ARG66522
anti-Sarcomeric muscle actin antibody
anti-Sarcomeric muscle actin antibody for IHC-Formalin-fixed paraffin-embedded sections,Western blot and Human
Overview
| Product Description | Mouse Monoclonal antibody recognizes Sarcomeric muscle actin |
|---|---|
| Tested Reactivity | Hu |
| Tested Application | IHC-P, WB |
| Host | Mouse |
| Clonality | Monoclonal |
| Isotype | IgG1, kappa |
| Target Name | Sarcomeric muscle actin |
| Antigen Species | Human |
| Immunogen | Synthetic peptide derived from Human Sarcomeric muscle actin. |
| Conjugation | Un-conjugated |
| Alternate Names | CFTDM; MPFD; CFTD; ASMA; NEM1; NEM2; NEM3; Alpha-actin-1; ACTA; CFTD1; Actin, alpha skeletal muscle |
Application Instructions
| Application Suggestion |
|
||||||
|---|---|---|---|---|---|---|---|
| Application Note | IHC-P: Antigen Retrieval: Citrate buffer (pH 6.0) was used. * The dilutions indicate recommended starting dilutions and the optimal dilutions or concentrations should be determined by the scientist. |
||||||
| Observed Size | ~ 45 kDa |
Properties
| Form | Liquid |
|---|---|
| Purification | Affinity purification with immunogen. |
| Buffer | PBS, 0.02% Sodium azide, 50% Glycerol and 0.5% BSA. |
| Preservative | 0.02% Sodium azide |
| Stabilizer | 50% Glycerol and 0.5% BSA |
| Concentration | 1 mg/ml |
| Storage Instruction | For continuous use, store undiluted antibody at 2-8°C for up to a week. For long-term storage, aliquot and store at -20°C. Storage in frost free freezers is not recommended. Avoid repeated freeze/thaw cycles. Suggest spin the vial prior to opening. The antibody solution should be gently mixed before use. |
| Note | For laboratory research only, not for drug, diagnostic or other use. |
Bioinformation
| Database Links | |
|---|---|
| Gene Symbol | ACTA1 |
| Gene Full Name | actin, alpha 1, skeletal muscle |
| Background | The product encoded by this gene belongs to the actin family of proteins, which are highly conserved proteins that play a role in cell motility, structure and integrity. Alpha, beta and gamma actin isoforms have been identified, with alpha actins being a major constituent of the contractile apparatus, while beta and gamma actins are involved in the regulation of cell motility. This actin is an alpha actin that is found in skeletal muscle. Mutations in this gene cause nemaline myopathy type 3, congenital myopathy with excess of thin myofilaments, congenital myopathy with cores, and congenital myopathy with fiber-type disproportion, diseases that lead to muscle fiber defects. [provided by RefSeq, Jul 2008] |
| Function | Actins are highly conserved proteins that are involved in various types of cell motility and are ubiquitously expressed in all eukaryotic cells. [UniProt] |
| Cellular Localization | Cytoplasm, cytoskeleton. [UniProt] |
| Calculated MW | 42 kDa |
| PTM | Oxidation of Met-46 and Met-49 by MICALs (MICAL1, MICAL2 or MICAL3) to form methionine sulfoxide promotes actin filament depolymerization. MICAL1 and MICAL2 produce the (R)-S-oxide form. The (R)-S-oxide form is reverted by MSRB1 and MSRB2, which promote actin repolymerization (By similarity). Monomethylation at Lys-86 (K84me1) regulates actin-myosin interaction and actomyosin-dependent processes. Demethylation by ALKBH4 is required for maintaining actomyosin dynamics supporting normal cleavage furrow ingression during cytokinesis and cell migration. (Microbial infection) Monomeric actin is cross-linked by V.cholerae toxins RtxA and VgrG1 in case of infection: bacterial toxins mediate the cross-link between Lys-52 of one monomer and Glu-272 of another actin monomer, resulting in formation of highly toxic actin oligomers that cause cell rounding (PubMed:19015515). The toxin can be highly efficient at very low concentrations by acting on formin homology family proteins: toxic actin oligomers bind with high affinity to formins and adversely affect both nucleation and elongation abilities of formins, causing their potent inhibition in both profilin-dependent and independent manners (PubMed:26228148). [UniProt] |
Images (3) Click the Picture to Zoom In
-
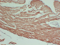
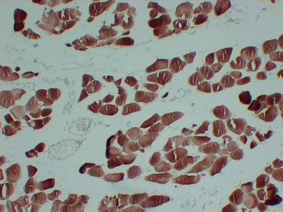
ARG66522 anti-Sarcomeric muscle actin antibody IHC-P image
Immunohistochemistry: Paraffin-embedded Human skeletal muscle stained with ARG66522 anti-Sarcomeric muscle actin antibody at 1:200 (4°C, overnight). Antigen Retrieval: Citrate buffer (pH 6.0) was used.
-
ARG66522 anti-Sarcomeric muscle actin antibody WB image
Western blot: 30 µg of HeLa, A431 and HepG2 (negative control) whole cell lysates stained with ARG66522 anti-Sarcomeric muscle actin antibody at 1:1000 dilution.
-
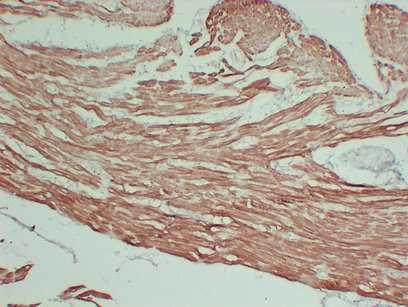
ARG66522 anti-Sarcomeric muscle actin antibody IHC-P image
Immunohistochemistry: Paraffin-embedded Human myocardium stained with ARG66522 anti-Sarcomeric muscle actin antibody at 1:200 (4°C, overnight). Antigen Retrieval: Citrate buffer (pH 6.0) was used.
