ARG55830
anti-STAT5B antibody
anti-STAT5B antibody for IHC-Formalin-fixed paraffin-embedded sections,Western blot and Human,Mouse,Rat
1
Overview
| Product Description | Rabbit Polyclonal antibody recognizes STAT5B |
|---|---|
| Tested Reactivity | Hu, Ms, Rat |
| Predict Reactivity | Bov, Pig |
| Tested Application | IHC-P, WB |
| Host | Rabbit |
| Clonality | Polyclonal |
| Isotype | IgG |
| Target Name | STAT5B |
| Antigen Species | Human |
| Immunogen | KLH-conjugated synthetic peptide corresponding to aa. 760-787 (C-terminus) of Human STAT5B. |
| Conjugation | Un-conjugated |
| Alternate Names | STAT5; Signal transducer and activator of transcription 5B |
Application Instructions
| Application Suggestion |
|
||||||
|---|---|---|---|---|---|---|---|
| Application Note | * The dilutions indicate recommended starting dilutions and the optimal dilutions or concentrations should be determined by the scientist. |
Properties
| Form | Liquid |
|---|---|
| Purification | Purification with Protein G. |
| Buffer | PBS and 0.09% (W/V) Sodium azide |
| Preservative | 0.09% (W/V) Sodium azide |
| Storage Instruction | For continuous use, store undiluted antibody at 2-8°C for up to a week. For long-term storage, aliquot and store at -20°C or below. Storage in frost free freezers is not recommended. Avoid repeated freeze/thaw cycles. Suggest spin the vial prior to opening. The antibody solution should be gently mixed before use. |
| Note | For laboratory research only, not for drug, diagnostic or other use. |
Bioinformation
| Database Links | |
|---|---|
| Gene Symbol | STAT5B |
| Gene Full Name | signal transducer and activator of transcription 5B |
| Background | The protein encoded by this gene is a member of the STAT family of transcription factors. In response to cytokines and growth factors, STAT family members are phosphorylated by the receptor associated kinases, and then form homo- or heterodimers that translocate to the cell nucleus where they act as transcription activators. This protein mediates the signal transduction triggered by various cell ligands, such as IL2, IL4, CSF1, and different growth hormones. It has been shown to be involved in diverse biological processes, such as TCR signaling, apoptosis, adult mammary gland development, and sexual dimorphism of liver gene expression. This gene was found to fuse to retinoic acid receptor-alpha (RARA) gene in a small subset of acute promyelocytic leukemias (APLL). The dysregulation of the signaling pathways mediated by this protein may be the cause of the APLL. [provided by RefSeq, Jul 2008] |
| Function | Carries out a dual function: signal transduction and activation of transcription. Mediates cellular responses to the cytokine KITLG/SCF and other growth factors. Binds to the GAS element and activates PRL-induced transcription. [UniProt] |
| Cellular Localization | Cytoplasm. Nucleus. Note=Translocated into the nucleus in response to phosphorylation. |
| Calculated MW | 90 kDa |
| PTM | Tyrosine phosphorylated in response to signaling via activated KIT, resulting in translocation to the nucleus. Tyrosine phosphorylated in response to signaling via activated FLT3; wild-type FLT3 results in much weaker phosphorylation than constitutively activated mutant FLT3. Alternatively, can be phosphorylated by JAK2. Phosphorylation at Tyr-699 by PTK6 or HCK leads to an increase of its transcriptional activity. Dephosphorylation on tyrosine residues by PTPN2 negatively regulates prolactin signaling pathway. |
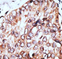
Images (2) Click the Picture to Zoom In
-
ARG55830 anti-STAT5B antibody WB image
Western blot: 15 µg of Jurkat cell lysate stained with ARG55830 anti-STAT5B antibody at 1:1000 dilution.
-
ARG55830 anti-STAT5B antibody IHC-P image
Immunohistochemistry: Formalin-fixed and paraffin-embedded Human breast carcinoma tissue stained with ARG55830 anti-STAT5B antibody.
