ARG59273
anti-SUB1 / PC4 antibody
anti-SUB1 / PC4 antibody for Flow cytometry,IHC-Formalin-fixed paraffin-embedded sections and Human,Mouse,Rat
Overview
| Product Description | Rabbit Polyclonal antibody recognizes SUB1 / PC4 |
|---|---|
| Tested Reactivity | Hu, Ms, Rat |
| Predict Reactivity | Hm |
| Tested Application | FACS, IHC-P |
| Host | Rabbit |
| Clonality | Polyclonal |
| Isotype | IgG |
| Target Name | SUB1 / PC4 |
| Antigen Species | Human |
| Immunogen | Synthetic peptide corresponding to aa. 96-127 of Human SUB1 / PC4. (MKPGRKGISLNPEQWSQLKEQISDIDDAVRKL) |
| Conjugation | Un-conjugated |
| Alternate Names | Positive cofactor 4; Activated RNA polymerase II transcriptional coactivator p15; PC4; p14; P15; SUB1 homolog |
Application Instructions
| Application Suggestion |
|
||||||
|---|---|---|---|---|---|---|---|
| Application Note | IHC-P: Antigen Retrieval: By heat mediation. * The dilutions indicate recommended starting dilutions and the optimal dilutions or concentrations should be determined by the scientist. |
Properties
| Form | Liquid |
|---|---|
| Purification | Affinity purification with immunogen. |
| Buffer | 0.9% NaCl, 0.2% Na2HPO4, 0.05% Sodium azide and 5% BSA. |
| Preservative | 0.05% Sodium azide |
| Stabilizer | 5% BSA |
| Concentration | 0.5 mg/ml |
| Storage Instruction | For continuous use, store undiluted antibody at 2-8°C for up to a week. For long-term storage, aliquot and store at -20°C or below. Storage in frost free freezers is not recommended. Avoid repeated freeze/thaw cycles. Suggest spin the vial prior to opening. The antibody solution should be gently mixed before use. |
| Note | For laboratory research only, not for drug, diagnostic or other use. |
