ARG46542
anti-Synaptogyrin 4 antibody
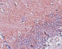
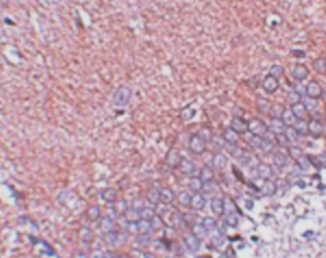
anti-Synaptogyrin 4 antibody for IHC-Formalin-fixed paraffin-embedded sections,Western blot and Human,Mouse,Rat
Overview
| Product Description | Rabbit Polyclonal antibody recognizes Synaptogyrin 4 |
|---|---|
| Tested Reactivity | Hu, Ms, Rat |
| Tested Application | IHC-P, WB |
| Host | Rabbit |
| Clonality | Polyclonal |
| Isotype | IgG |
| Target Name | Synaptogyrin 4 |
| Antigen Species | Human |
| Immunogen | A 14 amino acid synthetic peptide within the last 50 amino acids of human Synaptogyrin 4. |
| Conjugation | Un-conjugated |
| Alternate Names | SYNGR4; Synaptogyrin-4 |
Application Instructions
| Application Suggestion |
|
||||||
|---|---|---|---|---|---|---|---|
| Application Note | * The dilutions indicate recommended starting dilutions and the optimal dilutions or concentrations should be determined by the scientist. | ||||||
| Observed Size | 26 kDa |
Properties
| Purification | Affinity chromatography purified |
|---|---|
| Buffer | PBS and 0.02% Sodium azide. |
| Preservative | 0.02% Sodium azide |
| Concentration | 1 mg/ml |
| Storage Instruction | For continuous use, store undiluted antibody at 2-8°C for up to a week. For long-term storage, aliquot and store at -20°C. Storage in frost free freezers is not recommended. Avoid repeated freeze/thaw cycles. Suggest spin the vial prior to opening. The antibody solution should be gently mixed before use. |
| Note | For laboratory research only, not for drug, diagnostic or other use. |
Bioinformation
| Database Links | |
|---|---|
| Gene Symbol | SYNGR4 |
| Gene Full Name | synaptogyrin 4 |
| Background | This gene encodes an integral membrane protein. The gene belongs to the synaptogyrin gene family. Like other members of the family the protein contains four transmembrane regions. The exact function of this protein is unclear. [provided by RefSeq, Jul 2008] |
| Calculated MW | 26 kDa |
Images (2) Click the Picture to Zoom In
