ARG22286
anti-Sodium Iodide Symporter antibody [FP5]
anti-Sodium Iodide Symporter antibody [FP5] for ICC/IF,IHC-Formalin-fixed paraffin-embedded sections,Western blot and Human,Mouse,Rat
Overview
| Product Description | Mouse Monoclonal antibody [FP5] recognizes Sodium Iodide Symporter |
|---|---|
| Tested Reactivity | Hu, Ms, Rat |
| Tested Application | ICC/IF, IHC-P, WB |
| Specificity | Detects ~97kDa, non-glycosylated version at 68kDa. Other minor bands associated with hNIS at 160kDa, and degradation products at ~30 kDa, and ~15kDa. |
| Host | Mouse |
| Clonality | Monoclonal |
| Clone | FP5 |
| Isotype | IgG1, kappa |
| Target Name | Sodium Iodide Symporter |
| Antigen Species | Human |
| Immunogen | Mannose binding protein-Human Sodium Iodide Symporter fusion protein (aa. 468-643) |
| Conjugation | Un-conjugated |
| Alternate Names | Sodium-iodide symporter; Na; -; TDH1; NIS; Solute carrier family 5 member 5; Sodium/iodide cotransporter |
Application Instructions
| Application Suggestion |
|
||||||||
|---|---|---|---|---|---|---|---|---|---|
| Application Note | * The dilutions indicate recommended starting dilutions and the optimal dilutions or concentrations should be determined by the scientist. |
Properties
| Form | Liquid |
|---|---|
| Purification | Purification with Protein G. |
| Buffer | PBS (pH 7.4), 0.09% Sodium azide and 50% Glycerol |
| Preservative | 0.09% Sodium azide |
| Stabilizer | 50% Glycerol |
| Concentration | 1 mg/ml |
| Storage Instruction | For continuous use, store undiluted antibody at 2-8°C for up to a week. For long-term storage, aliquot and store at -20°C. Storage in frost free freezers is not recommended. Avoid repeated freeze/thaw cycles. Suggest spin the vial prior to opening. The antibody solution should be gently mixed before use. |
| Note | For laboratory research only, not for drug, diagnostic or other use. |
Bioinformation
| Database Links | |
|---|---|
| Gene Symbol | SLC5A5 |
| Gene Full Name | solute carrier family 5 (sodium/iodide cotransporter), member 5 |
| Background | This gene encodes a member of the sodium glucose cotransporter family. The encoded protein is responsible for the uptake of iodine in tissues such as the thyroid and lactating breast tissue. The iodine taken up by the thyroid is incorporated into the metabolic regulators triiodothyronine (T3) and tetraiodothyronine (T4). Mutations in this gene are associated with thyroid dyshormonogenesis 1.[provided by RefSeq, Sep 2009] |
| Function | Mediates iodide uptake in the thyroid gland. [UniProt] |
| Cellular Localization | Membrane |
| Calculated MW | ~97 kDa; 68 kDa (unmodified); 160 kDa (minor bands associated with hNIS); ~15 and 30 kDa (degradation products). |
Images (5) Click the Picture to Zoom In
-
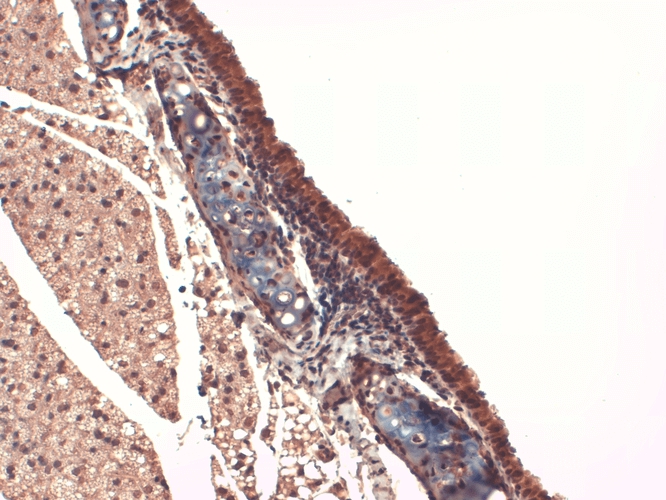
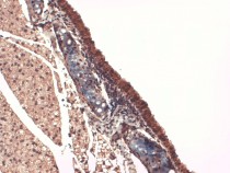
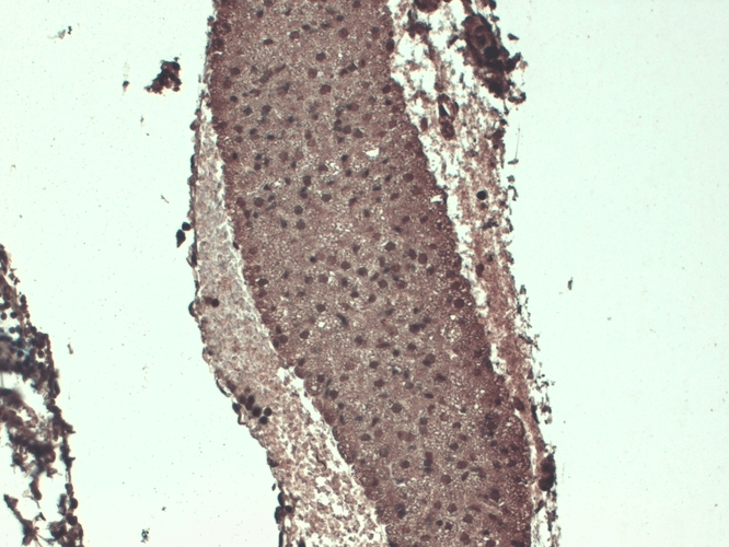
ARG22286 anti-Sodium Iodide Symporter antibody [FP5] IHC image
Immunohistochemistry: 10% Formalin (12-24 hours at RT) fixed Mouse Trachea stained with ARG22286 anti-Sodium Iodide Symporter antibody [FP5] (brown) at 1:1000 dilution (1 hour). Counterstain: Mayer Hematoxylin (purple/blue) nuclear stain at 250-500uL for 5 minutes at RT.
