ARG42955
anti-Surfactant protein D antibody
anti-Surfactant protein D antibody for ICC/IF,IHC-Frozen sections,IHC-Formalin-fixed paraffin-embedded sections and Human
Overview
| Product Description | Rabbit Polyclonal antibody recognizes Surfactant protein D |
|---|---|
| Tested Reactivity | Hu |
| Tested Application | ICC/IF, IHC-Fr, IHC-P |
| Host | Rabbit |
| Clonality | Polyclonal |
| Isotype | IgG |
| Target Name | Surfactant protein D |
| Antigen Species | Human |
| Immunogen | Synthetic peptide corresponding to aa. 292-321 of Human Surfactant protein D. (RSAAENAALQQLVVAKNEAAFLSMTD SKTE) |
| Conjugation | Un-conjugated |
| Alternate Names | SP-D; COLEC7; Lung surfactant protein D; SFTP4; Pulmonary surfactant-associated protein D; PSP-D; Collectin-7 |
Application Instructions
| Application Suggestion |
|
||||||||
|---|---|---|---|---|---|---|---|---|---|
| Application Note | * The dilutions indicate recommended starting dilutions and the optimal dilutions or concentrations should be determined by the scientist. |
Properties
| Form | Liquid |
|---|---|
| Purification | Affinity purification with immunogen. |
| Buffer | 0.2% Na2HPO4, 0.9% NaCl, 0.05% Sodium azide and 5% BSA. |
| Preservative | 0.05% Sodium azide |
| Stabilizer | 5% BSA |
| Concentration | 0.5 mg/ml |
| Storage Instruction | For continuous use, store undiluted antibody at 2-8°C for up to a week. For long-term storage, aliquot and store at -20°C or below. Storage in frost free freezers is not recommended. Avoid repeated freeze/thaw cycles. Suggest spin the vial prior to opening. The antibody solution should be gently mixed before use. |
| Note | For laboratory research only, not for drug, diagnostic or other use. |
Bioinformation
| Database Links |
Swiss-port # P35247 Human Pulmonary surfactant-associated protein D |
|---|---|
| Gene Symbol | SFTPD |
| Gene Full Name | surfactant protein D |
| Background | The protein encoded by this gene is part of the innate immune response, protecting the lungs against inhaled microorganisms and chemicals. The encoded protein may also be involved in surfactant metabolism. [provided by RefSeq, Jul 2015] |
| Function | Contributes to the lung's defense against inhaled microorganisms, organic antigens and toxins. Interacts with compounds such as bacterial lipopolysaccharides, oligosaccharides and fatty acids and modulates leukocyte action in immune response. May participate in the extracellular reorganization or turnover of pulmonary surfactant. Binds strongly maltose residues and to a lesser extent other alpha-glucosyl moieties. [UniProt] |
| Cellular Localization | Secreted, extracellular space, extracellular matrix. Secreted, extracellular space, surface film. [UniProt] |
| Calculated MW | 38 kDa |
| PTM | The N-terminus is blocked. Hydroxylation on proline residues within the sequence motif, GXPG, is most likely to be 4-hydroxy as this fits the requirement for 4-hydroxylation in vertebrates. S-nitrosylation at Cys-35 and Cys-40 alters the quaternary structure which results in a pro-inflammatory chemoattractive signaling activity with macrophages. [UniProt] |
Images (4) Click the Picture to Zoom In
-
ARG42955 anti-Surfactant protein D antibody ICC image
Immunocytochemistry: HeLa cells were blocked with 10% goat serum and then stained with ARG42955 anti-Surfactant protein D antibody at 1 µg/ml dilution, overnight at 4°C.
-
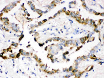
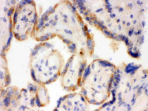
ARG42955 anti-Surfactant protein D antibody IHC-P image
Immunohistochemistry: Paraffin-embedded Human lung cancer tissue stained with ARG42955 anti-Surfactant protein D antibody.
-
ARG42955 anti-Surfactant protein D antibody ICC image
Immunocytochemistry: A549 cells were blocked with 10% goat serum and then stained with ARG42955 anti-Surfactant protein D antibody at 1 µg/ml dilution, overnight at 4°C.
-
ARG42955 anti-Surfactant protein D antibody IHC-Fr image
Immunohistochemistry: Frozen section of Human placenta tissue. The tissue section was blocked with 10% goat serum. The tissue section was then stained with ARG42955 anti-Surfactant protein D antibody at 1 µg/ml dilution, overnight at 4°C.
