ARG45282
anti-STBD1 antibody
anti-STBD1 antibody for Flow cytometry,ICC/IF,IHC-Formalin-fixed paraffin-embedded sections,Western blot and Human
Overview
| Product Description | Polyclonal antibody recognizes STBD1 |
|---|---|
| Tested Reactivity | Hu |
| Tested Application | FACS, ICC/IF, IHC-P, WB |
| Host | Rabbit |
| Clonality | Polyclonal |
| Isotype | IgG |
| Target Name | STBD1 |
| Antigen Species | Human |
| Immunogen | Recombinant protein containing to human STBD1. |
| Conjugation | Un-conjugated |
| Alternate Names | STBD1; Starch Binding Domain 1; GENX-3414; Starch-Binding Domain-Containing Protein 1; Glycophagy Cargo Receptor STBD1; Genethonin 1; FLJ41801; Genethonin-1; GENEX3414 |
Application Instructions
| Application Suggestion |
|
||||||||||
|---|---|---|---|---|---|---|---|---|---|---|---|
| Application Note | * The dilutions indicate recommended starting dilutions and the optimal dilutions or concentrations should be determined by the scientist. | ||||||||||
| Observed Size | 39 kDa |
Properties
| Form | Liquid |
|---|---|
| Purification | Affinity purification with immunogen. |
| Buffer | 0.2% Na2HPO4, 0.9% NaCl and 4% Trehalose. |
| Stabilizer | 4% Trehalose |
| Concentration | 0.5 mg/ml |
| Storage Instruction | For continuous use, store undiluted antibody at 2-8°C for up to a week. For long-term storage, aliquot and store at -20°C or below. Storage in frost free freezers is not recommended. Avoid repeated freeze/thaw cycles. Suggest spin the vial prior to opening. The antibody solution should be gently mixed before use. |
| Note | For laboratory research only, not for drug, diagnostic or other use. |
Bioinformation
| Database Links |
Swiss-port # O95210 Human Starch-binding domain-containing protein 1 |
|---|---|
| Gene Symbol | STBD1 |
| Gene Full Name | Starch Binding Domain 1 |
| Background | Enables enzyme binding activity and glycogen binding activity. Involved in glycophagy and intracellular transport. Located in T-tubule; endoplasmic reticulum; and perinuclear region of cytoplasm. [provided by Alliance of Genome Resources, Nov 2024] |
| Function | Acts as a cargo receptor for glycogen. Delivers its cargo to an autophagic pathway called glycophagy, resulting in the transport of glycogen to lysosomes. [UniProt] |
| Cellular Localization | Cell membrane; Endoplasmic reticulum; Membrane. [UniProt] |
| Calculated MW | 39 kDa |
| PTM | Phosphoprotein; Ubl conjugation. [UniProt] |
Images (4) Click the Picture to Zoom In
-
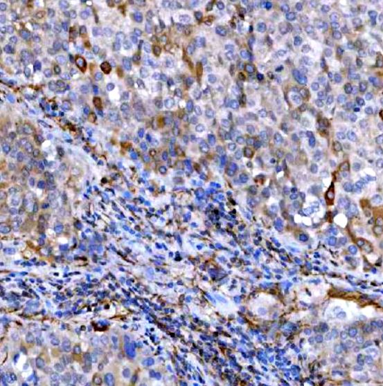
ARG45282 anti-STBD1 antibody IHC-P image
Immunohistochemistry: Human liver cancer stained with ARG45282 anti-STBD1 antibody at 2 μg/ml dilution.
-
ARG45282 anti-STBD1 antibody ICC/IF image
Immunofluorescence: Hela stained with ARG45282 anti-STBD1 antibody at 5 ug/ml dilution.
-
ARG45282 anti-STBD1 antibody WB image
Western blot: Hela and A549 stained with ARG45282 anti-STBD1 antibody at 0.5 μg/ml dilution.
-
ARG45282 anti-STBD1 antibody FACS image
Flow Cytometry: PC-3 stained with ARG45282 anti-STBD1 antibody at 1 µg/10^6 cells dilution.
