [provided by RefSeq, Jul 2008] |
| Research Area | Signaling Transduction antibody |
| Calculated MW | 51 kDa |
Images (1) Click the Picture to Zoom In
