ARG44741
anti-Smad 5 antibody
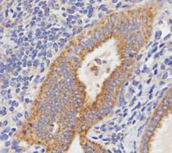
anti-Smad 5 antibody for IHC-Formalin-fixed paraffin-embedded sections,Immunoprecipitation and Human
Overview
| Product Description | Mouse Monoclonal antibody recognizes Smad 5 |
|---|---|
| Tested Reactivity | Hu |
| Tested Application | IHC-P, IP |
| Host | Mouse |
| Clonality | Monoclonal |
| Isotype | IgG2a |
| Target Name | Smad 5 |
| Antigen Species | Human |
| Conjugation | Un-conjugated |
| Alternate Names | DWFC; Smad5; JV5-1; Mothers against decapentaplegic homolog 5; Mothers against DPP homolog 5; hSmad5; MADH5; SMAD 5; MAD homolog 5; SMAD family member 5 |
Application Instructions
| Application Suggestion |
|
||||||
|---|---|---|---|---|---|---|---|
| Application Note | * The dilutions indicate recommended starting dilutions and the optimal dilutions or concentrations should be determined by the scientist. |
Properties
| Form | Liquid |
|---|---|
| Purification | Protein A purification |
| Buffer | PBS with 0.09% sodium azide |
| Storage Instruction | For continuous use, store undiluted antibody at 2-8°C for up to a week. For long-term storage, aliquot and store at -20°C or below. Storage in frost free freezers is not recommended. Avoid repeated freeze/thaw cycles. Suggest spin the vial prior to opening. The antibody solution should be gently mixed before use. |
| Note | For laboratory research only, not for drug, diagnostic or other use. |
Bioinformation
| Database Links |
Swiss-port # Q99717 Human Mothers against decapentaplegic homolog 5 |
|---|---|
| Gene Symbol | SMAD5 |
| Gene Full Name | SMAD family member 5 |
| Background | The protein encoded by this gene is involved in the transforming growth factor beta signaling pathway that results in an inhibition of the proliferation of hematopoietic progenitor cells. The encoded protein is activated by bone morphogenetic proteins type 1 receptor kinase, and may be involved in cancer. Alternative splicing results in multiple transcript variants. [provided by RefSeq, Feb 2014] |
| Function | Transcriptional modulator activated by BMP (bone morphogenetic proteins) type 1 receptor kinase. SMAD5 is a receptor-regulated SMAD (R-SMAD). [UniProt] |
| Cellular Localization | Cytoplasm, Nucleus. [UniProt] |
| Calculated MW | 52 kDa |
| PTM | Phosphorylated on serine by BMP (bone morphogenetic proteins) type 1 receptor kinase. Ubiquitin-mediated proteolysis by SMAD-specific E3 ubiquitin ligase SMURF1. [UniProt] |
Images (2) Click the Picture to Zoom In
