ARG42055
anti-SOX13 antibody
anti-SOX13 antibody for IHC-Formalin-fixed paraffin-embedded sections,Western blot and Human,Mouse
Overview
| Product Description | Rabbit Polyclonal antibody recognizes SOX13 |
|---|---|
| Tested Reactivity | Hu, Ms |
| Tested Application | IHC-P, WB |
| Host | Rabbit |
| Clonality | Polyclonal |
| Isotype | IgG |
| Target Name | SOX13 |
| Antigen Species | Human |
| Immunogen | Synthetic peptide of Human SOX13. |
| Conjugation | Un-conjugated |
| Alternate Names | ICA12; Transcription factor SOX-13; Islet cell antigen 12; Type 1 diabetes autoantigen ICA12; SRY; Sox-13; Sex determining region Y |
Application Instructions
| Application Suggestion |
|
||||||
|---|---|---|---|---|---|---|---|
| Application Note | * The dilutions indicate recommended starting dilutions and the optimal dilutions or concentrations should be determined by the scientist. | ||||||
| Positive Control | WB: Mouse liver IHC-P: Human tonsil and Human lung cancer |
||||||
| Observed Size | ~ 71 kDa |
Properties
| Form | Liquid |
|---|---|
| Purification | Affinity purification with immunogen. |
| Buffer | PBS (pH 7.4), 0.05% Sodium azide and 40% Glycerol. |
| Preservative | 0.05% Sodium azide |
| Stabilizer | 40% Glycerol |
| Concentration | 0.4 mg/ml |
| Storage Instruction | For continuous use, store undiluted antibody at 2-8°C for up to a week. For long-term storage, aliquot and store at -20°C. Storage in frost free freezers is not recommended. Avoid repeated freeze/thaw cycles. Suggest spin the vial prior to opening. The antibody solution should be gently mixed before use. |
| Note | For laboratory research only, not for drug, diagnostic or other use. |
Bioinformation
| Database Links | |
|---|---|
| Gene Symbol | SOX13 |
| Gene Full Name | SRY (sex determining region Y)-box 13 |
| Background | This gene encodes a member of the SOX (SRY-related HMG-box) family of transcription factors involved in the regulation of embryonic development and in the determination of cell fate. The encoded protein may act as a transcriptional regulator after forming a protein complex with other proteins. It has also been determined to be a type-1 diabetes autoantigen, also known as islet cell antibody 12. [provided by RefSeq, Jul 2008] |
| Function | Binds to the sequence 5'-AACAAT-3'. [UniProt] |
| Cellular Localization | Nucleus. [UniProt] |
| Calculated MW | 69 kDa |
Images (3) Click the Picture to Zoom In
-
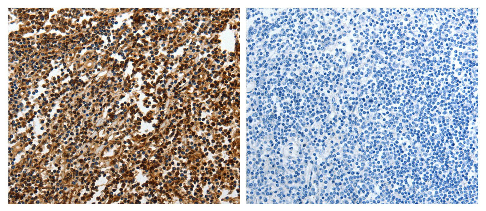
ARG42055 anti-SOX13 antibody IHC-P image
Immunohistochemistry: Paraffin-embedded Human tonsil tissue stained with ARG42055 anti-SOX13 antibody (left) at 1:50 dilution, or the same antibody pre-incubated with synthetic peptide (right). (Original magnification: X200).
-
ARG42055 anti-SOX13 antibody WB image
Western blot: 40 µg of Mouse liver lysate stained with ARG42055 anti-SOX13 antibody at 1:800 dilution.
-
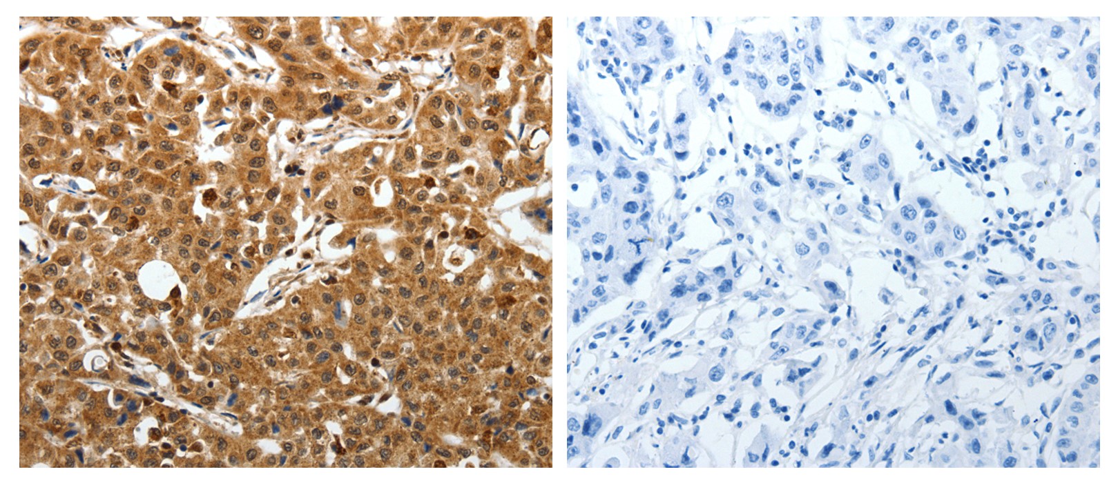
ARG42055 anti-SOX13 antibody IHC-P image
Immunohistochemistry: Paraffin-embedded Human lung cancer tissue stained with ARG42055 anti-SOX13 antibody (left) at 1:50 dilution, or the same antibody pre-incubated with synthetic peptide (right). (Original magnification: X200).
