ARG45290
anti-SUMF2 antibody
anti-SUMF2 antibody for Flow cytometry,IHC-Formalin-fixed paraffin-embedded sections,Western blot and Human
Overview
| Product Description | Polyclonal antibody recognizes SUMF2 |
|---|---|
| Tested Reactivity | Hu |
| Tested Application | FACS, IHC-P, WB |
| Host | Rabbit |
| Clonality | Polyclonal |
| Isotype | IgG |
| Target Name | SUMF2 |
| Antigen Species | Human |
| Immunogen | Recombinant protein containing to human SUMF2. |
| Conjugation | Un-conjugated |
| Alternate Names | SUMF2; Sulfatase Modifying Factor 2; Inactive C-Alpha-Formylglycine-Generating Enzyme 2; Paralog Of Formylglycine-Generating Enzyme; DKFZp566I1024; PFGE; Paralog Of The Formylglycine-Generating Enzyme; Epididymis Secretory Sperm Binding Protein; C-Alpha-Formylglycine-Generating Enzyme 2; C-Alpha-Formyglycine-Generating Enzyme 2; Sulfatase-Modifying Factor 2 |
Application Instructions
| Application Suggestion |
|
||||||||
|---|---|---|---|---|---|---|---|---|---|
| Application Note | * The dilutions indicate recommended starting dilutions and the optimal dilutions or concentrations should be determined by the scientist. | ||||||||
| Observed Size | 36 kDa |
Properties
| Form | Liquid |
|---|---|
| Purification | Affinity purification with immunogen. |
| Buffer | 0.2% Na2HPO4, 0.9% NaCl and 4% Trehalose. |
| Stabilizer | 4% Trehalose |
| Concentration | 0.5 mg/ml |
| Storage Instruction | For continuous use, store undiluted antibody at 2-8°C for up to a week. For long-term storage, aliquot and store at -20°C or below. Storage in frost free freezers is not recommended. Avoid repeated freeze/thaw cycles. Suggest spin the vial prior to opening. The antibody solution should be gently mixed before use. |
| Note | For laboratory research only, not for drug, diagnostic or other use. |
Bioinformation
| Database Links | |
|---|---|
| Gene Symbol | SUMF2 |
| Gene Full Name | Sulfatase Modifying Factor 2 |
| Background | The catalytic sites of sulfatases are only active if they contain a unique amino acid, C-alpha-formylglycine (FGly). The FGly residue is posttranslationally generated from a cysteine by enzymes with FGly-generating activity. The gene described in this record is a member of the sulfatase-modifying factor family and encodes a protein with a DUF323 domain that localizes to the lumen of the endoplasmic reticulum. This protein has low levels of FGly-generating activity but can heterodimerize with another family member - a protein with high levels of FGly-generating activity. Alternate transcriptional splice variants, encoding different isoforms, have been characterized. [provided by RefSeq, Jul 2008] |
| Function | Lacks formylglycine generating activity and is unable to convert newly synthesized inactive sulfatases to their active form. Inhibits the activation of sulfatases by SUMF1. [UniProt] |
| Cellular Localization | Membrane; Mitochondrion; Mitochondrion inner membrane. [UniProt] |
| Calculated MW | 33 kDa |
| PTM | Disulfide bond; Glycoprotein. [UniProt] |
Images (3) Click the Picture to Zoom In
-
ARG45290 anti-SUMF2 antibody WB image
Western blot: A431 stained with ARG45290 anti-SUMF2 antibody at 0.5 μg/ml dilution.
-
ARG45290 anti-SUMF2 antibody FACS image
Flow Cytometry: U87 stained with ARG45290 anti-SUMF2 antibody at 1 µg/10^6 cells dilution.
-
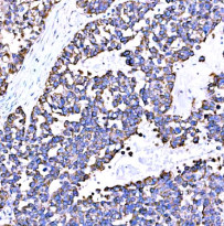
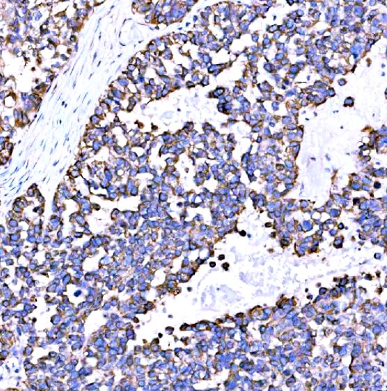
ARG45290 anti-SUMF2 antibody IHC-P image
Immunohistochemistry: Human breast cancer stained with ARG45290 anti-SUMF2 antibody at 2 μg/ml dilution.
