ARG45280
anti-SRPRB antibody
anti-SRPRB antibody for Flow cytometry,ICC/IF,IHC-Formalin-fixed paraffin-embedded sections,Western blot and Human
Overview
| Product Description | Polyclonal antibody recognizes SRPRB |
|---|---|
| Tested Reactivity | Hu |
| Tested Application | FACS, ICC/IF, IHC-P, WB |
| Host | Rabbit |
| Clonality | Polyclonal |
| Isotype | IgG |
| Target Name | SRPRB |
| Antigen Species | Human |
| Immunogen | Recombinant protein containing to human SRPRB. |
| Conjugation | Un-conjugated |
| Alternate Names | SRPRB; SRP Receptor Subunit Beta; SR-Beta; APMCF1; Signal Recognition Particle Receptor Subunit Beta; Signal Recognition Particle Receptor, B Subunit; Signal Recognition Particle Receptor, Beta Subunit; SRP Receptor Beta Subunit; Protein APMCF1 |
Application Instructions
| Application Suggestion |
|
||||||||||
|---|---|---|---|---|---|---|---|---|---|---|---|
| Application Note | * The dilutions indicate recommended starting dilutions and the optimal dilutions or concentrations should be determined by the scientist. | ||||||||||
| Observed Size | 30 kDa |
Properties
| Form | Liquid |
|---|---|
| Purification | Affinity purification with immunogen. |
| Buffer | 0.2% Na2HPO4, 0.9% NaCl and 4% Trehalose. |
| Stabilizer | 4% Trehalose |
| Concentration | 0.5 mg/ml |
| Storage Instruction | For continuous use, store undiluted antibody at 2-8°C for up to a week. For long-term storage, aliquot and store at -20°C or below. Storage in frost free freezers is not recommended. Avoid repeated freeze/thaw cycles. Suggest spin the vial prior to opening. The antibody solution should be gently mixed before use. |
| Note | For laboratory research only, not for drug, diagnostic or other use. |
Bioinformation
| Database Links |
Swiss-port # Q9Y5M8 Human Signal recognition particle receptor subunit beta |
|---|---|
| Gene Symbol | SRPRB |
| Gene Full Name | SRP Receptor Subunit Beta |
| Background | The protein encoded by this gene has similarity to mouse protein which is a subunit of the signal recognition particle receptor (SR). This subunit is a transmembrane GTPase belonging to the GTPase superfamily. It anchors alpha subunit, a peripheral membrane GTPase, to the ER membrane. SR is required for the cotranslational targeting of both secretory and membrane proteins to the ER membrane. [provided by RefSeq, Jul 2008] |
| Function | Component of the signal recognition particle (SRP) complex receptor (SR. [UniProt] |
| Cellular Localization | Endoplasmic reticulum; Membrane. [UniProt] |
| Calculated MW | 30 kDa |
| PTM | Phosphoprotein. [UniProt] |
Images (4) Click the Picture to Zoom In
-
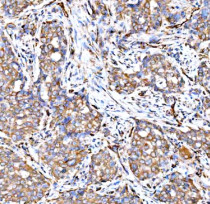
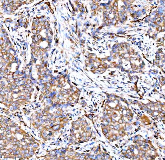
ARG45280 anti-SRPRB antibody IHC-P image
Immunohistochemistry: Human lung adenocarcinoma stained with ARG45280 anti-SRPRB antibody at 2 μg/ml dilution.
-
ARG45280 anti-SRPRB antibody ICC/IF image
Immunofluorescence: U20S stained with ARG45280 anti-SRPRB antibody at 5 ug/ml dilution.
-
ARG45280 anti-SRPRB antibody WB image
Western blot: Hela and HepG2 stained with ARG45280 anti-SRPRB antibody at 0.5 μg/ml dilution.
-
ARG45280 anti-SRPRB antibody FACS image
Flow Cytometry: HCT116 stained with ARG45280 anti-SRPRB antibody at 1 µg/10^6 cells dilution.