Bioinformation
| Database Links | |
|---|---|
| Gene Symbol | SUB1 |
| Gene Full Name | SUB1 homolog, transcriptional regulator |
| Function | General coactivator that functions cooperatively with TAFs and mediates functional interactions between upstream activators and the general transcriptional machinery. May be involved in stabilizing the multiprotein transcription complex. Binds single-stranded DNA. Also binds, in vitro, non-specifically to double-stranded DNA (ds DNA). [UniProt] |
| Cellular Localization | Nucleus. [UniProt] |
| Calculated MW | 14 kDa |
| PTM | Activity is controlled by protein kinases that target the regulatory region. Phosphorylation inactivates both ds DNA-binding and cofactor function, but does not affect binding to ssDNA. Seems to be phosphorylated in vivo by CK2 in at least 7 sites in the N-terminal Ser-rich region. [UniProt] |
Images (5) Click the Picture to Zoom In
-
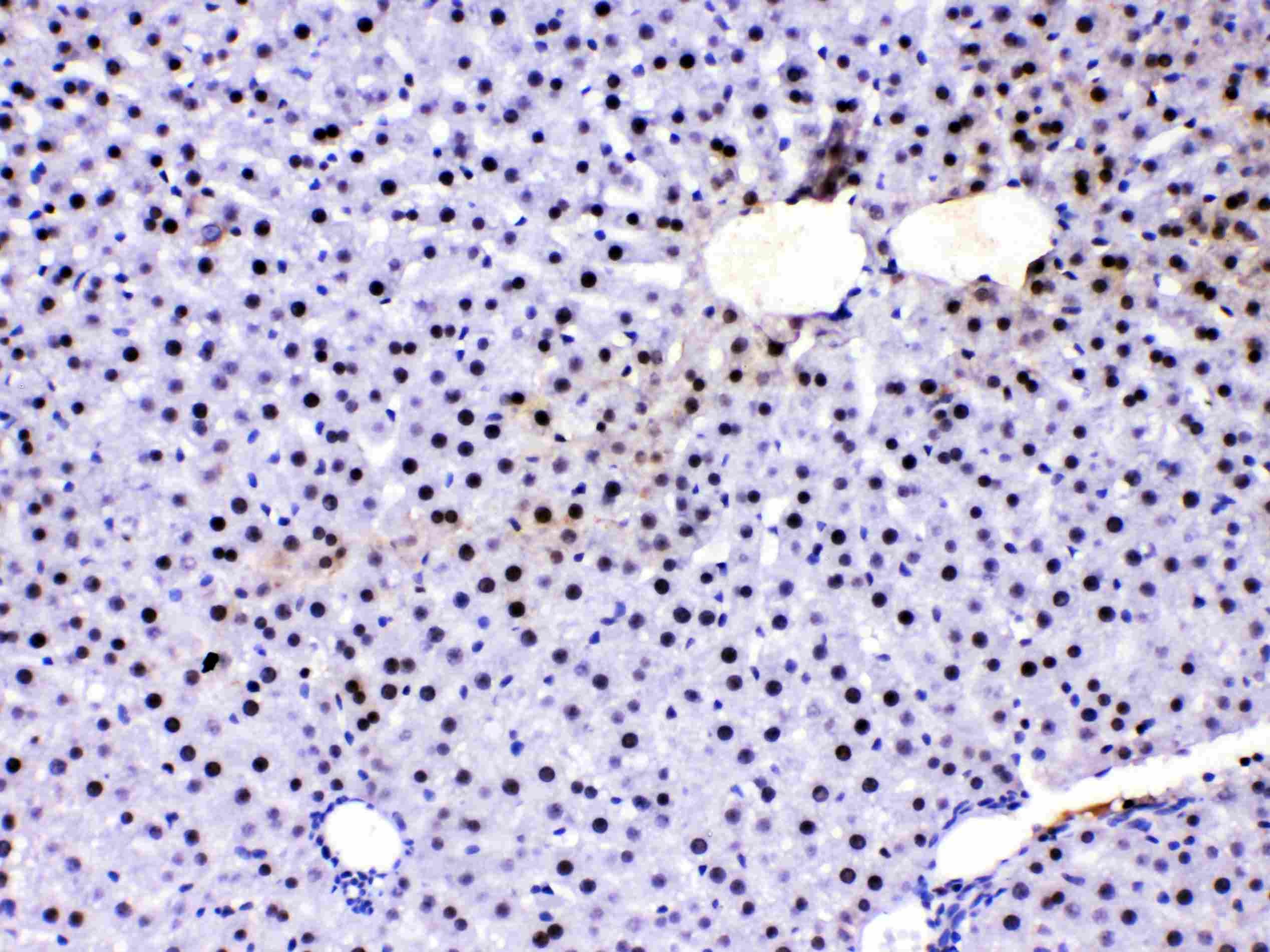
ARG59273 anti-SUB1 / PC4 antibody IHC-P image
Immunohistochemistry: Paraffin-embedded Mouse liver stained with ARG59273 anti-SUB1 / PC4 antibody at 1 µg/ml dilution.
-
ARG59273 anti-SUB1 / PC4 antibody FACS image
Flow Cytometry: A431 cells were blocked with 10% normal goat serum and then stained with ARG59273 anti-SUB1 / PC4 antibody (blue) at 1 µg/10^6 cells for 30 min at 20°C, followed by incubation with DyLight®488 labelled secondary antibody. Isotype control antibody (green) was rabbit IgG (1 µg/10^6 cells) used under the same conditions. Unlabelled sample (red) was also used as a control.
-
ARG59273 anti-SUB1 / PC4 antibody IHC-P image
Immunohistochemistry: Paraffin-embedded Rat liver stained with ARG59273 anti-SUB1 / PC4 antibody at 1 µg/ml dilution.
