ARG41980
anti-TACC3 antibody
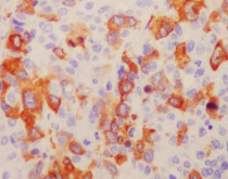
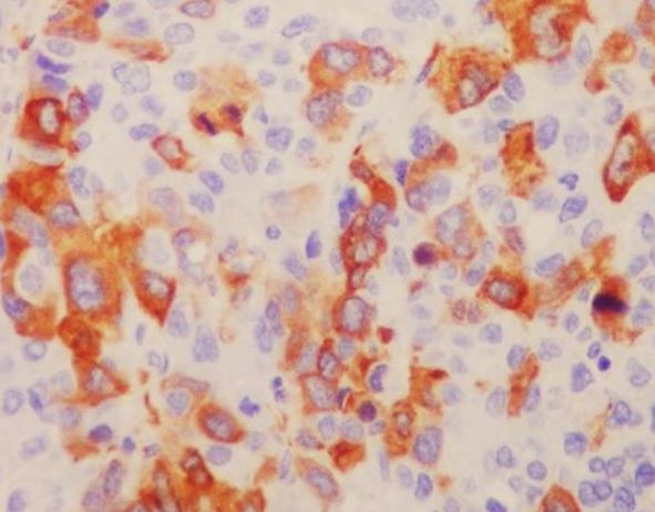
anti-TACC3 antibody for ICC/IF,IHC-Formalin-fixed paraffin-embedded sections,Western blot and Human,Mouse,Rat
Overview
| Product Description | Rabbit Polyclonal antibody recognizes TACC3 |
|---|---|
| Tested Reactivity | Hu, Ms, Rat |
| Tested Application | ICC/IF, IHC-P, WB |
| Host | Rabbit |
| Clonality | Polyclonal |
| Isotype | IgG |
| Target Name | TACC3 |
| Antigen Species | Human |
| Immunogen | Synthetic peptide of Human TACC3. |
| Conjugation | Un-conjugated |
| Alternate Names | Transforming acidic coiled-coil-containing protein 3; ERIC-1; ERIC1 |
Application Instructions
| Application Suggestion |
|
||||||||
|---|---|---|---|---|---|---|---|---|---|
| Application Note | * The dilutions indicate recommended starting dilutions and the optimal dilutions or concentrations should be determined by the scientist. | ||||||||
| Positive Control | C6 | ||||||||
| Observed Size | ~ 140 kDa |
Properties
| Form | Liquid |
|---|---|
| Purification | Affinity purified. |
| Buffer | PBS (pH 7.4), 150 mM NaCl, 0.02% Sodium azide and 50% Glycerol. |
| Preservative | 0.02% Sodium azide |
| Stabilizer | 50% Glycerol |
| Storage Instruction | For continuous use, store undiluted antibody at 2-8°C for up to a week. For long-term storage, aliquot and store at -20°C. Storage in frost free freezers is not recommended. Avoid repeated freeze/thaw cycles. Suggest spin the vial prior to opening. The antibody solution should be gently mixed before use. |
| Note | For laboratory research only, not for drug, diagnostic or other use. |
Bioinformation
| Database Links |
Swiss-port # Q9Y6A5 Human Transforming acidic coiled-coil-containing protein 3 |
|---|---|
| Gene Symbol | TACC3 |
| Gene Full Name | transforming, acidic coiled-coil containing protein 3 |
| Background | This gene encodes a member of the transforming acidic colied-coil protein family. The encoded protein is a motor spindle protein that may play a role in stabilization of the mitotic spindle. This protein may also play a role in growth a differentiation of certain cancer cells. [provided by RefSeq, Nov 2011] |
| Function | Plays a role in the microtubule-dependent coupling of the nucleus and the centrosome. Involved in the processes that regulate centrosome-mediated interkinetic nuclear migration (INM) of neural progenitors (By similarity). May be involved in the control of cell growth and differentiation. May contribute to cancer. [UniProt] |
| Cellular Localization | Cytoplasm. Cytoplasm, cytoskeleton, microtubule organizing center, centrosome. Cytoplasm, cytoskeleton, spindle. Cytoplasm, cytoskeleton, spindle pole. Note=In complex with CKAP5 localized to microtubule plus-ends in mitosis and interphase. In complex with CKAP5 and clathrin localized to inter-microtubule bridges in mitotic spindles. [UniProt] |
| Calculated MW | 90 kDa |
Images (2) Click the Picture to Zoom In
