ARG59300
anti-Sacsin antibody
anti-Sacsin antibody for IHC-Formalin-fixed paraffin-embedded sections,Western blot and Human,Mouse,Rat
Overview
| Product Description | Rabbit Polyclonal antibody recognizes Sacsin |
|---|---|
| Tested Reactivity | Hu, Ms, Rat |
| Tested Application | IHC-P, WB |
| Host | Rabbit |
| Clonality | Polyclonal |
| Isotype | IgG |
| Target Name | Sacsin |
| Antigen Species | Human |
| Immunogen | Recombinant protein corresponding to E3709-L3909 of Human Sacsin. |
| Conjugation | Un-conjugated |
| Alternate Names | DNAJC29; PPP1R138; SPAX6; Sacsin; DnaJ homolog subfamily C member 29; ARSACS |
Application Instructions
| Application Suggestion |
|
||||||
|---|---|---|---|---|---|---|---|
| Application Note | IHC-P: Antigen Retrieval: Heat mediated was performed in Citrate buffer (pH 6.0) for 20 min. * The dilutions indicate recommended starting dilutions and the optimal dilutions or concentrations should be determined by the scientist. |
Properties
| Form | Liquid |
|---|---|
| Purification | Affinity purification with immunogen. |
| Buffer | 0.9% NaCl, 0.2% Na2HPO4, 0.05% Sodium azide and 4% Trehalose. |
| Preservative | 0.05% Sodium azide |
| Stabilizer | 4% Trehalose |
| Concentration | 0.5 mg/ml |
| Storage Instruction | For continuous use, store undiluted antibody at 2-8°C for up to a week. For long-term storage, aliquot and store at -20°C or below. Storage in frost free freezers is not recommended. Avoid repeated freeze/thaw cycles. Suggest spin the vial prior to opening. The antibody solution should be gently mixed before use. |
| Note | For laboratory research only, not for drug, diagnostic or other use. |
Bioinformation
| Database Links | |
|---|---|
| Gene Symbol | SACS |
| Gene Full Name | sacsin molecular chaperone |
| Background | This gene encodes the sacsin protein, which includes a UbL domain at the N-terminus, a DnaJ domain, and a HEPN domain at the C-terminus. The gene is highly expressed in the central nervous system, also found in skin, skeletal muscles and at low levels in the pancreas. This gene includes a very large exon spanning more than 12.8 kb. Mutations in this gene result in