ARG45777
anti-SQRDL antibody
anti-SQRDL antibody for Flow cytometry,ICC/IF,IHC-Formalin-fixed paraffin-embedded sections,Western blot and Human
Overview
| Product Description | Rabbit Polyclonal antibody recognizes SQRDL |
|---|---|
| Tested Reactivity | Hu |
| Tested Application | FACS, ICC/IF, IHC-P, WB |
| Host | Rabbit |
| Clonality | Polyclonal |
| Isotype | IgG |
| Target Name | SQRDL |
| Antigen Species | Human |
| Immunogen | Recombinant protein containing to human SQRDL. |
| Conjugation | Un-conjugated |
| Alternate Names | SQOR, Sulfide Quinone Oxidoreductase, CGI-44, SQRDL, SQR, Sulfide:Quinone Oxidoreductase, Mitochondrial, Sulfide Quinone Reductase-Like (Yeast), Sulfide Quinone Reductase-Like, Sulfide Dehydrogenase Like, Sulfide Dehydrogenase-Like, EC 1.8.5.8, PRO1975 |
Application Instructions
| Application Suggestion |
|
||||||||||
|---|---|---|---|---|---|---|---|---|---|---|---|
| Application Note | * The dilutions indicate recommended starting dilutions and the optimal dilutions or concentrations should be determined by the scientist. | ||||||||||
| Observed Size | 50 kDa |
Properties
| Form | Liquid |
|---|---|
| Purification | Affinity purified |
| Buffer | 0.2% Na2HPO4, 0.9% NaCl and 4% Trehalose. |
| Stabilizer | 4% Trehalose |
| Concentration | 0.5 mg/ml |
| Storage Instruction | For continuous use, store undiluted antibody at 2-8°C for up to a week. For long-term storage, aliquot and store at -20°C or below. Storage in frost free freezers is not recommended. Avoid repeated freeze/thaw cycles. Suggest spin the vial prior to opening. The antibody solution should be gently mixed before use. |
| Note | For laboratory research only, not for drug, diagnostic or other use. |
Bioinformation
| Database Links |
Swiss-port # Q9Y6N5 Human Sulfide:quinone oxidoreductase, mitochondrial |
|---|---|
| Gene Symbol | SQOR |
| Gene Full Name | Sulfide Quinone Oxidoreductase |
| Background | The protein encoded by this gene may function in mitochondria to catalyze the conversion of sulfide to persulfides, thereby decreasing toxic concencrations of sulfide. Alternative splicing results in multiple transcript variants that encode the same protein. |
| Function | Catalyzes the oxidation of hydrogen sulfide with the help of a quinone, such as ubiquinone-10, giving rise to thiosulfate and ultimately to sulfane (molecular sulfur) atoms. Requires an additional electron acceptor; can use sulfite, sulfide or cyanide (in vitro). [UniProt] |
| Cellular Localization | Mitochondrion. [UniProt] |
| Calculated MW | 50 kDa |
| PTM | Acetylation, Disulfide bond, Phosphoprotein, Quinone. [UniProt] |
Images (4) Click the Picture to Zoom In
-
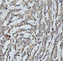
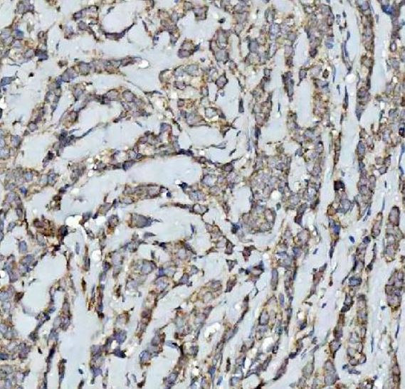
ARG45777 anti-SQRDL antibody IHC-P image
Immunohistochemistry: Human breast cancer stained with ARG45777 anti-SQRDL antibody at 2 μg/ml dilution.
-
ARG45777 anti-SQRDL antibody ICC/IF image
Immunofluorescence: PC-3 stained with ARG45777 anti-SQRDL antibody at 5 μg/ml dilution.
-
ARG45777 anti-SQRDL antibody WB image
Western blot: Hela stained with ARG45777 anti-SQRDL antibody at 0.5 μg/ml dilution.
-
ARG45777 anti-SQRDL antibody FACS image
Flow Cytometry: JK stained with ARG45777 anti-SQRDL antibody at 1 µg/10^6 cells dilution.
