ARG44949
anti-SUOX antibody
anti-SUOX antibody for IHC-Formalin-fixed paraffin-embedded sections,Immunoprecipitation,Western blot and Human
Overview
| Product Description | Mouse Monoclonal antibody recognizes SUOX |
|---|---|
| Tested Reactivity | Hu |
| Tested Application | IHC-P, IP, WB |
| Host | Mouse |
| Clonality | Monoclonal |
| Isotype | IgG1 |
| Target Name | SUOX |
| Antigen Species | Human |
| Epitope | PVPNLDPDTY RLHVVGAPGG QSLSLSLDDL HNFPRYEITV TLQCAGNRRS EMTQVKEVKG LEWRTGAIST ARWAGARLCD VLAQAGHQLC ETEAHVCFEG LDSDPTGTAY GASIPLARAM DPEAEVLLAY EMNGQPLPRD HGFPVRVVVP GVVGARHVKW LGRVSVQPEE SYSHWQRRDY KGFSPSVDWE TVDFDSAPSI QELPVQSAIT EPRDGETVES GEVTIKGYAW SGGGRAVIRV DVSLDGGLTW QVAKLDGEEQ RPRKAWAWRL WQLKAPVPAG QKELNIVCKA VDDGYNVQPD TVAPIWNLRG VLSNAWHRVH |
| Conjugation | Un-conjugated |
| Alternate Names | SUOX; Sulfite Oxidase; Sulfite Oxidase, Mitochondrial; EC 1.8.3.1 |
Application Instructions
| Application Suggestion |
|
||||||||
|---|---|---|---|---|---|---|---|---|---|
| Application Note | * The dilutions indicate recommended starting dilutions and the optimal dilutions or concentrations should be determined by the scientist. |
Properties
| Form | Liquid |
|---|---|
| Purification | Protein A purification |
| Buffer | PBS with 0.09% sodium azide |
| Preservative | 0.09% sodium azide |
| Storage Instruction | For continuous use, store undiluted antibody at 2-8°C for up to a week. For long-term storage, aliquot and store at -20°C or below. Storage in frost free freezers is not recommended. Avoid repeated freeze/thaw cycles. Suggest spin the vial prior to opening. The antibody solution should be gently mixed before use. |
| Note | For laboratory research only, not for drug, diagnostic or other use. |
Bioinformation
| Database Links | |
|---|---|
| Gene Symbol | SUOX |
| Gene Full Name | Sulfite Oxidase |
| Background | Sulfite oxidase is a homodimeric protein localized to the intermembrane space of mitochondria. Each subunit contains a heme domain and a molybdopterin-binding domain. The enzyme catalyzes the oxidation of sulfite to sulfate, the final reaction in the oxidative degradation of the sulfur amino acids cysteine and methionine. Sulfite oxidase deficiency results in neurological abnormalities which are often fatal at an early age. Alternative splicing results in multiple transcript variants encoding identical proteins. [provided by RefSeq, Jul 2008] |
| Function | Catalyzes the oxidation of sulfite to sulfate, the terminal reaction in the oxidative degradation of sulfur-containing amino acids. [Uniprot] |
| Cellular Localization | Mitochondrion. [Uniprot] |
| PTM | Phosphoprotein. [Uniprot] |
Images (3) Click the Picture to Zoom In
-
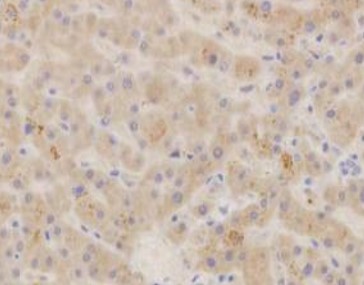
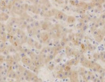
ARG44949 anti-SUOX antibody IHC-P image
Immunohistochemistry: Human live stained with ARG44949 anti-SUOX antibody at 5 µg/mL dilution.
-
ARG44949 anti-SUOX antibody WB image
Western blot: HepG2 stained with ARG44949 anti-SUOX antibody at 1 µg/mL dilution.
-
ARG44949 anti-SUOX antibody IP image
Immunoprecipitation: HepG2 lysate immunoprecipitated with 2.5 µg of ARG44949 anti-SUOX antibody.
