ARG59730
anti-SSNA1 antibody
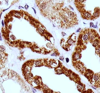
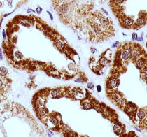
anti-SSNA1 antibody for IHC-Formalin-fixed paraffin-embedded sections,Western blot and Human
Overview
| Product Description | Rabbit Polyclonal antibody recognizes SSNA1 |
|---|---|
| Tested Reactivity | Hu |
| Predict Reactivity | Ms, Bov |
| Tested Application | IHC-P, WB |
| Host | Rabbit |
| Clonality | Polyclonal |
| Isotype | IgG |
| Target Name | SSNA1 |
| Antigen Species | Human |
| Immunogen | KLH-conjugated synthetic peptide corresponding to aa. 25-53 of Human SSNA1. |
| Conjugation | Un-conjugated |
| Alternate Names | NA14; Sjoegren syndrome nuclear autoantigen 1; NA-14; N14; Nuclear autoantigen of 14 kDa |
Application Instructions
| Application Suggestion |
|
||||||
|---|---|---|---|---|---|---|---|
| Application Note | * The dilutions indicate recommended starting dilutions and the optimal dilutions or concentrations should be determined by the scientist. | ||||||
| Positive Control | A2058 |
Properties
| Form | Liquid |
|---|---|
| Purification | Purification with Protein A and immunogen peptide. |
| Buffer | PBS and 0.09% (W/V) Sodium azide. |
| Preservative | 0.09% (W/V) Sodium azide. |
| Storage Instruction | For continuous use, store undiluted antibody at 2-8°C for up to a week. For long-term storage, aliquot and store at -20°C or below. Storage in frost free freezers is not recommended. Avoid repeated freeze/thaw cycles. Suggest spin the vial prior to opening. The antibody solution should be gently mixed before use. |
| Note | For laboratory research only, not for drug, diagnostic or other use. |
Bioinformation
| Database Links |
Swiss-port # O43805 Human Sjoegren syndrome nuclear autoantigen 1 |
|---|---|
| Gene Symbol | SSNA1 |
| Gene Full Name | Sjogren syndrome nuclear autoantigen 1 |
| Cellular Localization | Nucleus. Cytoplasm, cytoskeleton, microtubule organizing center, centrosome. [UniProt] |
| Calculated MW | 14 kDa |
Images (2) Click the Picture to Zoom In
