ARG59369
anti-STRAP / Unrip antibody
anti-STRAP / Unrip antibody for Flow cytometry,IHC-Formalin-fixed paraffin-embedded sections and Human
Overview
| Product Description | Rabbit Polyclonal antibody recognizes STRAP / Unrip |
|---|---|
| Tested Reactivity | Hu |
| Predict Reactivity | Ms, Rat, Bov, Chk |
| Tested Application | FACS, IHC-P |
| Host | Rabbit |
| Clonality | Polyclonal |
| Isotype | IgG |
| Target Name | STRAP / Unrip |
| Antigen Species | Human |
| Immunogen | KLH-conjugated synthetic peptide corresponding to aa. 242-269 of Human STRAP / Unrip. |
| Conjugation | Un-conjugated |
| Alternate Names | WD-40 repeat protein PT-WD; UNRIP; MAWD; UNR-interacting protein; Serine-threonine kinase receptor-associated protein; PT-WD; MAP activator with WD repeats |
Application Instructions
| Application Suggestion |
|
||||||
|---|---|---|---|---|---|---|---|
| Application Note | * The dilutions indicate recommended starting dilutions and the optimal dilutions or concentrations should be determined by the scientist. |
Properties
| Form | Liquid |
|---|---|
| Purification | Saturated Ammonium Sulfate (SAS) precipitation followed by dialysis against PBS. |
| Buffer | PBS and 0.09% (W/V) Sodium azide. |
| Preservative | 0.09% (W/V) Sodium azide. |
| Storage Instruction | For continuous use, store undiluted antibody at 2-8°C for up to a week. For long-term storage, aliquot and store at -20°C or below. Storage in frost free freezers is not recommended. Avoid repeated freeze/thaw cycles. Suggest spin the vial prior to opening. The antibody solution should be gently mixed before use. |
| Note | For laboratory research only, not for drug, diagnostic or other use. |
Bioinformation
| Database Links |
Swiss-port # Q9Y3F4 Human Serine-threonine kinase receptor-associated protein |
|---|---|
| Gene Symbol | STRAP |
| Gene Full Name | serine/threonine kinase receptor associated protein |
| Function | The SMN complex plays a catalyst role in the assembly of small nuclear ribonucleoproteins (snRNPs), the building blocks of the spliceosome. Thereby, plays an important role in the splicing of cellular pre-mRNAs. Most spliceosomal snRNPs contain a common set of Sm proteins SNRPB, SNRPD1, SNRPD2, SNRPD3, SNRPE, SNRPF and SNRPG that assemble in a heptameric protein ring on the Sm site of the small nuclear RNA to form the core snRNP. In the cytosol, the Sm proteins SNRPD1, SNRPD2, SNRPE, SNRPF and SNRPG are trapped in an inactive 6S pICln-Sm complex by the chaperone CLNS1A that controls the assembly of the core snRNP. Dissociation by the SMN complex of CLNS1A from the trapped Sm proteins and their transfer to an SMN-Sm complex triggers the assembly of core snRNPs and their transport to the nucleus. STRAP plays a role in the cellular distribution of the SMN complex. Negatively regulates TGF-beta signaling but positively regulates the PDPK1 kinase activity by enhancing its autophosphorylation and by significantly reducing the association of PDPK1 with 14-3-3 protein. [UniProt] |
| Cellular Localization | Cytoplasm. Nucleus. Note=Localized predominantly in the cytoplasm but also found in the nucleus. [UniProt] |
| Calculated MW | 38 kDa |
Images (2) Click the Picture to Zoom In
-
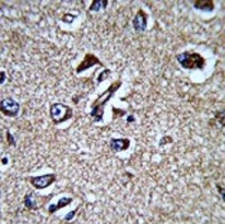
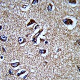
ARG59369 anti-STRAP / Unrip antibody IHC-P image
Immunohistochemistry: Formalin-fixed and paraffin-embedded Human brain tissue stained with ARG59369 anti-STRAP / Unrip antibody.
-
ARG59369 anti-STRAP / Unrip antibody FACS image
Flow Cytometry: HeLa cells stained with ARG59369 anti-STRAP / Unrip antibody (bottom histogram) or without primary antibody as control (top histogram), followed by incubation with FITC labelled secondary antibody.
