ARG54666
anti-STOX2 antibody
anti-STOX2 antibody for ELISA,ICC/IF,IHC-Formalin-fixed paraffin-embedded sections,Western blot and Human,Mouse,Rat
Developmental Biology antibody
Overview
| Product Description | Rabbit Polyclonal antibody recognizes STOX2 |
|---|---|
| Tested Reactivity | Hu, Ms, Rat |
| Tested Application | ELISA, ICC/IF, IHC-P, WB |
| Host | Rabbit |
| Clonality | Polyclonal |
| Isotype | IgG |
| Target Name | STOX2 |
| Immunogen | Synthetic peptide (19 aa) within the last 50 aa of Human STOX2 protein. |
| Conjugation | Un-conjugated |
| Alternate Names | Storkhead-box protein 2 |
Application Instructions
| Application Suggestion |
|
||||||||||
|---|---|---|---|---|---|---|---|---|---|---|---|
| Application Note | * The dilutions indicate recommended starting dilutions and the optimal dilutions or concentrations should be determined by the scientist. | ||||||||||
| Positive Control | Human Kidney Tissue Lysate |
Properties
| Form | Liquid |
|---|---|
| Purification | Affinity purification with immunogen. |
| Buffer | PBS and 0.02% Sodium azide |
| Preservative | 0.02% Sodium azide |
| Concentration | 1 mg/ml |
| Storage Instruction | For continuous use, store undiluted antibody at 2-8°C for up to a week. For long-term storage, aliquot and store at -20°C or below. Storage in frost free freezers is not recommended. Avoid repeated freeze/thaw cycles. Suggest spin the vial prior to opening. The antibody solution should be gently mixed before use. |
| Note | For laboratory research only, not for drug, diagnostic or other use. |
Bioinformation
| Database Links | |
|---|---|
| Gene Symbol | STOX2 |
| Gene Full Name | storkhead box 2 |
| Background | STOX2 Antibody: The Storkhead box protein 2 (STOX2) is the only known paralog to STOX1, a winged-helix domain containing transcription factor believed to play a role in the differentiation of stem cells. STOX2 has been suggested to be part of a molecular profile unique to stem cells, and its mRNA may be part of a transcriptional profile observed with increased inflammatory response to air pollutants. Decreased STOX2 expression levels in decidua are also correlated with preeclampsia, suggesting STOX2 may play a role in the pathophysiology of preeclampsia. | |
| Research Area | Developmental Biology antibody |
| Calculated MW | 103 kDa |
Images (3) Click the Picture to Zoom In
-
ARG54666 anti-STOX2 antibody ICC/IF image
Immunofluorescence: human kidney tissue stained with ARG54666 anti-STOX2 antibody at 20 μg/ml.
-
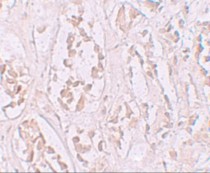
ARG54666 anti-STOX2 antibody IHC image
Immunohistochemistry: human kidney tissue stained with ARG54666 anti-STOX2 antibody at 2.5 μg/ml.
-
ARG54666 anti-STOX2 antibody WB image
Western blot: human kidney tissue lysate stained with ARG54666 anti-STOX2 antibody at 1 μg/ml in (A) the absence and (B) the presence of blocking peptide.
