ARG59495
anti-TBX1 antibody
anti-TBX1 antibody for ICC/IF,IHC-Formalin-fixed paraffin-embedded sections and Human
Overview
| Product Description | Rabbit Polyclonal antibody recognizes TBX1 |
|---|---|
| Tested Reactivity | Hu |
| Tested Application | ICC/IF, IHC-P |
| Host | Rabbit |
| Clonality | Polyclonal |
| Isotype | IgG |
| Target Name | TBX1 |
| Antigen Species | Human |
| Immunogen | KLH-conjugated synthetic peptide corresponding to aa. 327-356 of Human TBX1. |
| Conjugation | Un-conjugated |
| Alternate Names | Testis-specific T-box protein; DORV; VCF; T-box transcription factor TBX1; CAFS; T-box protein 1; DGCR; DGS; TGA; CTHM; VCFS; TBX1C; CATCH22 |
Application Instructions
| Application Suggestion |
|
||||||
|---|---|---|---|---|---|---|---|
| Application Note | * The dilutions indicate recommended starting dilutions and the optimal dilutions or concentrations should be determined by the scientist. |
Properties
| Form | Liquid |
|---|---|
| Purification | Purification with Protein A and immunogen peptide. |
| Buffer | PBS and 0.09% (W/V) Sodium azide. |
| Preservative | 0.09% (W/V) Sodium azide. |
| Storage Instruction | For continuous use, store undiluted antibody at 2-8°C for up to a week. For long-term storage, aliquot and store at -20°C or below. Storage in frost free freezers is not recommended. Avoid repeated freeze/thaw cycles. Suggest spin the vial prior to opening. The antibody solution should be gently mixed before use. |
| Note | For laboratory research only, not for drug, diagnostic or other use. |
Bioinformation
| Database Links | |
|---|---|
| Gene Symbol | TBX1 |
| Gene Full Name | T-box 1 |
| Background | This gene is a member of a phylogenetically conserved family of genes that share a common DNA-binding domain, the T-box. T-box genes encode transcription factors involved in the regulation of developmental processes. This gene product shares 98% amino acid sequence identity with the mouse ortholog. DiGeorge syndrome (DGS)/velocardiofacial syndrome (VCFS), a common congenital disorder characterized by neural-crest-related developmental defects, has been associated with deletions of chromosome 22q11.2, where this gene has been mapped. Studies using mouse models of DiGeorge syndrome suggest a major role for this gene in the molecular etiology of DGS/VCFS. Several alternatively spliced transcript variants encoding different isoforms have been described for this gene. [provided by RefSeq, Jul 2008] |
| Function | Probable transcriptional regulator involved in developmental processes. Is required for normal development of the pharyngeal arch arteries (By similarity). [UniProt] |
| Cellular Localization | Nucleus. [UniProt] |
| Calculated MW | 43 kDa |
Images (2) Click the Picture to Zoom In
-
ARG59495 anti-TBX1 antibody ICC/IF image
Immunofluorescence: A2058 cells were fixed with 4% PFA (20 min), permeabilized with Triton X-100 (0.1%, 10 min), then stained with ARG59495 anti-TBX1 antibody (green) at 1:25 dilution, 1 hour at 37°C. Cytoplasmic actin was counterstained with Alexa Fluor® 555 (red) conjugated Phalloidin (7 units/ml, 1 hour at 37°C). Nuclei were counterstained with DAPI (blue).
-
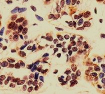
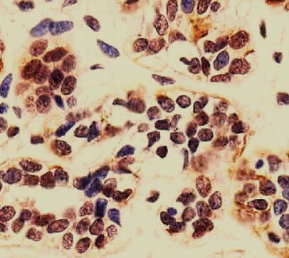
ARG59495 anti-TBX1 antibody IHC-P image
Immunohistochemistry: Paraffin-embedded Human breast tissue stained with ARG59495 anti-TBX1 antibody at 1:25 dilution.
