ARG42105
anti-TBK1 / NAK antibody
anti-TBK1 / NAK antibody for IHC-Formalin-fixed paraffin-embedded sections,Western blot and Human,Mouse,Sheep
Overview
| Product Description | Rabbit Polyclonal antibody recognizes TBK1 / NAK |
|---|---|
| Tested Reactivity | Hu, Ms, Sheep |
| Tested Application | IHC-P, WB |
| Host | Rabbit |
| Clonality | Polyclonal |
| Isotype | IgG |
| Target Name | TBK1 / NAK |
| Antigen Species | Human |
| Immunogen | KLH-conjugated synthetic peptide between aa. 150-181 of Human TBK1 / NAK. |
| Conjugation | Un-conjugated |
| Alternate Names | T2K; NAK; TANK-binding kinase 1; EC 2.7.11.1; NF-kappa-B-activating kinase; Serine/threonine-protein kinase TBK1 |
Application Instructions
| Application Suggestion |
|
||||||
|---|---|---|---|---|---|---|---|
| Application Note | * The dilutions indicate recommended starting dilutions and the optimal dilutions or concentrations should be determined by the scientist. | ||||||
| Positive Control | K562 | ||||||
| Observed Size | ~ 84 kDa |
Properties
| Form | Liquid |
|---|---|
| Purification | Purification with Protein A and immunogen peptide. |
| Buffer | PBS and 0.09% (W/V) Sodium azide. |
| Preservative | 0.09% (W/V) Sodium azide |
| Storage Instruction | For continuous use, store undiluted antibody at 2-8°C for up to a week. For long-term storage, aliquot and store at -20°C or below. Storage in frost free freezers is not recommended. Avoid repeated freeze/thaw cycles. Suggest spin the vial prior to opening. The antibody solution should be gently mixed before use. |
| Note | For laboratory research only, not for drug, diagnostic or other use. |
Bioinformation
| Database Links |
Swiss-port # Q9UHD2 Human Serine/threonine-protein kinase TBK1 Swiss-port # Q9WUN2 Mouse Serine/threonine-protein kinase TBK1 |
|---|---|
| Gene Symbol | TBK1 |
| Gene Full Name | TANK-binding kinase 1 |
| Background | The NF-kappa-B (NFKB) complex of proteins is inhibited by I-kappa-B (IKB) proteins, which inactivate NFKB by trapping it in the cytoplasm. Phosphorylation of serine residues on the IKB proteins by IKB kinases marks them for destruction via the ubiquitination pathway, thereby allowing activation and nuclear translocation of the NFKB complex. The protein encoded by this gene is similar to IKB kinases and can mediate NFKB activation in response to certain growth factors. [provided by RefSeq, Oct 2010] |
| Function | Serine/threonine kinase that plays an essential role in regulating inflammatory responses to foreign agents (PubMed:12692549, PubMed:14703513, PubMed:18583960, PubMed:12702806, PubMed:15367631, PubMed:10581243, PubMed:11839743, PubMed:15485837, PubMed:21138416, PubMed:25636800, PubMed:23453971, PubMed:23453972, PubMed:23746807, PubMed:26611359). Following activation of toll-like receptors by viral or bacterial components, associates with TRAF3 and TANK and phosphorylates interferon regulatory factors (IRFs) IRF3 and IRF7 as well as DDX3X (PubMed:12692549, PubMed:14703513, PubMed:18583960, PubMed:12702806, PubMed:15367631, PubMed:25636800). This activity allows subsequent homodimerization and nuclear translocation of the IRFs leading to transcriptional activation of pro-inflammatory and antiviral genes including IFNA and IFNB (PubMed:12702806, PubMed:15367631, PubMed:25636800). In order to establish such an antiviral state, TBK1 form several different complexes whose composition depends on the type of cell and cellular stimuli (PubMed:23453971, PubMed:23453972, PubMed:23746807). Plays a key role in IRF3 activation: acts by first phosphorylating innate adapter proteins MAVS, TMEM173/STING and TICAM1 on their pLxIS motif, leading to recruitment of IRF3, thereby licensing IRF3 for phosphorylation by TBK1 (PubMed:25636800, PubMed:30842653). Phosphorylated IRF3 dissociates from the adapter proteins, dimerizes, and then enters the nucleus to induce expression of interferons (PubMed:25636800). Thus, several scaffolding molecules including FADD, TRADD, MAVS, AZI2, TANK or TBKBP1/SINTBAD can be recruited to the TBK1-containing-complexes (PubMed:21931631). Under particular conditions, functions as a NF-kappa-B effector by phosphorylating NF-kappa-B inhibitor alpha/NFKBIA, IKBKB or RELA to translocate NF-Kappa-B to the nucleus (PubMed:10783893, PubMed:15489227). Restricts bacterial proliferation by phosphorylating the autophagy receptor OPTN/Optineurin on 'Ser-177', thus enhancing LC3 binding affinity and antibacterial autophagy (PubMed:21617041). Phosphorylates SMCR8 component of the C9orf72-SMCR8 complex, promoting autophagosome maturation (PubMed:27103069). Phosphorylates and activates AKT1 (PubMed:21464307). Seems to play a role in energy balance regulation by sustaining a state of chronic, low-grade inflammation in obesity, wich leads to a negative impact on insulin sensitivity (By similarity). Attenuates retroviral budding by phosphorylating the endosomal sorting complex required for transport-I (ESCRT-I) subunit VPS37C (PubMed:21270402). Phosphorylates Borna disease virus (BDV) P protein (PubMed:16155125). Plays an essential role in the TLR3- and IFN-dependent control of herpes virus HSV-1 and HSV-2 infections in the central nervous system (PubMed:22851595). [UniProt] |
| Cellular Localization | Cytoplasm. Note=Upon mitogen stimulation or triggering of the immune system, TBK1 is recruited to the exocyst by EXOC2. [UniProt] |
| Calculated MW | 84 kDa |
| PTM | Autophosphorylation at Ser-172 activates the kinase, and is an essential step for virus-triggered signaling. Phosphorylated by IKBKB/IKKB at Ser-172. Phosphorylation requires homodimerization and ubiquitination at Lys-30 and Lys-401. Dephosphorylated at Ser-172 by PPM1B and this negatively regulates its role in mediating antiviral response. 'Lys-63'-linked polyubiquitination by MIB1 after RNA virus infection, or by NRDP1 after LPS stimulation at Lys-30 and Lys-401, participates in kinase activation. 'Lys-48'-linked polyubiquitination at Lys-670 by DTX4 leads to proteasomal degradation. 'Lys-48'-linked polyubiquitination by TRAIP also leads to proteasomal degradation. [UniProt] |
Images (3) Click the Picture to Zoom In
-
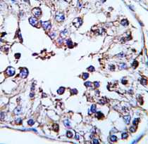
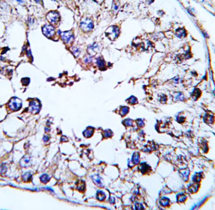
ARG42105 anti-TBK1 / NAK antibody IHC-P image
Immunohistochemistry: Formalin-fixed and paraffin-embedded Human testis tissue stained with ARG42105 anti-TBK1 / NAK antibody.
-
ARG42105 anti-TBK1 / NAK antibody WB image
Western blot: 20 µg of K562 whole cell lysate stained with ARG42105 anti-TBK1 / NAK antibody at 1:2000 dilution.
-
ARG42105 anti-TBK1 / NAK antibody IHC-P image
Immunohistochemistry: Paraformaldehyde-fixed and paraffin-embedded Human brain tissue. Tissue was blocked with 3% BSA for 0.5 hour at room temperature. Antigen Retrieval: Heat mediation was performed in Citrate buffer (pH 6.0). Tissue section was stained with ARG42105 anti-TBK1 / NAK antibody at 1:25 dilution for 1 hours at 37°C.