-
ARG22286 anti-Sodium Iodide Symporter antibody [FP5] WB image
Western blot: Human thyroid lysate stained with ARG22286 anti-Sodium Iodide Symporter antibody [FP5] at 1:1000 dilution.
-
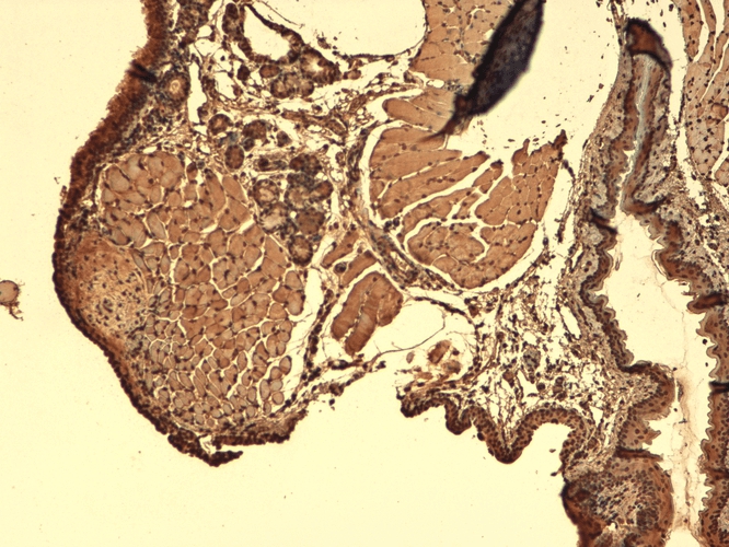
ARG22286 anti-Sodium Iodide Symporter antibody [FP5] IHC image
Immunohistochemistry: 10% Formalin (12-24 hours at RT) fixed Mouse Thyroid stained with ARG22286 anti-Sodium Iodide Symporter antibody [FP5] (brown) at 1:1000 dilution (1 hour). Counterstain: Mayer Hematoxylin (purple/blue) nuclear stain at 250-500uL for 5 minutes at RT.
-
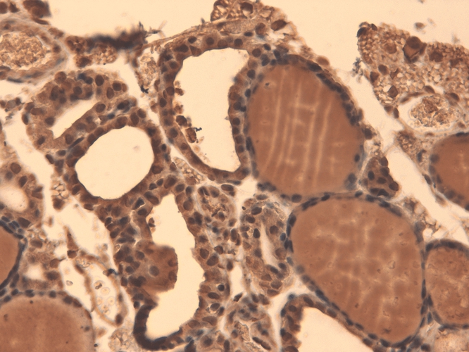
ARG22286 anti-Sodium Iodide Symporter antibody [FP5] IHC image
Immunohistochemistry: 10% Formalin (12-24 hours at RT) fixed Mouse Thyroid stained with ARG22286 anti-Sodium Iodide Symporter antibody [FP5] (brown) at 1:1000 dilution (1 hour). Counterstain: Mayer Hematoxylin (purple/blue) nuclear stain at 250-500uL for 5 minutes at RT.
-
ARG22286 anti-Sodium Iodide Symporter antibody [FP5] IHC image
Immunohistochemistry: 10% Formalin (12-24 hours at RT) fixed Mouse Thyroid stained with ARG22286 anti-Sodium Iodide Symporter antibody [FP5] (brown) at 1:1000 dilution (1 hour). Counterstain: Mayer Hematoxylin (purple/blue) nuclear stain at 250-500uL for 5 minutes at RT.
