ARG66447
anti-STK19 antibody
anti-STK19 antibody for ICC/IF,Western blot and Human,Mouse,Rat
Overview
| Product Description | Rabbit Polyclonal antibody recognizes STK19 |
|---|---|
| Tested Reactivity | Hu, Ms, Rat |
| Tested Application | ICC/IF, WB |
| Host | Rabbit |
| Clonality | Polyclonal |
| Isotype | IgG |
| Target Name | STK19 |
| Antigen Species | Human |
| Immunogen | Recombinant full length protein of Human STK19. |
| Conjugation | Un-conjugated |
| Alternate Names | RP1; Protein RP1; D6S60; EC 2.7.11.1; D6S60E; Serine/threonine-protein kinase 19; HLA-RP1; G11; Protein G11 |
Application Instructions
| Application Suggestion |
|
||||||
|---|---|---|---|---|---|---|---|
| Application Note | * The dilutions indicate recommended starting dilutions and the optimal dilutions or concentrations should be determined by the scientist. | ||||||
| Observed Size | 29, 41 kDa |
Properties
| Form | Liquid |
|---|---|
| Purification | Affinity purification with immunogen. |
| Buffer | 0.42% Potassium phosphate (pH 7.3), 0.87% NaCl, 0.01% Sodium azide and 30% Glycerol. |
| Preservative | 0.01% Sodium azide |
| Stabilizer | 30% Glycerol |
| Storage Instruction | For continuous use, store undiluted antibody at 2-8°C for up to a week. For long-term storage, aliquot and store at -20°C. Storage in frost free freezers is not recommended. Avoid repeated freeze/thaw cycles. Suggest spin the vial prior to opening. The antibody solution should be gently mixed before use. |
| Note | For laboratory research only, not for drug, diagnostic or other use. |
Bioinformation
| Database Links |
Swiss-port # P49842 Human Serine/threonine-protein kinase 19 Swiss-port # Q9JHN8 Mouse Serine/threonine-protein kinase 19 |
|---|---|
| Gene Symbol | STK19 |
| Gene Full Name | serine/threonine kinase 19 |
| Background | This gene encodes a serine/threonine kinase which localizes predominantly to the nucleus. Its specific function is unknown; it is possible that phosphorylation of this protein is involved in transcriptional regulation. This gene localizes to the major histocompatibility complex (MHC) class III region on chromosome 6 and expresses two transcript variants. [provided by RefSeq, Jul 2008] |
| Function | Seems to be a protein kinase. In vitro it can phosphorylate casein-alpha on serine and threonine residues and histones on serine residues. [UniProt] |
| Cellular Localization | Nucleus. [UniProt] |
| Calculated MW | 41 kDa |
Images (3) Click the Picture to Zoom In
-
ARG66447 anti-STK19 antibody ICC/IF image
Immunofluorescence: Formalin-fixed A549 cells were permeabilized with 0.1% Triton X-100 in TBS for 5-10 minutes and blocked with 3% BSA-PBS for 30 minutes at room temperature. Cells were stained with ARG66447 anti-STK19 antibody (red) in 3% BSA-PBS and incubated overnight at 4°C in a hidified chamber.
-
ARG66447 anti-STK19 antibody WB image
Western blot: Jurkat, HepG2, Mouse liver, Rat lung and Rat brain whole cell lysates stained with ARG66447 anti-STK19 antibody.
-
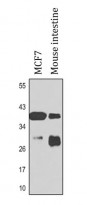
ARG66447 anti-STK19 antibody WB image
Western blot: MCF7 and Mouse intestine lysates stained with ARG66447 anti-STK19 antibody.
