ARG44945
anti-STX17 / Syntaxin 17 antibody
anti-STX17 / Syntaxin 17 antibody for IHC-Formalin-fixed paraffin-embedded sections,Western blot and Human
Overview
| Product Description | Mouse Monoclonal antibody recognizes STX17 / Syntaxin 17 |
|---|---|
| Tested Reactivity | Hu |
| Tested Application | IHC-P, WB |
| Host | Mouse |
| Clonality | Monoclonal |
| Isotype | IgG1 |
| Target Name | STX17 / Syntaxin 17 |
| Antigen Species | Human |
| Epitope | RRLEPAIQKF IKIVIPTDLE RLRKHQINIE KYQRCRIWDK LHEEHINAGR TVQQLRSNIR EIEKLCLKVR KDDLVLLKRM IDPVKEEASA ATAEFLQLHL ESVEELKKQF NDEETLLQPP LTRSMTVGGA FHTTEAEASS QSLTQIYALP EIPQDQNAAE SWETLEADLI ELSQLVTDFS LLVNSQQEKI DSIADHVNSA AVNVEEGTKN |
| Conjugation | Un-conjugated |
| Alternate Names | STX17; Syntaxin 17; Syntaxin-17; FLJ20651 |
Application Instructions
| Application Suggestion |
|
||||||
|---|---|---|---|---|---|---|---|
| Application Note | * The dilutions indicate recommended starting dilutions and the optimal dilutions or concentrations should be determined by the scientist. |
Properties
| Form | Liquid |
|---|---|
| Purification | Protein A purification |
| Buffer | PBS with 0.09% sodium azide |
| Preservative | 0.09% sodium azide |
| Storage Instruction | For continuous use, store undiluted antibody at 2-8°C for up to a week. For long-term storage, aliquot and store at -20°C or below. Storage in frost free freezers is not recommended. Avoid repeated freeze/thaw cycles. Suggest spin the vial prior to opening. The antibody solution should be gently mixed before use. |
| Note | For laboratory research only, not for drug, diagnostic or other use. |
Bioinformation
| Database Links | |
|---|---|
| Gene Symbol | STX17 |
| Gene Full Name | Syntaxin 17 |
| Background | Enables SNAP receptor activity; SNARE binding activity; and protein phosphatase binding activity. Involved in several processes, including autophagosome membrane docking; endoplasmic reticulum to Golgi vesicle-mediated transport; and endoplasmic reticulum-Golgi intermediate compartment organization. Acts upstream of or within protein localization to phagophore assembly site. Located in several cellular components, including autophagosome membrane; endoplasmic reticulum-Golgi intermediate compartment; and mitochondria-associated endoplasmic reticulum membrane. Part of SNARE complex. Colocalizes with HOPS complex. [provided by Alliance of Genome Resources, Apr 2022] |
| Function | May also play a role in the early secretory pathway where it may maintain the architecture of the endoplasmic reticulum-Golgi intermediate compartment/ERGIC and Golgi and/or regulate transport between the endoplasmic reticulum, the ERGIC and the Golgi. [Uniprot] |
| Cellular Localization | Cytoplasm, Cytoplasmic vesicle, Endoplasmic reticulum, Membrane, Mitochondrion. [Uniprot] |
| PTM | Acetylation, Phosphoprotein. [Uniprot] |
Images (2) Click the Picture to Zoom In
-
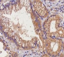
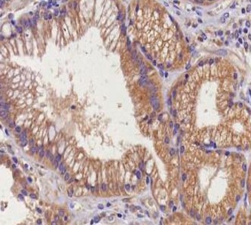
ARG44945 anti-STX17 / Syntaxin 17 antibody IHC-P image
Immunohistochemistry: Human gallbladder stained with ARG44945 anti-STX17 / Syntaxin 17 antibody at 2 µg/mL dilution.
-
ARG44945 anti-STX17 / Syntaxin 17 antibody WB image
Western blot: SH-SY5Y stained with ARG44945 anti-STX17 / Syntaxin 17 antibody at 1 µg/mL dilution.