autosomal recessive spastic ataxia of Charlevoix-Saguenay (ARSACS), a neurodegenerative disorder characterized by early-onset cerebellar ataxia with spasticity and peripheral neuropathy. The authors of a publication on the effects of siRNA-mediated sacsin knockdown concluded that sacsin protects against mutant ataxin-1 and suggest that "the large multi-domain sacsin protein is able to recruit Hsp70 chaperone action and has the potential to regulate the effects of other ataxia proteins" (Parfitt et al., PubMed: 19208651). A pseudogene associated with this gene is located on chromosome 11. Alternative splicing of this gene results in multiple transcript variants. [provided by RefSeq, May 2013] |
| Function | Co-chaperone which acts as a regulator of the Hsp70 chaperone machinery and may be involved in the processing of other ataxia-linked proteins. [UniProt] |
| Cellular Localization | Cytoplasm. Note=Predominantly cytoplasmic, a small portion is present in the nucleus and also shows a partial mitochondrial overlap with the mitochondrial marker Hsp60. [UniProt] |
| Calculated MW | 521 kDa |
Images (3) Click the Picture to Zoom In
-
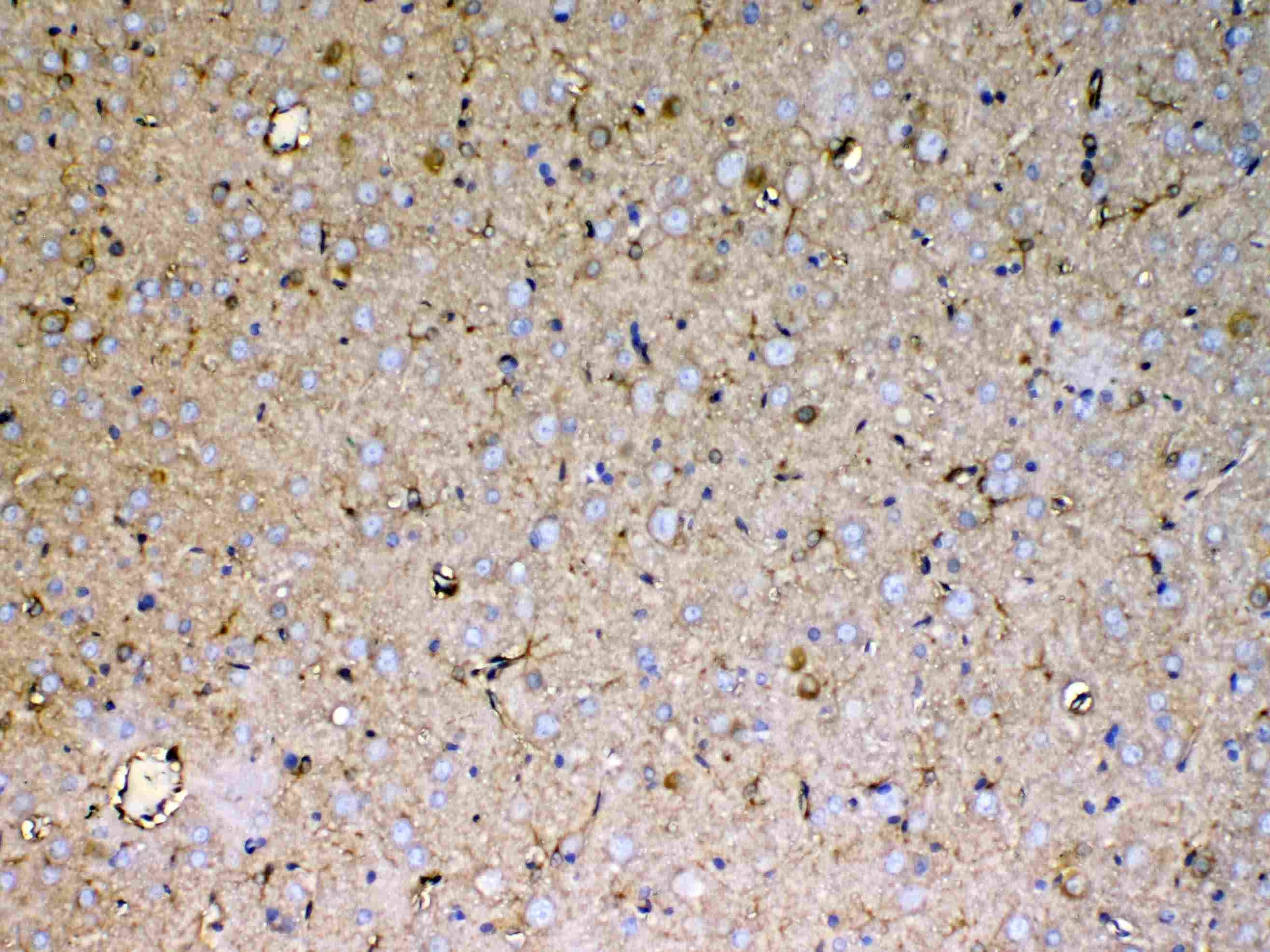
ARG59300 anti-Sacsin antibody IHC-P image
Immunohistochemistry: Paraffin-embedded Mouse brain tissue. Antigen Retrieval: Heat mediated was performed in Citrate buffer (pH 6.0, epitope retrieval solution) for 20 min. The tissue section was blocked with 10% goat serum. The tissue section was then stained with ARG59300 anti-Sacsin antibody at 1 µg/ml dilution, overnight at 4°C.
-
ARG59300 anti-Sacsin antibody WB image
Western blot: 50 µg of samples under reducing conditions. Rat brain, Mouse brain and HeLa cell lysates stained with ARG59300 anti-Sacsin antibody at 0.5 µg/ml, overnight at 4°C.
-
ARG59300 anti-Sacsin antibody IHC-P image
Immunohistochemistry: Paraffin-embedded Rat brain tissue. Antigen Retrieval: Heat mediated was performed in Citrate buffer (pH 6.0, epitope retrieval solution) for 20 min. The tissue section was blocked with 10% goat serum. The tissue section was then stained with ARG59300 anti-Sacsin antibody at 1 µg/ml dilution, overnight at 4°C.
