ARG45217
anti-SUN2 antibody
anti-SUN2 antibody for ICC/IF,IHC-Formalin-fixed paraffin-embedded sections,Western blot and Human
Overview
| Product Description | Rabbit Polyclonal antibody recognizes SUN2 |
|---|---|
| Tested Reactivity | Hu |
| Tested Application | ICC/IF, IHC-P, WB |
| Host | Rabbit |
| Clonality | Polyclonal |
| Isotype | IgG |
| Target Name | SUN2 |
| Antigen Species | Human |
| Immunogen | Recombinant protein containing to human SUN2. |
| Conjugation | Un-conjugated |
| Alternate Names | SUN2; Sad1 And UNC84 Domain Containing 2; UNC84B; SUN Domain-Containing Protein 2; Sad1/Unc-84 Protein-Like 2; Protein Unc-84 Homolog B; Rab5-Interacting Protein; Rab5IP; Unc-84 Homolog B (C. Elegans); Sad1 Unc-84 Domain Protein 2; Nuclear Envelope Protein; Unc-84 Homolog B; KIAA0668; RAB5IP; FRIGG |
Application Instructions
| Application Suggestion |
|
||||||||
|---|---|---|---|---|---|---|---|---|---|
| Application Note | * The dilutions indicate recommended starting dilutions and the optimal dilutions or concentrations should be determined by the scientist. | ||||||||
| Observed Size | 80 kDa |
Properties
| Form | Liquid |
|---|---|
| Purification | Affinity purification with immunogen. |
| Buffer | 0.2% Na2HPO4, 0.9% NaCl and 4% Trehalose. |
| Stabilizer | 4% Trehalose |
| Concentration | 0.5 mg/ml |
| Storage Instruction | For continuous use, store undiluted antibody at 2-8°C for up to a week. For long-term storage, aliquot and store at -20°C or below. Storage in frost free freezers is not recommended. Avoid repeated freeze/thaw cycles. Suggest spin the vial prior to opening. The antibody solution should be gently mixed before use. |
| Note | For laboratory research only, not for drug, diagnostic or other use. |
Bioinformation
| Database Links | |
|---|---|
| Gene Symbol | SUN2 |
| Gene Full Name | Sad1 And UNC84 Domain Containing 2 |
| Background | SUN1 (MIM 607723) and SUN2 are inner nuclear membrane (INM) proteins that play a major role in nuclear-cytoplasmic connection by formation of a 'bridge' across the nuclear envelope, known as the LINC complex, via interaction with the conserved luminal KASH domain of nesprins (e.g., SYNE1; MIM 608441) located in the outer nuclear membrane (ONM). The LINC complex provides a direct connection between the nuclear lamina and the cytoskeleton, which contributes to nuclear positioning and cellular rigidity (summary by Haque et al., 2010 [PubMed 19933576]).[supplied by OMIM, Nov 2010] |
| Function | As a component of the LINC (LInker of Nucleoskeleton and Cytoskeleton) complex, involved in the connection between the nuclear lamina and the cytoskeleton. The nucleocytoplasmic interactions established by the LINC complex play an important role in the transmission of mechanical forces across the nuclear envelope and in nuclear movement and positioning. Specifically, SYNE2 and SUN2 assemble in arrays of transmembrane actin-associated nuclear (TAN) lines which are bound to F-actin cables and couple the nucleus to retrograde actin flow during actin-dependent nuclear movement. Required for interkinetic nuclear migration (INM) and essential for nucleokinesis and centrosome-nucleus coupling during radial neuronal migration in the cerebral cortex and during glial migration. Required for nuclear migration in retinal photoreceptor progenitors implicating association with cytoplasmic dynein-dynactin and kinesin motor complexes, and probably B-type lamins; SUN1 and SUN2 seem to act redundantly. The SUN1/2:KASH5 LINC complex couples telomeres to microtubules during meiosis; SUN1 and SUN2 seem to act at least partial redundantly. Anchors chromosome movement in the prophase of meiosis and is involved in selective gene expression of coding and non-coding RNAs needed for gametogenesis. Required for telomere attachment to nuclear envelope and gametogenesis. May also function on endocytic vesicles as a receptor for RAB5-GDP and participate in the activation of RAB5.. [UniProt] |
| Cellular Localization | Endosome; Membrane; Nucleus [UniProt] |
| Calculated MW | 80 kDa |
| PTM | Disulfide bond; Glycoprotein; Phosphoprotein. [UniProt] |
Images (3) Click the Picture to Zoom In
-
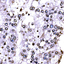
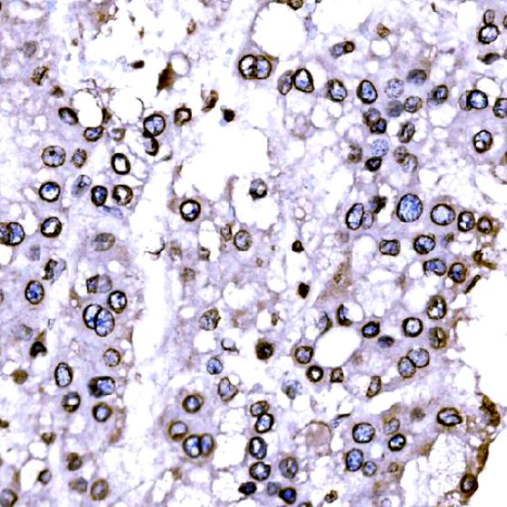
ARG45217 anti-SUN2 antibody IHC-P image
Immunohistochemistry: Human liver cancer stained with ARG45217 anti-SUN2 antibody at 2 μg/ml dilution.
-
ARG45217 anti-SUN2 antibody ICC/IF image
Immunofluorescence: A431 stained with ARG45217 anti-SUN2 antibody at 5 ug/ml dilution.
-
ARG45217 anti-SUN2 antibody WB image
Western blot: HepG2 and Hela stained with ARG45217 anti-SUN2 antibody at 0.5 μg/ml dilution.
