ARG55415
anti-STK39 / SPAK antibody
anti-STK39 / SPAK antibody for IHC-Formalin-fixed paraffin-embedded sections,Western blot and Human,Rat
Metabolism antibody; Signaling Transduction antibody
Overview
| Product Description | Rabbit Polyclonal antibody recognizes STK39 / SPAK |
|---|---|
| Tested Reactivity | Hu, Rat |
| Predict Reactivity | Ms |
| Tested Application | IHC-P, WB |
| Host | Rabbit |
| Clonality | Polyclonal |
| Isotype | IgG |
| Target Name | STK39 / SPAK |
| Antigen Species | Human |
| Immunogen | Synthetic peptide (18 aa) within aa. 360-410 of Human STK39. |
| Conjugation | Un-conjugated |
| Alternate Names | SPAK; STE20/SPS1-related proline-alanine-rich protein kinase; Ste-20-related kinase; Serine/threonine-protein kinase 39; EC 2.7.11.1; PASK; DCHT |
Application Instructions
| Application Suggestion |
|
||||||
|---|---|---|---|---|---|---|---|
| Application Note | * The dilutions indicate recommended starting dilutions and the optimal dilutions or concentrations should be determined by the scientist. | ||||||
| Positive Control | Rat Brain Tissue Lysate |
Properties
| Form | Liquid |
|---|---|
| Purification | Affinity purification with immunogen. |
| Buffer | PBS and 0.02% Sodium azide |
| Preservative | 0.02% Sodium azide |
| Concentration | 1 mg/ml |
| Storage Instruction | For continuous use, store undiluted antibody at 2-8°C for up to a week. For long-term storage, aliquot and store at -20°C or below. Storage in frost free freezers is not recommended. Avoid repeated freeze/thaw cycles. Suggest spin the vial prior to opening. The antibody solution should be gently mixed before use. |
| Note | For laboratory research only, not for drug, diagnostic or other use. |
Bioinformation
| Database Links |
Swiss-port # O88506 Rat STE20/SPS1-related proline-alanine-rich protein kinase Swiss-port # Q9UEW8 Human STE20/SPS1-related proline-alanine-rich protein kinase |
|---|---|
| Gene Symbol | STK39 |
| Gene Full Name | serine threonine kinase 39 |
| Background | This gene encodes a serine/threonine kinase that is thought to function in the cellular stress response pathway. The kinase is activated in response to hypotonic stress, leading to phosphorylation of several cation-chloride-coupled cotransporters. The catalytically active kinase specifically activates the p38 MAP kinase pathway, and its interaction with p38 decreases upon cellular stress, suggesting that this kinase may serve as an intermediate in the response to cellular stress. [provided by RefSeq, Jul 2008] |
| Function | May act as a mediator of stress-activated signals. Mediates the inhibiton of SLC4A4, SLC26A6 as well as CFTR activities by the WNK scaffolds, probably through phosphorylation. [UniProt] |
| Research Area | Metabolism antibody; Signaling Transduction antibody |
| Calculated MW | 59 kDa |
| PTM | Phosphorylated at Ser-309 by PRKCQ. |
Images (2) Click the Picture to Zoom In
-
ARG55415 anti-STK39 / SPAK antibody WB image
Western blot: Rat brain tissue lysate stained with ARG55415 anti-STK39 / SPAK antibody at (A) 1 and (B) 2 µg/ml dilution.
-
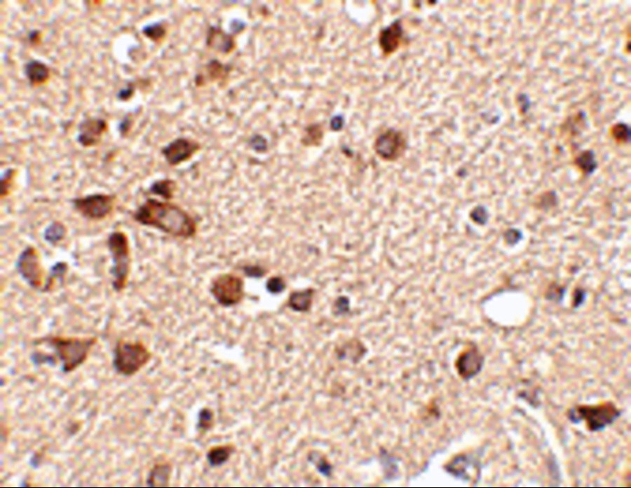
ARG55415 anti-STK39 / SPAK antibody IHC image
Immunohistochemistry: Human brain tissue stained with ARG55415 anti-STK39 / SPAK antibody at 2.5 µg/ml dilution.
