ARG45956
anti-SUCO antibody
anti-SUCO antibody for Western blot,IHC-Formalin-fixed paraffin-embedded sections,Flow cytometry and Human,Mouse,Rat
Overview
| Product Description | Rabbit Polyclonal antibody recognizes SUCO |
|---|---|
| Tested Reactivity | Hu, Ms, Rat |
| Tested Application | FACS, IHC-P, WB |
| Host | Rabbit |
| Clonality | Polyclonal |
| Isotype | IgG |
| Target Name | SUCO |
| Antigen Species | Human |
| Immunogen | Recombinant protein containing to human SUCO. |
| Conjugation | Un-conjugated |
| Alternate Names | SUN Domain Containing Ossification Factor; SUCO; C1orf9; CH1; OPT; SLP1; SUN domain-containing ossification factor; Membrane protein CH1; Protein osteopotentia homolog; SUN-like protein 1 |
Application Instructions
| Application Suggestion |
|
||||||||
|---|---|---|---|---|---|---|---|---|---|
| Application Note | * The dilutions indicate recommended starting dilutions and the optimal dilutions or concentrations should be determined by the scientist. | ||||||||
| Observed Size | 250 kDa |
Properties
| Form | Liquid |
|---|---|
| Purification | Affinity chromatography purified |
| Buffer | 0.2% Na2HPO4, 0.9% NaCl and 4% Trehalose. |
| Stabilizer | 4% Trehalose |
| Concentration | 0.5 mg/ml |
| Storage Instruction | For continuous use, store undiluted antibody at 2-8°C for up to a week. For long-term storage, aliquot and store at -22°C or below. Storage in frost free freezers is not recommended. Avoid repeated freeze/thaw cycles. Suggest spin the vial prior to opening. The antibody solution should be gently mixed before use. |
| Note | For laboratory research only, not for drug, diagnostic or other use. |
Bioinformation
| Database Links | |
|---|---|
| Gene Symbol | SUCO |
| Gene Full Name | SUN Domain Containing Ossification Factor |
| Background | Predicted to be involved in positive regulation of collagen biosynthetic process; positive regulation of osteoblast differentiation; and regulation of bone remodeling. Predicted to be located in rough endoplasmic reticulum. Predicted to be active in cytoplasm and membrane. [provided by Alliance of Genome Resources, May 2025] |
| Function | Required for bone modeling during late embryogenesis. Regulates type I collagen synthesis in osteoblasts during their postnatal maturation (By similarity). [UniProt] |
| Cellular Localization | Endoplasmic reticulum; Membrane. [UniProt] |
| Calculated MW | 139 kDa |
| PTM | Phosphoprotein; Glycoprotein. [UniProt]. [UniProt] |
Images (5) Click the Picture to Zoom In
-
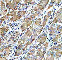
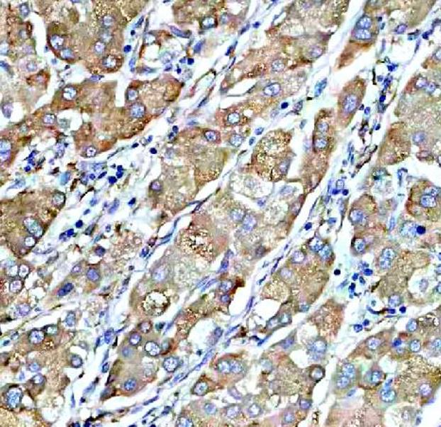
ARG45956 anti-SUCO antibody IHC-P image
Immunohistochemistry: Human liver cancer stained with ARG45956 anti-SUCO antibody at 2 μg/ml dilution.
-
ARG45956 anti-SUCO antibody WB image
Western blot: PC-3 stained with ARG45956 anti-SUCO antibody at 0.5 μg/ml dilution.
-
ARG45956 anti-SUCO antibody FACS image
Flow Cytometry: PC-3 stained with ARG45956 anti-SUCO antibody at 1 µg/10^6 cells dilution.
-
ARG45956 anti-SUCO antibody WB image
Western blot: Rat testis stained with ARG45956 anti-SUCO antibody at 0.5 μg/ml dilution.
-
ARG45956 anti-SUCO antibody WB image
Western blot: Mouse testis stained with ARG45956 anti-SUCO antibody at 0.5 μg/ml dilution.
