ARG40414
anti-Sonic Hedgehog antibody
anti-Sonic Hedgehog antibody for IHC-Formalin-fixed paraffin-embedded sections,Western blot and Human,Mouse,Rat
Overview
| Product Description | Rabbit Polyclonal antibody recognizes Sonic Hedgehog |
|---|---|
| Tested Reactivity | Hu, Ms, Rat |
| Predict Reactivity | Hm |
| Tested Application | IHC-P, WB |
| Host | Rabbit |
| Clonality | Polyclonal |
| Isotype | IgG |
| Target Name | Sonic Hedgehog |
| Antigen Species | Human |
| Immunogen | Synthetic peptide corresponding to aa. 203-218 of Human Sonic Hedgehog (ATVHLEQGGTKLVKDL), identical to the related Rat and Mouse sequences. |
| Conjugation | Un-conjugated |
| Alternate Names | HPE3; Sonic hedgehog protein; MCOPCB5; HHG-1; HLP3; HHG1; TPT; TPTPS; SHH; SMMCI |
Application Instructions
| Application Suggestion |
|
||||||
|---|---|---|---|---|---|---|---|
| Application Note | IHC-P: Antigen Retrieval: By heat mediation. * The dilutions indicate recommended starting dilutions and the optimal dilutions or concentrations should be determined by the scientist. |
Properties
| Form | Liquid |
|---|---|
| Purification | Affinity purification with immunogen. |
| Buffer | 0.2% Na2HPO4, 0.9% NaCl, 0.05% Thimerosal, 0.05% Sodium azide and 5% BSA. |
| Preservative | 0.05% Thimerosal and 0.05% Sodium azide |
| Stabilizer | 5% BSA |
| Concentration | 0.5 mg/ml |
| Storage Instruction | For continuous use, store undiluted antibody at 2-8°C for up to a week. For long-term storage, aliquot and store at -20°C or below. Storage in frost free freezers is not recommended. Avoid repeated freeze/thaw cycles. Suggest spin the vial prior to opening. The antibody solution should be gently mixed before use. |
| Note | For laboratory research only, not for drug, diagnostic or other use. |
Bioinformation
| Database Links | |
|---|---|
| Gene Symbol | SHH |
| Gene Full Name | sonic hedgehog |
| Background | This gene encodes a protein that is instrumental in patterning the early embryo. It has been implicated as the key inductive signal in patterning of the ventral neural tube, the anterior-posterior limb axis, and the ventral somites. Of three human proteins showing sequence and functional similarity to the sonic hedgehog protein of Drosophila, this protein is the most similar. The protein is made as a precursor that is autocatalytically cleaved; the N-terminal portion is soluble and contains the signalling activity while the C-terminal portion is involved in precursor processing. More importantly, the C-terminal product covalently attaches a cholesterol moiety to the N-terminal product, restricting the N-terminal product to the cell surface and preventing it from freely diffusing throughout the developing embryo. Defects in this protein or in its signalling pathway are a cause of holoprosencephaly (HPE), a disorder in which the developing forebrain fails to correctly separate into right and left hemispheres. HPE is manifested by facial deformities. It is also thought that mutations in this gene or in its signalling pathway may be responsible for VACTERL syndrome, which is characterized by vertebral defects, anal atresia, tracheoesophageal fistula with esophageal atresia, radial and renal dysplasia, cardiac anomalies, and limb abnormalities. Additionally, mutations in a long range enhancer located approximately 1 megabase upstream of this gene disrupt limb patterning and can result in preaxial polydactyly. [provided by RefSeq, Jul 2008] |
| Function | Intercellular signal essential for a variety of patterning events during development: signal produced by the notochord that induces ventral cell fate in the neural tube and somites, and the polarizing signal for patterning of the anterior-posterior axis of the developing limb bud. Displays both floor plate- and motor neuron-inducing activity. The threshold concentration of N-product required for motor neuron induction is 5-fold lower than that required for floor plate induction. Activates the transcription of target genes by interacting with its receptor PTCH1 to prevent normal inhibition by PTCH1 on the constitutive signaling activity of SMO (By similarity). [UniProt] |
| Cellular Localization | Sonic hedgehog protein C-product: Secreted, extracellular space. The C-terminal peptide diffuses from the cell. [UniProt] |
| Calculated MW | 50 kDa |
| PTM | The C-terminal domain displays an autoproteolysis activity and a cholesterol transferase activity. Both activities result in the cleavage of the full-length protein and covalent attachment of a cholesterol moiety to the C-terminal of the newly generated N-terminal fragment (N-product). The N-product is the active species in both local and long-range signaling, whereas the C-product has no signaling activity. Cholesterylation is required for N-product targeting to lipid rafts and multimerization. N-palmitoylation of Cys-24 by HHAT is required for N-product multimerization and full activity. [UniProt] |
Images (3) Click the Picture to Zoom In
-
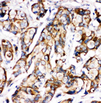
ARG40414 anti-Sonic Hedgehog antibody IHC-P image
Immunohistochemistry: Paraffin-embedded Human mammary tissue stained with ARG40414 anti-Sonic Hedgehog antibody.
