ARG43541
anti-TBX21 / T-bet antibody
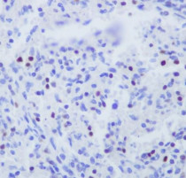
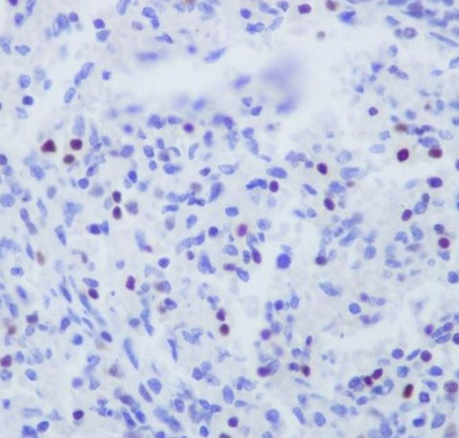
anti-TBX21 / T-bet antibody for IHC-Formalin-fixed paraffin-embedded sections and Human
Overview
| Product Description | Rabbit Polyclonal antibody recognizes TBX21 / T-bet. |
|---|---|
| Tested Reactivity | Hu |
| Tested Application | IHC-P |
| Host | Rabbit |
| Clonality | Polyclonal |
| Isotype | IgG |
| Target Name | TBX21 / T-bet |
| Antigen Species | Human |
| Immunogen | Synthetic peptide derived from human TBX21 / T-bet |
| Conjugation | Un-conjugated |
| Protein Full Name | T-box transcription factor TBX21 |
| Alternate Names | TBET; T-PET; T-bet; TBLYM |
Application Instructions
| Application Suggestion |
|
||||
|---|---|---|---|---|---|
| Application Note | * The dilutions indicate recommended starting dilutions and the optimal dilutions or concentrations should be determined by the scientist. |
Properties
| Form | Liquid |
|---|---|
| Purification | Affinity purified. |
| Buffer | PBS (pH 7.4), 0.02% Sodium azide and 50% Glycerol. |
| Preservative | 0.02% Sodium azide |
| Stabilizer | 50% Glycerol |
| Storage Instruction | For continuous use, store undiluted antibody at 2-8°C for up to a week. For long-term storage, aliquot and store at -20°C or below. Storage in frost free freezers is not recommended. Avoid repeated freeze/thaw cycles. Suggest spin the vial prior to opening. The antibody solution should be gently mixed before use. |
| Note | For laboratory research only, not for drug, diagnostic or other use. |
Bioinformation
| Database Links | |
|---|---|
| Gene Symbol | TBX21 |
| Gene Full Name | T-box 21 |
| Background | This gene is a member of a phylogenetically conserved family of genes that share a common DNA-binding domain, the T-box. T-box genes encode transcription factors involved in the regulation of developmental processes. This gene is the human ortholog of mouse Tbx21/Tbet gene. Studies in mouse show that Tbx21 protein is a Th1 cell-specific transcription factor that controls the expression of the hallmark Th1 cytokine, interferon-gamma (IFNG). Expression of the human ortholog also correlates with IFNG expression in Th1 and natural killer cells, suggesting a role for this gene in initiating Th1 lineage development from naive Th precursor cells. [provided by RefSeq, Jul 2008] |
| Function | Transcription factor that controls the expression of the TH1 cytokine, interferon-gamma. Initiates TH1 lineage development from naive TH precursor cells both by activating TH1 genetic programs and by repressing the opposing TH2 programs. [UniProt] |
Images (1) Click the Picture to Zoom In
