ARG23581
anti-Sulfatase 2 antibody [2B4]
anti-Sulfatase 2 antibody [2B4] for ELISA,IHC-Formalin-fixed paraffin-embedded sections,Western blot and Human,Mouse
Overview
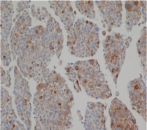
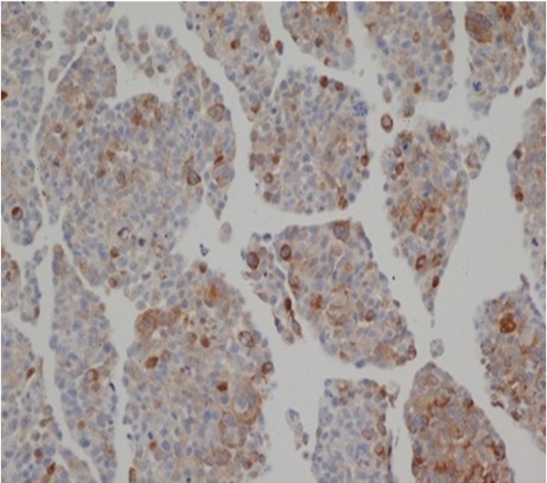
| Product Description | Mouse Monoclonal antibody [2B4] recognizes Sulfatase 2. This product recognizes an epitope within the C-terminal (CT) subunit of Sulfatase 2 (Sulf-2). Sulf-2 is a novel extracellular heparan sulfate 6-O-endosulfatase, which selectively removes the critical sulfate group from the polysaccharide side chain of heparan sulfate proteoglycans, major components of the extracellular matrix, involved in cell differentiation, proliferation and migration. Sulf-2 acts as a modulator of several signalling proteins including Wnt proteins, bone morphogenetic proteins (BMPs) and fibroblast growth factors (FGFs), and is a direct transcriptional target of p53. Studies have linked Sulf-2 with several cancers, including breast, hepatocellular, and pancreatic cancer, and recently with non-small-cell lung carcinomas (Lemjabbar-Alaoui et al. 2010). Mature human Sulf-2 is a heterodimer consisting of a 50kDa C-terminal subunit, essential for both glucosamine 6-O-sulfate-endosulfatase and arylsulfatase activity, and a 75kDa N-terminal subunit which contains the catalytic centre. Mouse anti Human Sulfatase 2 (C-Terminal) antibody, clone 2B4recognizes Sulfatase 2, showing no cross-reactivity with Sulfatase 1 in either human or mouse. |
|---|---|
| Tested Reactivity | Hu, Ms |
| Tested Application | ELISA, IHC-P, WB |
| Host | Mouse |
| Clonality | Monoclonal |
| Clone | 2B4 |
| Isotype | IgG1 |
| Target Name | Sulfatase 2 |
| Antigen Species | Human |
| Immunogen | Recombinant Human Sulfatase 2. |
| Conjugation | Un-conjugated |
| Alternate Names | HSULF-2; hSulf-2; Extracellular sulfatase Sulf-2; EC 3.1.6.- |
Application Instructions
| Application Suggestion |
|
||||||||
|---|---|---|---|---|---|---|---|---|---|
| Application Note | IHC-P: Antigen Retrieval: Boil tissue section in Sodium citrate buffer (pH 6.0). WB: This product detects a major band of ~ 50 kDa in Sulf-2 transfected HEK293 cell lysates. A band at 135 kDa (unprocessed protein), and a fragment at 37 kDa, may also be present. * The dilutions indicate recommended starting dilutions and the optimal dilutions or concentrations should be determined by the scientist. |
Properties
| Form | Liquid |
|---|---|
| Purification | Purification with Protein G. |
| Buffer | PBS and 0.09% Sodium azide. |
| Preservative | 0.09% Sodium azide |
| Concentration | 1 mg/ml |
| Storage Instruction | For continuous use, store undiluted antibody at 2-8°C for up to a week. For long-term storage, aliquot and store at -20°C or below. Storage in frost free freezers is not recommended. Avoid repeated freeze/thaw cycles. Suggest spin the vial prior to opening. The antibody solution should be gently mixed before use. |
| Note | For laboratory research only, not for drug, diagnostic or other use. |
Bioinformation
| Database Links | |
|---|---|
| Gene Symbol | SULF2 |
| Gene Full Name | sulfatase 2 |
| Background | Heparan sulfate proteoglycans (HSPGs) act as coreceptors for numerous heparin-binding growth factors and cytokines and are involved in cell signaling. Heparan sulfate 6-O-endosulfatases, such as SULF2, selectively remove 6-O-sulfate groups from heparan sulfate. This activity modulates the effects of heparan sulfate by altering binding sites for signaling molecules (Dai et al., 2005 [PubMed 16192265]).[supplied by OMIM, Mar 2008] |
| Function | Exhibits arylsulfatase activity and highly specific endoglucosamine-6-sulfatase activity. It can remove sulfate from the C-6 position of glucosamine within specific subregions of intact heparin. [UniProt] |
| Calculated MW | 100 kDa |
| PTM | The conversion to 3-oxoalanine (also known as C-formylglycine, FGly), of a serine or cysteine residue in prokaryotes and of a cysteine residue in eukaryotes, is critical for catalytic activity. [UniProt] |
Images (1) Click the Picture to Zoom In
