ARG24108
anti-TACR3 / NK3R antibody
anti-TACR3 / NK3R antibody for IHC-Formalin-fixed paraffin-embedded sections,Western blot and Human,Mouse
Overview
| Product Description | Rabbit Polyclonal antibody recognizes TACR3 / NK3R |
|---|---|
| Tested Reactivity | Hu, Ms |
| Tested Application | IHC-P, WB |
| Host | Rabbit |
| Clonality | Polyclonal |
| Isotype | IgG |
| Target Name | TACR3 / NK3R |
| Antigen Species | Human |
| Immunogen | Peptide from Human TACR3. |
| Conjugation | Un-conjugated |
| Alternate Names | Neurokinin B receptor; NK-3 receptor; NK3R; Tachykinin receptor 3; NKR; HH11; TAC3RL; NK-3R; Neuromedin-K receptor |
Application Instructions
| Application Suggestion |
|
||||||
|---|---|---|---|---|---|---|---|
| Application Note | * The dilutions indicate recommended starting dilutions and the optimal dilutions or concentrations should be determined by the scientist. | ||||||
| Observed Size | 52 kDa |
Properties
| Form | Liquid |
|---|---|
| Purification | Affinity purified. |
| Buffer | PBS with 0.02% Sodium azide. |
| Preservative | 0.02% Sodium azide |
| Storage Instruction | For continuous use, store undiluted antibody at 2-8°C for up to a week. For long-term storage, aliquot and store at -20°C. Storage in frost free freezers is not recommended. Avoid repeated freeze/thaw cycles. Suggest spin the vial prior to opening. The antibody solution should be gently mixed before use. |
| Note | For laboratory research only, not for drug, diagnostic or other use. |
Bioinformation
| Database Links | |
|---|---|
| Gene Symbol | TACR3 |
| Gene Full Name | tachykinin receptor 3 |
| Background | This gene belongs to a family of genes that function as receptors for tachykinins. Receptor affinities are specified by variations in the 5'-end of the sequence. The receptors belonging to this family are characterized by interactions with G proteins and 7 hydrophobic transmembrane regions. This gene encodes the receptor for the tachykinin neurokinin 3, also referred to as neurokinin B. [provided by RefSeq, Jul 2008] |
| Function | This is a receptor for the tachykinin neuropeptide neuromedin-K (neurokinin B). It is associated with G proteins that activate a phosphatidylinositol-calcium second messenger system. The rank order of affinity of this receptor to tachykinins is: neuromedin-K > substance K > substance P. [UniProt] |
| Cellular Localization | Cell membrane; Multi-pass membrane protein. [UniProt] |
| Calculated MW | 52 kDa |
| PTM | The anchoring of this receptor to the plasma membrane is probably mediated by the palmitoylation of a cysteine residue. [UniProt] |
Images (3) Click the Picture to Zoom In
-
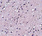
ARG24108 anti-TACR3 / NK3R antibody IHC-P
Immunohistochemistry: Human brain tissue stained with ARG24108 anti-TACR3 / NK3R antibody at 1:100 dilution.image
-
ARG24108 anti-TACR3 / NK3R antibody WB image
Western blot: RAW264.7 cell stained with ARG24108 anti-TACR3 / NK3R antibody at 1:1000 dilution.
-
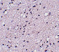
ARG24108 anti-TACR3 / NK3R antibody IHC image
Immunofluorescence: Human Brain tissue stained with ARG24108 anti-TACR3 / NK3R antibody at 1:25 dilution.
