ARG63876
anti-Stearoyl-CoA desaturase antibody
anti-Stearoyl-CoA desaturase antibody for Flow cytometry,IHC-Formalin-fixed paraffin-embedded sections and Human
Cancer antibody; Cell Biology and Cellular Response antibody; Metabolism antibody; Signaling Transduction antibody
Overview
| Product Description | Goat Polyclonal antibody recognizes Stearoyl-CoA desaturase |
|---|---|
| Tested Reactivity | Hu |
| Tested Application | FACS, IHC-P |
| Host | Goat |
| Clonality | Polyclonal |
| Isotype | IgG |
| Target Name | Stearoyl-CoA desaturase |
| Antigen Species | Human |
| Immunogen | C-RIKRTGDGNYKSG |
| Conjugation | Un-conjugated |
| Alternate Names | Fatty acid desaturase; SCDOS; MSTP008; Acyl-CoA desaturase; SCD1; EC 1.14.19.1; hSCD1; Stearoyl-CoA desaturase; Delta-9 desaturase; Delta; 9; FADS5 |
Application Instructions
| Application Suggestion |
|
||||||
|---|---|---|---|---|---|---|---|
| Application Note | IHC-P: Antigen Retrieval: Steam tissue section in Citrate buffer (pH 6.0). * The dilutions indicate recommended starting dilutions and the optimal dilutions or concentrations should be determined by the scientist. |
Properties
| Form | Liquid |
|---|---|
| Purification | Purified from goat serum by antigen affinity chromatography. |
| Buffer | Tris saline (pH 7.3), 0.02% Sodium azide and 0.5% BSA. |
| Preservative | 0.02% Sodium azide |
| Stabilizer | 0.5% BSA |
| Concentration | 0.5 mg/ml |
| Storage Instruction | For continuous use, store undiluted antibody at 2-8°C for up to a week. For long-term storage, aliquot and store at -20°C or below. Storage in frost free freezers is not recommended. Avoid repeated freeze/thaw cycles. Suggest spin the vial prior to opening. The antibody solution should be gently mixed before use. |
| Note | For laboratory research only, not for drug, diagnostic or other use. |
Bioinformation
| Database Links | |
|---|---|
| Background | This gene encodes an enzyme involved in fatty acid biosynthesis, primarily the synthesis of oleic acid. Transcripts of approximately 3.9 and 5.2 kb, differing only by alternative polyadenlyation signals, have been detected. A gene encoding a similar enzyme is located on chromosome 4 and a pseudogene of this gene is located on chromosome 17. [provided by RefSeq, Feb 2012] |
| Research Area | Cancer antibody; Cell Biology and Cellular Response antibody; Metabolism antibody; Signaling Transduction antibody |
| Calculated MW | 42 kDa |
Images (3) Click the Picture to Zoom In
-
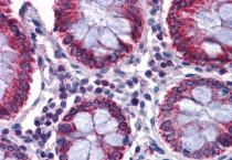
ARG63876 anti-Stearoyl-CoA desaturase antibody IHC-P image
Immunohistochemistry: Paraffin-embedded Human colon tissue. Antigen Retrieval: Steam tissue section in Citrate buffer (pH 6.0). The tissue section was stained with ARG63876 anti-Stearoyl-CoA desaturase antibody at 5 µg/ml dilution followed by AP-staining.
-
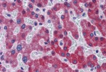
ARG63876 anti-Stearoyl-CoA desaturase antibody IHC-P image
Immunohistochemistry: paraffin embedded Human Liver. (Steamed antigen retrieval with citrate buffer pH 6) stained with ARG63876 anti-Stearoyl-CoA desaturase antibody at 5 µg/ml dilution followed by AP-staining.
-
ARG63876 anti-Stearoyl-CoA desaturase antibody FACS image
Flow Cytometry: HepG2 cells (green dots) mixed in with Peripheral blood lymphocytes (red dots, negative control). Cells were stained with ARG63876 anti-Stearoyl-CoA desaturase antibody. Detected by fluorescence with PE for Stearoyl-CoA desaturase in green and with OC515 for CD45 in red.
