ARG59466
anti-TCF7L1 / TCF3 antibody
anti-TCF7L1 / TCF3 antibody for IHC-Formalin-fixed paraffin-embedded sections,Western blot and Human
Overview
| Product Description | Rabbit Polyclonal antibody recognizes TCF7L1 / TCF3 |
|---|---|
| Tested Reactivity | Hu |
| Predict Reactivity | Hm |
| Tested Application | IHC-P, WB |
| Host | Rabbit |
| Clonality | Polyclonal |
| Isotype | IgG |
| Target Name | TCF7L1 / TCF3 |
| Antigen Species | Human |
| Immunogen | Synthetic peptide corresponding to aa. 561-588 of Human TCF7L1 / TCF3. (SFPATLHAHQALPVLQAQPLSLVTKSAH) |
| Conjugation | Un-conjugated |
| Alternate Names | TCF-3; Transcription factor 7-like 1; TCF3; HMG box transcription factor 3 |
Application Instructions
| Application Suggestion |
|
||||||
|---|---|---|---|---|---|---|---|
| Application Note | IHC-P: Antigen Retrieval: By heat mediation. * The dilutions indicate recommended starting dilutions and the optimal dilutions or concentrations should be determined by the scientist. |
Properties
| Form | Liquid |
|---|---|
| Purification | Affinity purification with immunogen. |
| Buffer | 0.9% NaCl, 0.2% Na2HPO4, 0.05% Sodium azide and 5% BSA. |
| Preservative | 0.05% Sodium azide |
| Stabilizer | 5% BSA |
| Concentration | 0.5 mg/ml |
| Storage Instruction | For continuous use, store undiluted antibody at 2-8°C for up to a week. For long-term storage, aliquot and store at -20°C or below. Storage in frost free freezers is not recommended. Avoid repeated freeze/thaw cycles. Suggest spin the vial prior to opening. The antibody solution should be gently mixed before use. |
| Note | For laboratory research only, not for drug, diagnostic or other use. |
Bioinformation
| Database Links | |
|---|---|
| Gene Symbol | TCF7L1 |
| Gene Full Name | transcription factor 7-like 1 (T-cell specific, HMG-box) |
| Background | This gene encodes a member of the T cell factor/lymphoid enhancer factor family of transcription factors. These transcription factors are activated by beta catenin, mediate the Wnt signaling pathway and are antagonized by the transforming growth factor beta signaling pathway. The encoded protein contains a high mobility group-box DNA binding domain and participates in the regulation of cell cycle genes and cellular senescence. [provided by RefSeq, Nov 2010] |
| Function | Participates in the Wnt signaling pathway. Binds to DNA and acts as a repressor in the absence of CTNNB1, and as an activator in its presence. Necessary for the terminal differentiation of epidermal cells, the formation of keratohyalin granules and the development of the barrier function of the epidermis (By similarity). Down-regulates NQO1, leading to increased mitomycin c resistance. [UniProt] |
| Cellular Localization | Nucleus. [UniProt] |
| Calculated MW | 63 kDa |
Images (2) Click the Picture to Zoom In
-
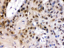
ARG59466 anti-TCF7L1 / TCF3 antibody IHC-P image
Immunohistochemistry: Paraffin-embedded Human oesophagus squama cancer stained with ARG59466 anti-TCF7L1 / TCF3 antibody at 1 µg/ml dilution.
-
ARG59466 anti-TCF7L1 / TCF3 antibody WB image
Western blot: COLO320 whole cell lysate stained with ARG59466 anti-TCF7L1 / TCF3 antibody at 0.5 µg/ml dilution.
