ARG56839
anti-STIM1 antibody
anti-STIM1 antibody for IHC-Formalin-fixed paraffin-embedded sections,Western blot and Human,Mouse
Overview
| Product Description | Rabbit Polyclonal antibody recognizes STIM1 |
|---|---|
| Tested Reactivity | Hu, Ms |
| Predict Reactivity | Rat |
| Tested Application | IHC-P, WB |
| Specificity | At least two isoforms of STIM1 are known to exist. This antibody will detect only the larger form. This STIM1 antibody is predicted to have no cross-reactivity to STIM2. |
| Host | Rabbit |
| Clonality | Polyclonal |
| Isotype | IgG |
| Target Name | STIM1 |
| Antigen Species | Human |
| Immunogen | Synthetic peptide (24 aa) within the last 50 aa of Human STIM1. |
| Conjugation | Un-conjugated |
| Alternate Names | GOK; D11S4896E; Stromal interaction molecule 1; STRMK; TAM; TAM1; IMD10 |
Application Instructions
| Application Suggestion |
|
||||||
|---|---|---|---|---|---|---|---|
| Application Note | * The dilutions indicate recommended starting dilutions and the optimal dilutions or concentrations should be determined by the scientist. | ||||||
| Positive Control | Mouse thymus tissue lysate |
Properties
| Form | Liquid |
|---|---|
| Purification | Affinity purification with immunogen. |
| Buffer | PBS and 0.02% Sodium azide. |
| Preservative | 0.02% Sodium azide |
| Concentration | 1 mg/ml |
| Storage Instruction | For continuous use, store undiluted antibody at 2-8°C for up to a week. For long-term storage, aliquot and store at -20°C or below. Storage in frost free freezers is not recommended. Avoid repeated freeze/thaw cycles. Suggest spin the vial prior to opening. The antibody solution should be gently mixed before use. |
| Note | For laboratory research only, not for drug, diagnostic or other use. |
Bioinformation
| Database Links | |
|---|---|
| Gene Symbol | STIM1 |
| Gene Full Name | stromal interaction molecule 1 |
| Background | This gene encodes a type 1 transmembrane protein that mediates Ca2+ influx after depletion of intracellular Ca2+ stores by gating of store-operated Ca2+ influx channels (SOCs). It is one of several genes located in the imprinted gene domain of 11p15.5, an important tumor-suppressor gene region. Alterations in this region have been associated with the Beckwith-Wiedemann syndrome, Wilms tumor, rhabdomyosarcoma, adrenocrotical carcinoma, and lung, ovarian, and breast cancer. This gene may play a role in malignancies and disease that involve this region, as well as early hematopoiesis, by mediating attachment to stromal cells. Mutations in this gene are associated with fatal classic Kaposi sarcoma, immunodeficiency due to defects in store-operated calcium entry (SOCE) in fibroblasts, ectodermal dysplasia and tubular aggregate myopathy. This gene is oriented in a head-to-tail configuration with the ribonucleotide reductase 1 gene (RRM1), with the 3' end of this gene situated 1.6 kb from the 5' end of the RRM1 gene. Alternative splicing of this gene results in multiple transcript variants. [provided by RefSeq, May 2013] |
| Function | Plays a role in mediating store-operated Ca(2+) entry (SOCE), a Ca(2+) influx following depletion of intracellular Ca(2+) stores. Acts as Ca(2+) sensor in the endoplasmic reticulum via its EF-hand domain. Upon Ca(2+) depletion, translocates from the endoplasmic reticulum to the plasma membrane where it activates the Ca(2+) release-activated Ca(2+) (CRAC) channel subunit, TMEM142A/ORAI1. Involved in enamel formation. [UniProt] |
| Calculated MW | 77 kDa |
| PTM | Glycosylation is required for cell surface expression. Phosphorylated predominantly on Ser residues. |
Images (3) Click the Picture to Zoom In
-
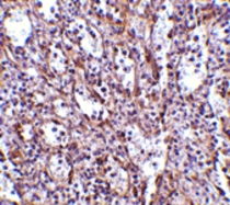
ARG56839 anti-STIM1 antibody IHC-P image
Immunohistochemistry: Human spleen tissue stained with ARG56839 anti-STIM1 antibody at 2.5 µg/ml dilution.
-
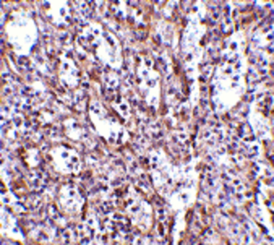
ARG56839 anti-STIM1 antibody WB image
Western blot: Mouse thymus tissue lysate stained with ARG56839 anti-STIM1 antibody at (A) 1 and (B) 2 µg/ml dilution.
-
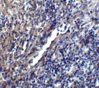
ARG56839 anti-STIM1 antibody IHC-P image
Immunohistochemistry: Mouse spleen tissue stained with ARG56839 anti-STIM1 antibody at 5 µg/ml dilution.
