ARG67020
anti-Somatostatin antibody
anti-Somatostatin antibody for IHC-Formalin-fixed paraffin-embedded sections,Western blot and Human,Rat
Controls and Markers antibody; Developmental Biology antibody; Neuroscience antibody
Overview
| Product Description | Recombinant Rabbit Polyclonal antibody recognizes Somatostatin |
|---|---|
| Tested Reactivity | Hu, Rat |
| Predict Reactivity | Ms |
| Tested Application | IHC-P, WB |
| Host | Rabbit |
| Clonality | Polyclonal |
| Isotype | IgG |
| Target Name | Somatostatin |
| Antigen Species | Human |
| Immunogen | Synthetic peptide corresponding to N-terminal region of Human Somatostatin. |
| Conjugation | Un-conjugated |
| Protein Full Name | Somatostatin |
| Alternate Names | Somatostatin; Growth hormone release-inhibiting factor |
Application Instructions
| Application Suggestion |
|
||||||
|---|---|---|---|---|---|---|---|
| Application Note | IHC-P: Antigen Retrieval: Heat mediated was performed using Tris/EDTA buffer (pH 8.0). Incubate the samples at RT (18-25°C) for 42 min. * The dilutions indicate recommended starting dilutions and the optimal dilutions or concentrations should be determined by the scientist. |
||||||
| Positive Control | Human Gastric fundus tissue; A549 | ||||||
| Observed Size | ~15-17 kDa |
Properties
| Form | Liquid |
|---|---|
| Purification | Affinity purification with immunogen. |
| Buffer | PBS, 0.02% Sodium azide, 50% Glycerol and 0.5%BSA. |
| Preservative | 0.02% Sodium azide |
| Stabilizer | 50% Glycerol and 0.5%BSA |
| Storage Instruction | For continuous use, store undiluted antibody at 2-8°C for up to a week. For long-term storage, aliquot and store at -20°C or below. Storage in frost free freezers is not recommended. Avoid repeated freeze/thaw cycles. Suggest spin the vial prior to opening. The antibody solution should be gently mixed before use. |
| Note | For laboratory research only, not for drug, diagnostic or other use. |
Bioinformation
| Database Links | |
|---|---|
| Gene Symbol | SST |
| Gene Full Name | somatostatin |
| Background | The hormone somatostatin has active 14 aa and 28 aa forms that are produced by alternate cleavage of the single preproprotein encoded by this gene. Somatostatin is expressed throughout the body and inhibits the release of numerous secondary hormones by binding to high-affinity G-protein-coupled somatostatin receptors. This hormone is an important regulator of the endocrine system through its interactions with pituitary growth hormone, thyroid stimulating hormone, and most hormones of the gastrointestinal tract. Somatostatin also affects rates of neurotransmission in the central nervous system and proliferation of both normal and tumorigenic cells. [provided by RefSeq, Jul 2008] |
| Function | Somatostatin-14 Inhibits the secretion of pituitary hormones, including that of growth hormone/somatotropin (GH1), PRL, ACTH, luteinizing hormone (LH) and TSH. Also impairs ghrelin- and GnRH-stimulated secretion of GH1 and LH; the inhibition of ghrelin-stimulated secretion of GH1 can be further increased by neuronostatin. Neuronostatin May enhance low-glucose-induced glucagon release by pancreatic alpha cells. This effect may be mediated by binding to GPR107 and PKA activation. May regulate cardiac contractile function. May compromise cardiomyocyte viability. In the central nervous system, may impair memory retention and may affect hippocampal excitability. May also have anxiolytic and anorexigenic effects. May play a role in arterial pressure regulation. May inhibit basal, but not ghrelin- or GnRH-stimulated secretion of GH1 or LH, but does not affect the release of other pituitary hormones, including PRL, ACTH, FSH or TSH. Potentiates inhibitory action of somatostatin on ghrelin-stimulated secretion of GH1, but not that on GnRH-stimulated secretion of LH. [UniProt] |
| Cellular Localization | Secreted |
| Research Area | Controls and Markers antibody; Developmental Biology antibody; Neuroscience antibody |
| Calculated MW | 13 kDa |
| PTM | Amidation; Cleavage on pair of basic residues; Disulfide bond |
Images (2) Click the Picture to Zoom In
-
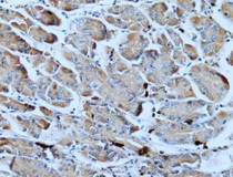
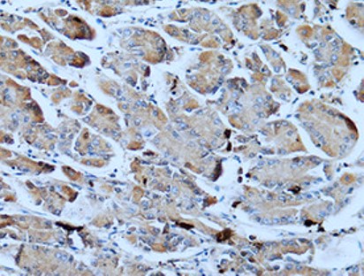
ARG67020 anti-Somatostatin antibody IHC-P image
Immunohistochemistry: Paraffin-embedded sections of Human Gastric fundus tissue stained with ARG67020 anti-Somatostatin antibody. Antigen Retrieval: Heat tissue section in Tris-EDTA buffer (pH 8.0).
-
ARG67020 anti-Somatostatin antibody WB image
Western blot: A549 lysate stained with ARG67020 anti-Somatostatin antibody.