-
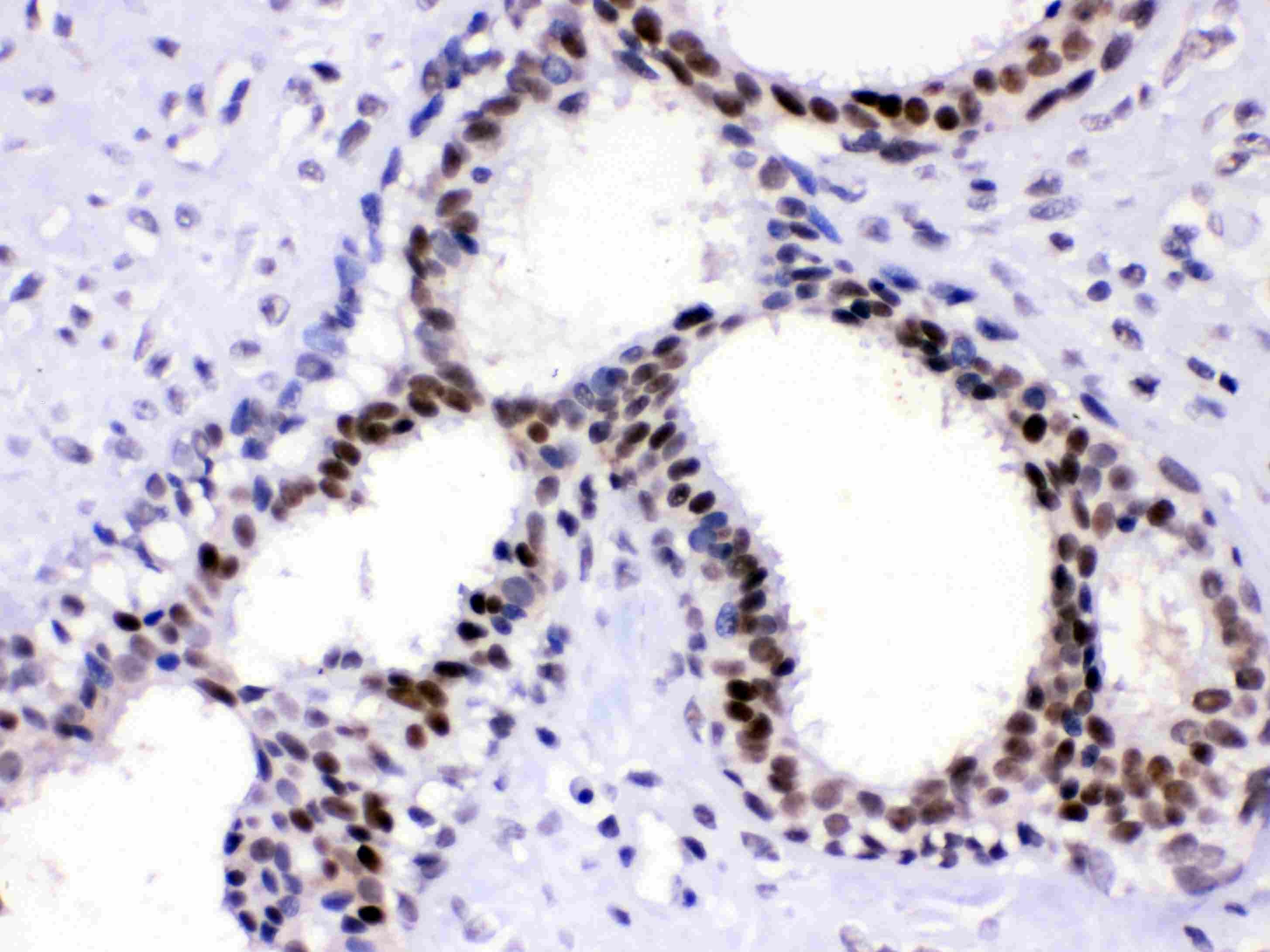
ARG59273 anti-SUB1 / PC4 antibody IHC-P image
Immunohistochemistry: Paraffin-embedded Human mammary cancer stained with ARG59273 anti-SUB1 / PC4 antibody at 1 µg/ml dilution.
-
ARG59273 anti-SUB1 / PC4 antibody FACS image
Flow Cytometry: U87 cells were blocked with 10% normal goat serum and then stained with ARG59273 anti-SUB1 / PC4 antibody (blue) at 1 µg/10^6 cells for 30 min at 20°C, followed by incubation with DyLight®488 labelled secondary antibody. Isotype control antibody (green) was rabbit IgG (1 µg/10^6 cells) used under the same conditions. Unlabelled sample (red) was also used as a control.