-
ARG40414 anti-Sonic Hedgehog antibody WB image
Western blot: Rat liver, Rat intestine, HeLa, A549, SMMC-7721 and MDA-MB-231 cell lysates stained with ARG40414 anti-Sonic Hedgehog antibody.
-
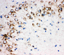
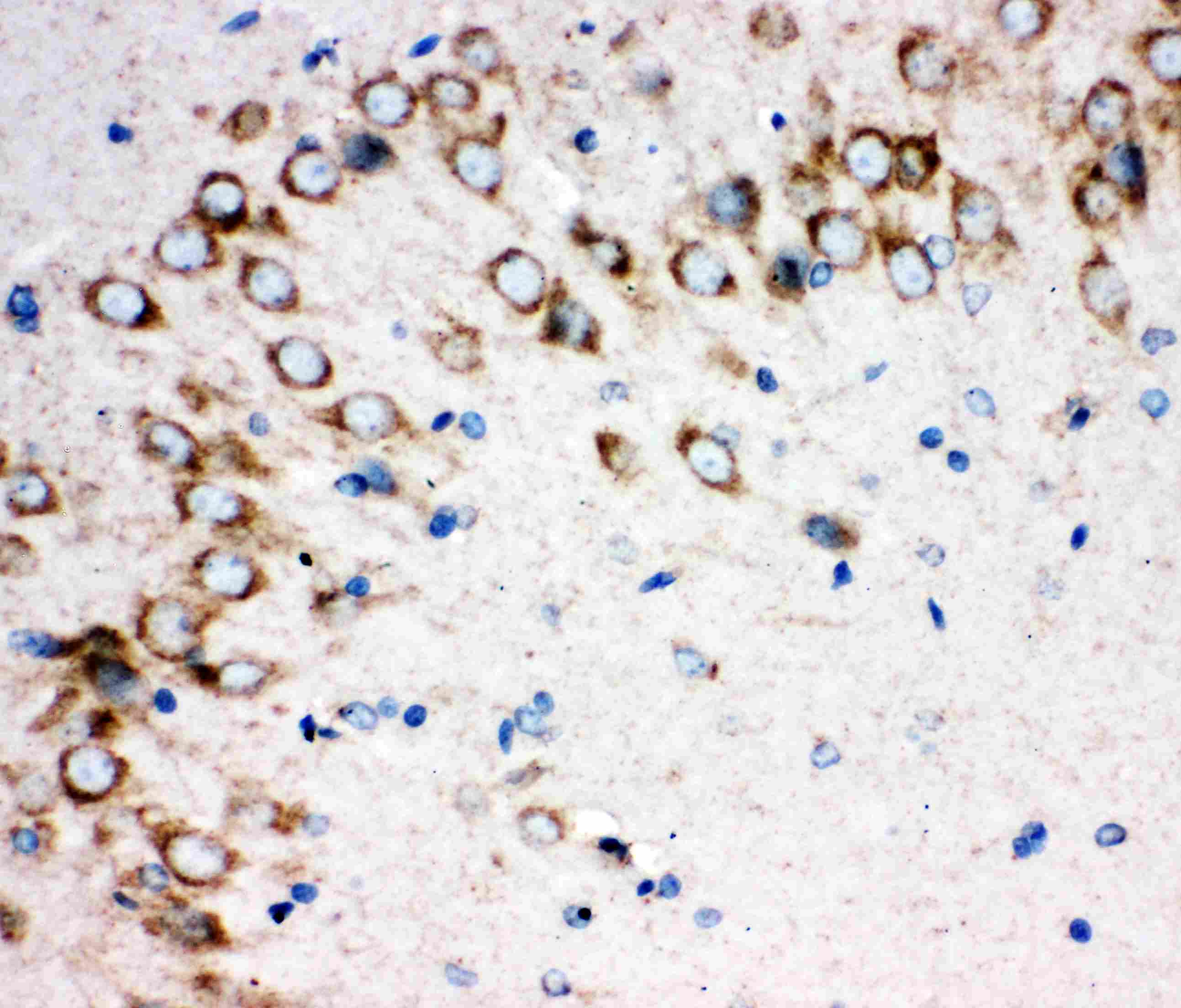
ARG40414 anti-Sonic Hedgehog antibody IHC-P image
Immunohistochemistry: Paraffin-embedded Rat brain tissue stained with ARG40414 anti-Sonic Hedgehog antibody.
