ARG59726
anti-SUMO4 (M55V) antibody
anti-SUMO4 (M55V) antibody for IHC-Formalin-fixed paraffin-embedded sections,Western blot and Human
Overview
| Product Description | Rabbit Polyclonal antibody recognizes SUMO4 (M55V) |
|---|---|
| Tested Reactivity | Hu |
| Tested Application | IHC-P, WB |
| Host | Rabbit |
| Clonality | Polyclonal |
| Isotype | IgG |
| Target Name | SUMO4 (M55V) |
| Antigen Species | Human |
| Immunogen | KLH-conjugated synthetic peptide of Human SUMO4. (CEPRGLS(V)KQIRFRFG) |
| Conjugation | Un-conjugated |
| Alternate Names | SUMO-4; IDDM5; SMT3H4; dJ281H8.4; Small ubiquitin-related modifier 4; Small ubiquitin-like protein 4 |
Application Instructions
| Application Suggestion |
|
||||||
|---|---|---|---|---|---|---|---|
| Application Note | * The dilutions indicate recommended starting dilutions and the optimal dilutions or concentrations should be determined by the scientist. | ||||||
| Positive Control | HepG2 |
Properties
| Form | Liquid |
|---|---|
| Purification | This antibody is affinity purified using peptides CEPRGLS(V)KQIRFRFG (positive selection) and CEPRGLS(M)KQIRFRFG (negative selection). |
| Buffer | PBS and 0.09% (W/V) Sodium azide. |
| Preservative | 0.09% (W/V) Sodium azide. |
| Storage Instruction | For continuous use, store undiluted antibody at 2-8°C for up to a week. For long-term storage, aliquot and store at -20°C or below. Storage in frost free freezers is not recommended. Avoid repeated freeze/thaw cycles. Suggest spin the vial prior to opening. The antibody solution should be gently mixed before use. |
| Note | For laboratory research only, not for drug, diagnostic or other use. |
Bioinformation
| Database Links |
Swiss-port # Q6EEV6 Human Small ubiquitin-related modifier 4 |
|---|---|
| Gene Symbol | SUMO4 |
| Gene Full Name | small ubiquitin-like modifier 4 |
| Background | This gene is a member of the SUMO gene family. This family of genes encode small ubiquitin-related modifiers that are attached to proteins and control the target proteins' subcellular localization, stability, or activity. The protein described in this record is located in the cytoplasm and specifically modifies IKBA, leading to negative regulation of NF-kappa-B-dependent transcription of the IL12B gene. A specific polymorphism in this SUMO gene, which leads to the M55V substitution, has been associated with type I diabetes. The RefSeq contains this polymorphism. [provided by RefSeq, Jul 2008] |
| Function | Ubiquitin-like protein which can be covalently attached to target lysines as a monomer. Does not seem to be involved in protein degradation and may modulate protein subcellular localization, stability or activity. Upon oxidative stress, conjugates to various anti-oxidant enzymes, chaperones, and stress defense proteins. May also conjugate to NFKBIA, TFAP2A and FOS, negatively regulating their transcriptional activity, and to NR3C1, positively regulating its transcriptional activity. Covalent attachment to its substrates requires prior activation by the E1 complex SAE1-SAE2 and linkage to the E2 enzyme UBE2I. [UniProt] |
| Calculated MW | 11 kDa |
| PTM | In contrast to SUMO1, SUMO2 and SUMO3, seems to be insensitive to sentrin-specific proteases due to the presence of Pro-90. This may impair processing to mature form and conjugation to substrates. [UniProt] |
Images (2) Click the Picture to Zoom In
-
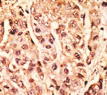
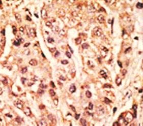
ARG59726 anti-SUMO4 (M55V) antibody IHC-P image
Immunohistochemistry: Formalin-fixed and paraffin-embedded Human hepatocarcinoma stained with ARG59726 anti-SUMO4 (M55V) antibody.
-
ARG59726 anti-SUMO4 (M55V) antibody WB image
Western blot: 35 µg of HepG2 cell lysate stained with ARG59726 anti-SUMO4 (M55V) antibody.
