ARG59110
anti-SOD3 antibody
anti-SOD3 antibody for ICC/IF,IHC-Frozen sections,IHC-Formalin-fixed paraffin-embedded sections,Western blot and Human
Overview
| Product Description | Rabbit Polyclonal antibody recognizes SOD3 |
|---|---|
| Tested Reactivity | Hu |
| Tested Application | ICC/IF, IHC-Fr, IHC-P, WB |
| Host | Rabbit |
| Clonality | Polyclonal |
| Isotype | IgG |
| Target Name | SOD3 |
| Antigen Species | Human |
| Immunogen | Synthetic peptide corresponding to aa. 41-56 of Human SOD3. (KVTEIWQEVMQRRDDD) |
| Conjugation | Un-conjugated |
| Alternate Names | EC 1.15.1.1; Extracellular superoxide dismutase [Cu-Zn]; EC-SOD |
Application Instructions
| Application Suggestion |
|
||||||||||
|---|---|---|---|---|---|---|---|---|---|---|---|
| Application Note | IHC-P: Antigen Retrieval: Heat mediation was performed in Citrate buffer (pH 6.0) for 20 min. * The dilutions indicate recommended starting dilutions and the optimal dilutions or concentrations should be determined by the scientist. |
Properties
| Form | Liquid |
|---|---|
| Purification | Affinity purification with immunogen. |
| Buffer | 0.9% NaCl, 0.2% Na2HPO4, 0.05% Thimerosal, 0.05% Sodium azide and 5% BSA. |
| Preservative | 0.05% Thimerosal and 0.05% Sodium azide |
| Stabilizer | 5% BSA |
| Concentration | 0.5 mg/ml |
| Storage Instruction | For continuous use, store undiluted antibody at 2-8°C for up to a week. For long-term storage, aliquot and store at -20°C or below. Storage in frost free freezers is not recommended. Avoid repeated freeze/thaw cycles. Suggest spin the vial prior to opening. The antibody solution should be gently mixed before use. |
| Note | For laboratory research only, not for drug, diagnostic or other use. |
Bioinformation
| Database Links |
Swiss-port # P08294 Human Extracellular superoxide dismutase [Cu-Zn] |
|---|---|
| Gene Symbol | SOD3 |
| Gene Full Name | superoxide dismutase 3, extracellular |
| Background | This gene encodes a member of the superoxide dismutase (SOD) protein family. SODs are antioxidant enzymes that catalyze the dismutation of two superoxide radicals into hydrogen peroxide and oxygen. The product of this gene is thought to protect the brain, lungs, and other tissues from oxidative stress. The protein is secreted into the extracellular space and forms a glycosylated homotetramer that is anchored to the extracellular matrix (ECM) and cell surfaces through an interaction with heparan sulfate proteoglycan and collagen. A fraction of the protein is cleaved near the C-terminus before secretion to generate circulating tetramers that do not interact with the ECM. [provided by RefSeq, Jul 2008] |
| Function | Protect the extracellular space from toxic effect of reactive oxygen intermediates by converting superoxide radicals into hydrogen peroxide and oxygen. [UniProt] |
| Cellular Localization | Secreted, extracellular space. Note=99% of EC-SOD is anchored to heparan sulfate proteoglycans in the tissue interstitium, and 1% is located in the vasculature in equilibrium between the plasma and the endothelium. [UniProt] |
| Calculated MW | 26 kDa |
Images (4) Click the Picture to Zoom In
-
ARG59110 anti-SOD3 antibody ICC image
Immunocytochemistry: HeLa cells were blocked with 10% goat serum and then stained with ARG59110 anti-SOD3 antibody at 1 µg/ml dilution, overnight at 4°C.
-
ARG59110 anti-SOD3 antibody IHC-Fr image
Immunohistochemistry: Frozen section of Human placenta stained with ARG59110 anti-SOD3 antibody.
-
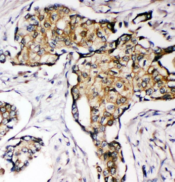
ARG59110 anti-SOD3 antibody IHC-P image
Immunohistochemistry: Paraffin-embedded Human mammary cancer tissue. Antigen Retrieval: Heat mediation was performed in Citrate buffer (pH 6.0) for 20 min. The tissue section was blocked with 10% goat serum. The tissue section was then stained with ARG59110 anti-SOD3 antibody at 1 µg/ml dilution, overnight at 4°C.
-
ARG59110 anti-SOD3 antibody WB image
Western blot: Human placenta, A549, MDA-MB-231 and MCF-7 cell lysates stained with ARG59110 anti-SOD3 antibody.
