ARG44287
anti-Slingshot homolog 1 / SSH1 antibody
anti-Slingshot homolog 1 / SSH1 antibody for ICC/IF,IHC-Formalin-fixed paraffin-embedded sections,Western blot and Human,Mouse,Rat
Overview
| Product Description | Rabbit Polyclonal antibody recognizes Slingshot homolog 1 / SSH1 |
|---|---|
| Tested Reactivity | Hu, Ms, Rat |
| Tested Application | ICC/IF, IHC-P, WB |
| Specificity | This antibody recognize Slingshot homolog 1 / SSH1 isoform L. |
| Host | Rabbit |
| Clonality | Polyclonal |
| Isotype | IgG |
| Target Name | SSH1 |
| Antigen Species | Human |
| Immunogen | Synthetic peptide |
| Conjugation | Un-conjugated |
| Alternate Names | SSH1; Slingshot Protein Phosphatase 1; SSH1L; KIAA1298; Protein Phosphatase Slingshot Homolog 1; SSH-Like Protein 1; HSSH-1L; Slingshot Homolog 1 (Drosophila); Slingshot Homolog 1 |
Application Instructions
| Application Suggestion |
|
||||||||
|---|---|---|---|---|---|---|---|---|---|
| Application Note | * The dilutions indicate recommended starting dilutions and the optimal dilutions or concentrations should be determined by the scientist. |
Properties
| Form | Liquid |
|---|---|
| Purification | Antigen Affinity Purified |
| Buffer | PBS with 1 mg/ml BSA, 0.05% Sodium azide and 50% glycerol |
| Preservative | 0.05% Sodium azide |
| Stabilizer | 1 mg/ml BSA and 50% glycerol |
| Storage Instruction | For continuous use, store undiluted antibody at 2-8°C for up to a week. For long-term storage, aliquot and store at -20°C. Storage in frost free freezers is not recommended. Avoid repeated freeze/thaw cycles. Suggest spin the vial prior to opening. The antibody solution should be gently mixed before use. |
| Note | For laboratory research only, not for drug, diagnostic or other use. |
Bioinformation
| Database Links |
Swiss-port # Q76I79 Mouse Protein phosphatase Slingshot homolog 1 Swiss-port # Q8WYL5 Human Protein phosphatase Slingshot homolog 1 |
|---|---|
| Gene Symbol | SSH1 |
| Gene Full Name | Slingshot Protein Phosphatase 1 |
| Background | The protein encoded by this gene belongs to the slingshot homolog (SSH) family of phosphatases, which regulate actin filament dynamics. The SSH proteins dephosphorylate and activate the actin binding/depolymerizing factor cofilin, which subsequently binds to actin filaments and stimulates their disassembly. Cofilin is inactivated by kinases such as LIM domain kinase-1 (LIMK1), which may also be dephosphorylated and inactivated by SSH proteins. The SSH family thus appears to play a role in actin dynamics by reactivating cofilin proteins. Alternatively spliced transcript variants encoding different isoforms have been described for this gene. |
| Function | Protein phosphatase which regulates actin filament dynamics. Dephosphorylates and activates the actin binding/depolymerizing factor cofilin, which subsequently binds to actin filaments and stimulates their disassembly. Inhibitory phosphorylation of cofilin is mediated by LIMK1, which may also be dephosphorylated and inactivated by this protein. |
| Cellular Localization | Cell projection, Cytoplasm, Cytoskeleton |
| Calculated MW | 116 kDa |
| PTM | Acetylation, Phosphoprotein |
Images (2) Click the Picture to Zoom In
-
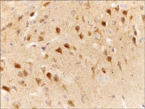
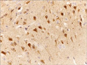
ARG44287 anti-Slingshot homolog 1 / SSH1 antibody IHC-P image
Immunohistochemistry: mouse cerebral stained with ARG44287 anti-Slingshot homolog 1 / SSH1 antibody.
-
ARG44287 anti-Slingshot homolog 1 / SSH1 antibody WB image
Western blot: PC12 stained with ARG44287 anti-Slingshot homolog 1 / SSH1 antibody.
