ARG46532
anti-STEAP1 antibody
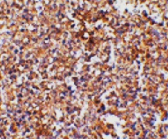
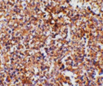
anti-STEAP1 antibody for Western blot,IHC-Formalin-fixed paraffin-embedded sections and Human,Mouse,Rat
Overview
| Product Description | Rabbit Polyclonal antibody recognizes STEAP1 |
|---|---|
| Tested Reactivity | Hu, Ms, Rat |
| Tested Application | IHC-P, WB |
| Host | Rabbit |
| Clonality | Polyclonal |
| Isotype | IgG |
| Target Name | STEAP1 |
| Antigen Species | Human |
| Immunogen | A 16 amino acid synthetic peptide within the last 50 amino acids of human STEAP1. |
| Conjugation | Un-conjugated |
| Alternate Names | STEAP1; STEAP Family Member 1; PRSS24; STEAP; Six Transmembrane Epithelial Antigen Of The Prostate 1; Six-Transmembrane Epithelial Antigen Of Prostate 1; STEAP1 Metalloreductase; STEAP1 Protein; Six Transmembrane Epithelial Antigen Of The Prostate; Metalloreductase STEAP1 |
Application Instructions
| Application Suggestion |
|
||||||
|---|---|---|---|---|---|---|---|
| Application Note | * The dilutions indicate recommended starting dilutions and the optimal dilutions or concentrations should be determined by the scientist. |
Properties
| Purification | Affinity chromatography purified |
|---|---|
| Buffer | PBS and 0.02% Sodium azide. |
| Preservative | 0.02% Sodium azide |
| Concentration | 1 mg/ml |
| Storage Instruction | For continuous use, store undiluted antibody at 2-8°C for up to a week. For long-term storage, aliquot and store at -20°C. Storage in frost free freezers is not recommended. Avoid repeated freeze/thaw cycles. Suggest spin the vial prior to opening. The antibody solution should be gently mixed before use. |
| Note | For laboratory research only, not for drug, diagnostic or other use. |
Bioinformation
| Database Links | |
|---|---|
| Gene Symbol | STEAP1 |
| Gene Full Name | STEAP Family Member 1 |
| Background | This gene is predominantly expressed in prostate tissue, and is found to be upregulated in multiple cancer cell lines. The gene product is predicted to be a six-transmembrane protein, and was shown to be a cell surface antigen significantly expressed at cell-cell junctions. [provided by RefSeq, Jul 2008] |
| Function | Does not function as a metalloreductase due to the absence of binding sites for the electron-donating substrate NADPH. Promotes Fe3+ reduction when fused to the NADPH-binding domain of STEAP4. [Uniprot] |
| Cellular Localization | Cell membrane, Endosome, Membrane. [Uniprot] |
Images (2) Click the Picture to Zoom In
