ARG44746
anti-SULT2B1 antibody
anti-SULT2B1 antibody for IHC-Formalin-fixed paraffin-embedded sections,Immunoprecipitation,Western blot and Human
Overview
| Product Description | Mouse Monoclonal antibody recognizes SULT2B1 |
|---|---|
| Tested Reactivity | Hu |
| Tested Application | IHC-P, IP, WB |
| Host | Mouse |
| Clonality | Monoclonal |
| Isotype | IgG1 |
| Target Name | SULT2B1 |
| Antigen Species | Human |
| Conjugation | Un-conjugated |
| Alternate Names | Hydroxysteroid sulfotransferase 2; Alcohol sulfotransferase; Sulfotransferase 2B1; EC 2.8.2.2; HSST2; ST2B1; Sulfotransferase family cytosolic 2B member 1 |
Application Instructions
| Application Suggestion |
|
||||||||
|---|---|---|---|---|---|---|---|---|---|
| Application Note | * The dilutions indicate recommended starting dilutions and the optimal dilutions or concentrations should be determined by the scientist. |
Properties
| Form | Liquid |
|---|---|
| Purification | Protein A purification |
| Buffer | PBS with 0.09% sodium azide |
| Storage Instruction | For continuous use, store undiluted antibody at 2-8°C for up to a week. For long-term storage, aliquot and store at -20°C or below. Storage in frost free freezers is not recommended. Avoid repeated freeze/thaw cycles. Suggest spin the vial prior to opening. The antibody solution should be gently mixed before use. |
| Note | For laboratory research only, not for drug, diagnostic or other use. |
Bioinformation
| Database Links |
Swiss-port # O00204 Human Sulfotransferase family cytosolic 2B member 1 |
|---|---|
| Gene Symbol | SULT2B1 |
| Gene Full Name | sulfotransferase family, cytosolic, 2B, member 1 |
| Background | Sulfotransferase enzymes catalyze the sulfate conjugation of many hormones, neurotransmitters, drugs, and xenobiotic compounds. These cytosolic enzymes are different in their tissue distributions and substrate specificities. The gene structure (number and length of exons) is similar among family members. This gene sulfates dehydroepiandrosterone but not 4-nitrophenol, a typical substrate for the phenol and estrogen sulfotransferase subfamilies. Two alternatively spliced variants that encode different isoforms have been described. [provided by RefSeq, Jul 2008] |
| Function | Sulfotransferase that utilizes 3'-phospho-5'-adenylyl sulfate (PAPS) as sulfonate donor to catalyze the sulfate conjugation of many hormones, neurotransmitters, drugs and xenobiotic compounds. Sulfonation increases the water solubility of most compounds, and therefore their renal excretion, but it can also result in bioactivation to form active metabolites. Sulfates hydroxysteroids like DHEA. Isoform 1 preferentially sulfonates cholesterol, and isoform 2 avidly sulfonates pregnenolone but not cholesterol. [UniProt] |
| Calculated MW | 63 kDa |
Images (3) Click the Picture to Zoom In
-
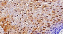
ARG44746 anti-SULT2B1 antibody IHC-P image
Immunohistochemistry: Human esophagus stained with ARG44746 anti-SULT2B1 antibody at 5 µg/mL dilution.
-
ARG44746 anti-SULT2B1 antibody WB image
Western blot: HT29 stained with ARG44746 anti-SULT2B1 antibody at 1 µg/mL dilution.
-
ARG44746 anti-SULT2B1 antibody IP image
Immunoprecipitation: HT29 lysate immunoprecipitated with 2.5 µg of ARG44746 anti-SULT2B1 antibody.
